Rabbit LPAR3 Polyclonal Antibody | anti-LPAR3 antibody
LPAR3 Polyclonal Antibody
Gene Names
LPAR3; EDG7; GPCR; LPA3; Edg-7; LP-A3; HOFNH30; RP4-678I3
Reactivity
Human, Mouse, Rat
Applications
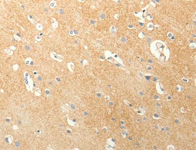
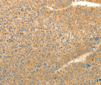
Immunohistochemistry, ELISA
Purity
Affinity purification
Synonyms
LPAR3, Antibody; LPAR3 Polyclonal Antibody; EDG7; GPCR; LPA3; Edg-7; LP-A3; HOFNH30; RP4-678I3; anti-LPAR3 antibody
Host
Rabbit
Reactivity
Human, Mouse, Rat
Clonality
Polyclonal
Isotype
IgG
Purity/Purification
Affinity purification
Concentration
0.1mg/mL (varies by lot)
Sequence Length
353
Applicable Applications for anti-LPAR3 antibody
IHC (Immunohistochemistry), ELISA
Preparation and Storage
Store at -20 degree C. Avoid freeze / thaw cycles.
Related Product Information for anti-LPAR3 antibody
Background: This gene encodes a member of the G protein-coupled receptor family, as well as the EDG family of proteins. This protein functions as a cellular receptor for lysophosphatidic acid and mediates lysophosphatidic acidevoked calcium mobilization. This receptor couples predominantly to G(q/11) alpha proteins.
NCBI and Uniprot Product Information
NCBI GI #
NCBI GeneID
NCBI Official Full Name
Lysophosphatidic acid receptor 3
NCBI Official Synonym Full Names
lysophosphatidic acid receptor 3
NCBI Official Symbol
LPAR3
NCBI Official Synonym Symbols
EDG7; GPCR; LPA3; Edg-7; LP-A3; HOFNH30; RP4-678I3
NCBI Protein Information
lysophosphatidic acid receptor 3; LPA receptor 3; LPA receptor EDG7; LPA-3; calcium-mobilizing lysophosphatidic acid receptor LP-A3; endothelial cell differentiation gene 7; endothelial differentiation, lysophosphatidic acid G-protein-coupled receptor, 7; lysophosphatidic acid receptor Edg-7
UniProt Protein Name
Lysophosphatidic acid receptor 3
UniProt Gene Name
LPAR3
UniProt Synonym Gene Names
EDG7; LPA3; LPA receptor 3; LPA-3
UniProt Entry Name
LPAR3_HUMAN
Customer Reviews
Loading reviews...
Share Your Experience
Similar Products
Product Notes
The LPAR3 lpar3 (Catalog #AAA167823) is an Antibody produced from Rabbit and is intended for research purposes only. The product is available for immediate purchase. The LPAR3 Polyclonal Antibody reacts with Human, Mouse, Rat and may cross-react with other species as described in the data sheet. AAA Biotech's LPAR3 can be used in a range of immunoassay formats including, but not limited to, IHC (Immunohistochemistry), ELISA. Researchers should empirically determine the suitability of the LPAR3 lpar3 for an application not listed in the data sheet. Researchers commonly develop new applications and it is an integral, important part of the investigative research process. It is sometimes possible for the material contained within the vial of "LPAR3, Polyclonal Antibody" to become dispersed throughout the inside of the vial, particularly around the seal of said vial, during shipment and storage. We always suggest centrifuging these vials to consolidate all of the liquid away from the lid and to the bottom of the vial prior to opening. Please be advised that certain products may require dry ice for shipping and that, if this is the case, an additional dry ice fee may also be required.Precautions
All products in the AAA Biotech catalog are strictly for research-use only, and are absolutely not suitable for use in any sort of medical, therapeutic, prophylactic, in-vivo, or diagnostic capacity. By purchasing a product from AAA Biotech, you are explicitly certifying that said products will be properly tested and used in line with industry standard. AAA Biotech and its authorized distribution partners reserve the right to refuse to fulfill any order if we have any indication that a purchaser may be intending to use a product outside of our accepted criteria.Disclaimer
Though we do strive to guarantee the information represented in this datasheet, AAA Biotech cannot be held responsible for any oversights or imprecisions. AAA Biotech reserves the right to adjust any aspect of this datasheet at any time and without notice. It is the responsibility of the customer to inform AAA Biotech of any product performance issues observed or experienced within 30 days of receipt of said product. To see additional details on this or any of our other policies, please see our Terms & Conditions page.Item has been added to Shopping Cart
If you are ready to order, navigate to Shopping Cart and get ready to checkout.
