Rabbit LATS1 Polyclonal Antibody | anti-LATS1 antibody
Phospho-LATS1 (Thr1079) Antibody
Predicted: Pig, Zebrafish, Bovine, Horse, Sheep, Rabbit, Chicken, Xenopus
Predicted: Pig, Zebrafish, Bovine, Horse, Sheep, Rabbit, Chicken, Xenopus
WB (Western Blot)
(Western blot analysis of Phospho-LATS1 (Thr1079) in lysates of A549 , using Phospho-LATS1 (Thr1079) Antibody.)
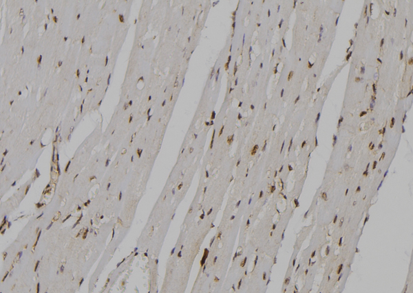
IHC (Immunohiostchemistry)
(At 1/100 staining mouse heart tissue sections by IHC-P. The tissue was formaldehyde fixed and a heat mediated antigen retrieval step in citrate buffer was performed. The tissue was then blocked and incubated with the antibody for 1.5 hours at 22 degree C. An HRP conjugated goat anti-rabbit antibody was used as the secondary)
IHC (Immunohistochemistry)
(At 1/100 staining rat lung tissue sections by IHC-P. The tissue was formaldehyde fixed and a heat mediated antigen retrieval step in citrate buffer was performed. The tissue was then blocked and incubated with the antibody for 1.5 hours at 22 degree C. An HRP conjugated goat anti-rabbit antibody was used as the secondary)
Post Translational Modifications: Autophosphorylated and phosphorylated during M-phase of the cell cycle. Phosphorylated by STK3/MST2 at Ser-909 and Thr-1079, which results in its activation. Phosphorylation at Ser-464 by NUAK1 and NUAK2 leads to decreased protein level and is required to regulate cellular senescence and cellular ploidy.
Subunit Structure: Complexes with CDK1 in early mitosis. LATS1-associated CDK1 has no mitotic cyclin partner and no apparent kinase activity. Binds phosphorylated ZYX, locating this protein to the mitotic spindle and suggesting a role for actin regulatory proteins during mitosis. Binds to and colocalizes with LIMK1 at the actomyosin contractile ring during cytokinesis. Interacts (via PPxY motif 2) with YAP1 (via WW domains). Interacts with MOB1A and MOB1B. Interacts with LIMD1, WTIP and AJUBA. Interacts with ESR1, DCAF1 and DCAF13; probably recruits DCAF1 and DCAF13 to ESR1 to promote ESR1 ubiquitination and ubiquitin-mediated proteasomal degradation (PubMed:28068668). Interacts with STK3/MST2; this interaction is inhibited in the presence of DLG5 (PubMed:28087714). Interacts with SCRIB in the presence of DLG5 (PubMed:28169360).
Similarity: Belongs to the protein kinase superfamily. AGC Ser/Thr protein kinase family.
NCBI and Uniprot Product Information
Predicted: 127 kDa
Customer Reviews
Loading reviews...
Share Your Experience
Similar Products
Product Notes
The LATS1 lats1 (Catalog #AAA328339) is an Antibody produced from Rabbit and is intended for research purposes only. The product is available for immediate purchase. The Phospho-LATS1 (Thr1079) Antibody reacts with Human, Mouse, Rat Predicted: Pig, Zebrafish, Bovine, Horse, Sheep, Rabbit, Chicken, Xenopus and may cross-react with other species as described in the data sheet. AAA Biotech's LATS1 can be used in a range of immunoassay formats including, but not limited to, ELISA (Peptide ELISA), IHC (Immunohistochemistry), WB (Western Blot). Researchers should empirically determine the suitability of the LATS1 lats1 for an application not listed in the data sheet. Researchers commonly develop new applications and it is an integral, important part of the investigative research process. It is sometimes possible for the material contained within the vial of "LATS1, Polyclonal Antibody" to become dispersed throughout the inside of the vial, particularly around the seal of said vial, during shipment and storage. We always suggest centrifuging these vials to consolidate all of the liquid away from the lid and to the bottom of the vial prior to opening. Please be advised that certain products may require dry ice for shipping and that, if this is the case, an additional dry ice fee may also be required.Precautions
All products in the AAA Biotech catalog are strictly for research-use only, and are absolutely not suitable for use in any sort of medical, therapeutic, prophylactic, in-vivo, or diagnostic capacity. By purchasing a product from AAA Biotech, you are explicitly certifying that said products will be properly tested and used in line with industry standard. AAA Biotech and its authorized distribution partners reserve the right to refuse to fulfill any order if we have any indication that a purchaser may be intending to use a product outside of our accepted criteria.Disclaimer
Though we do strive to guarantee the information represented in this datasheet, AAA Biotech cannot be held responsible for any oversights or imprecisions. AAA Biotech reserves the right to adjust any aspect of this datasheet at any time and without notice. It is the responsibility of the customer to inform AAA Biotech of any product performance issues observed or experienced within 30 days of receipt of said product. To see additional details on this or any of our other policies, please see our Terms & Conditions page.Item has been added to Shopping Cart
If you are ready to order, navigate to Shopping Cart and get ready to checkout.
