Rabbit anti-Human LAMTOR5 Polyclonal Antibody | anti-LAMTOR5 antibody
LAMTOR5 Antibody
Gene Names
LAMTOR5; XIP; HBXIP
Reactivity
Human
Applications
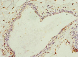
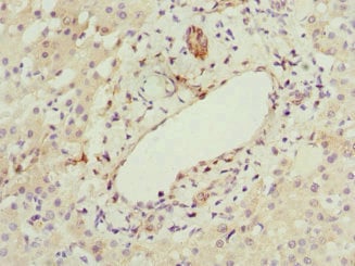
Immunohistochemistry, ELISA
Purity
Antigen Affinity Purified
Synonyms
LAMTOR5, Antibody; LAMTOR5 Antibody; Ragulator complex protein LAMTOR5; Hepatitis B virus X-interacting protein; HBV X-interacting protein; HBX-interacting protein; Late endosomal/lysosomal adaptor and MAPK and MTOR activator 5; LAMTOR5; HBXIP; XIP; anti-LAMTOR5 antibody
Host
Rabbit
Reactivity
Human
Clonality
Polyclonal
Isotype
IgG
Purity/Purification
Antigen Affinity Purified
Form/Format
Liquid
Sequence Length
173
Applicable Applications for anti-LAMTOR5 antibody
IHC (Immunohistochemistry), ELISA
Species
Human
Immunogen
Recombinant human Ragulator complex protein LAMTOR5 protein (1-173AA)
Conjugate
Non-conjugated
Buffer
PBS with 0.02% sodium azide, 50% glycerol, pH7.3.
Santa Cruz Alternative
Potential replacement for Santa Cruz Biotechnology antibody catalog# sc-54080 / sc-54083
Preparation and Storage
Shipped at 4 degree C. Upon delivery aliquot and store at -20 degree C or -80 degree C. Avoid repeated freeze.
Related Product Information for anti-LAMTOR5 antibody
As part of the Ragulator complex it is involved in amino acid sensing and activation of mTORC1, a signaling complex promoting cell growth in response to growth factors, energy levels, and amino acids. Activated by amino acids through a mechanism involving the lysosomal V-ATPase, the Ragulator functions as a guanine nucleotide exchange factor activating the small GTPases Rag. Activated Ragulator and Rag GTPases function as a scaffold recruiting mTORC1 to lysosomes where it is in turn activated. When complexed to BIRC5, interferes with apoptosome assembly, preventing recruitment of pro-caspase-9 to oligomerized APAF1, thereby selectively suppressing apoptosis initiated via the mitochondrial/cytochrome c pathway. Down-regulates hepatitis B virus (HBV) replication.
NCBI and Uniprot Product Information
NCBI GI #
NCBI GeneID
NCBI Accession #
NCBI GenBank Nucleotide #
Molecular Weight
9,614 Da
NCBI Official Full Name
ragulator complex protein LAMTOR5
NCBI Official Synonym Full Names
late endosomal/lysosomal adaptor, MAPK and MTOR activator 5
NCBI Official Symbol
LAMTOR5
NCBI Official Synonym Symbols
XIP; HBXIP
NCBI Protein Information
ragulator complex protein LAMTOR5
UniProt Protein Name
Ragulator complex protein LAMTOR5
UniProt Gene Name
LAMTOR5
UniProt Synonym Gene Names
HBXIP; XIP; HBV X-interacting protein; HBX-interacting protein
UniProt Entry Name
LTOR5_HUMAN
Customer Reviews
Loading reviews...
Share Your Experience
Similar Products
Product Notes
The LAMTOR5 lamtor5 (Catalog #AAA231672) is an Antibody produced from Rabbit and is intended for research purposes only. The product is available for immediate purchase. The LAMTOR5 Antibody reacts with Human and may cross-react with other species as described in the data sheet. AAA Biotech's LAMTOR5 can be used in a range of immunoassay formats including, but not limited to, IHC (Immunohistochemistry), ELISA. Researchers should empirically determine the suitability of the LAMTOR5 lamtor5 for an application not listed in the data sheet. Researchers commonly develop new applications and it is an integral, important part of the investigative research process. It is sometimes possible for the material contained within the vial of "LAMTOR5, Polyclonal Antibody" to become dispersed throughout the inside of the vial, particularly around the seal of said vial, during shipment and storage. We always suggest centrifuging these vials to consolidate all of the liquid away from the lid and to the bottom of the vial prior to opening. Please be advised that certain products may require dry ice for shipping and that, if this is the case, an additional dry ice fee may also be required.Precautions
All products in the AAA Biotech catalog are strictly for research-use only, and are absolutely not suitable for use in any sort of medical, therapeutic, prophylactic, in-vivo, or diagnostic capacity. By purchasing a product from AAA Biotech, you are explicitly certifying that said products will be properly tested and used in line with industry standard. AAA Biotech and its authorized distribution partners reserve the right to refuse to fulfill any order if we have any indication that a purchaser may be intending to use a product outside of our accepted criteria.Disclaimer
Though we do strive to guarantee the information represented in this datasheet, AAA Biotech cannot be held responsible for any oversights or imprecisions. AAA Biotech reserves the right to adjust any aspect of this datasheet at any time and without notice. It is the responsibility of the customer to inform AAA Biotech of any product performance issues observed or experienced within 30 days of receipt of said product. To see additional details on this or any of our other policies, please see our Terms & Conditions page.Item has been added to Shopping Cart
If you are ready to order, navigate to Shopping Cart and get ready to checkout.
