Rabbit LONP1 Polyclonal Antibody | anti-LONP1 antibody
LONP1 Antibody
Phosphate buffered saline, pH 7.4, 150mM NaCl, 0.02% sodium azide and 50% glycerol.
WB (Western Blot)
(Western blot analysis of extracts from various samples, using LONP1 antibody. Lane 1: Hela treated with blocking peptide. Lane 2: Hela; Lane 3: Mouse Myeloma cell;)
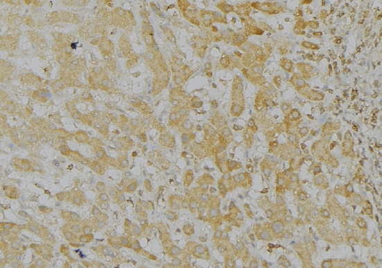
IHC (Immunohistochemistry)
(AAA322945 at 1/100 staining Mouse liver tissue by IHC-P. The sample was formaldehyde fixed and a heat mediated antigen retrieval step in citrate buffer was performed. The sample was then blocked and incubated with the antibody for 1.5 hours at 22 degree C. An HRP conjugated goat anti-rabbit antibody was used as the secondary.)
Subunit Structure: Homohexamer (PubMed:14739292, PubMed:25369343, PubMed:20222013). Organized in a ring with a central cavity (PubMed:25369343, PubMed:20222013). The ATP-binding and proteolytic domains (AP-domain) form a hexameric chamber, while the N-terminal domain is arranged as a trimer of dimers (PubMed:27632940). DNA and RNA binding is stimulated by substrate and inhibited by ATP binding. Interacts with TWNK and mitochondrial DNA polymerase subunit POLG (PubMed:14739292).
Similarity: The Lon N-terminal domains are crucial for the overall structure of the protein, maintaining it in a conformation allowing its proper functioning.The AP-domain (ATP-binding and proteolytic domains) has a closed-ring conformation in the presence of AMP-PNP and its N-terminal entry gate appears closed. Upon ADP binding, it switches to a lock-washer conformation and its N-terminal gate opens.The proteolytic site is connected to the ATP binding site through the GG loop (Gly-893 and Gly-894) and the loop containing Trp-770. Binding of a protein substrate such as beta-casein appears to trigger movement of both these loops as part of the conformational changes which lead to enhanced ATPase and peptidase activities. Belongs to the peptidase S16 family.
NCBI and Uniprot Product Information
Predicted: 107 kDa
Customer Reviews
Loading reviews...
Share Your Experience
Similar Products
Product Notes
The LONP1 lonp1 (Catalog #AAA322945) is an Antibody produced from Rabbit and is intended for research purposes only. The product is available for immediate purchase. The LONP1 Antibody reacts with Human, Mouse, Rat and may cross-react with other species as described in the data sheet. AAA Biotech's LONP1 can be used in a range of immunoassay formats including, but not limited to, IHC (Immunohistochemistry), WB (Western Blot). Researchers should empirically determine the suitability of the LONP1 lonp1 for an application not listed in the data sheet. Researchers commonly develop new applications and it is an integral, important part of the investigative research process. It is sometimes possible for the material contained within the vial of "LONP1, Polyclonal Antibody" to become dispersed throughout the inside of the vial, particularly around the seal of said vial, during shipment and storage. We always suggest centrifuging these vials to consolidate all of the liquid away from the lid and to the bottom of the vial prior to opening. Please be advised that certain products may require dry ice for shipping and that, if this is the case, an additional dry ice fee may also be required.Precautions
All products in the AAA Biotech catalog are strictly for research-use only, and are absolutely not suitable for use in any sort of medical, therapeutic, prophylactic, in-vivo, or diagnostic capacity. By purchasing a product from AAA Biotech, you are explicitly certifying that said products will be properly tested and used in line with industry standard. AAA Biotech and its authorized distribution partners reserve the right to refuse to fulfill any order if we have any indication that a purchaser may be intending to use a product outside of our accepted criteria.Disclaimer
Though we do strive to guarantee the information represented in this datasheet, AAA Biotech cannot be held responsible for any oversights or imprecisions. AAA Biotech reserves the right to adjust any aspect of this datasheet at any time and without notice. It is the responsibility of the customer to inform AAA Biotech of any product performance issues observed or experienced within 30 days of receipt of said product. To see additional details on this or any of our other policies, please see our Terms & Conditions page.Item has been added to Shopping Cart
If you are ready to order, navigate to Shopping Cart and get ready to checkout.
