Rabbit LRP1 Polyclonal Antibody | anti-LRP1 antibody
LRP1 Antibody
Phosphate buffered saline, pH 7.4, 150mM NaCl, 0.02% sodium azide and 50% glycerol.
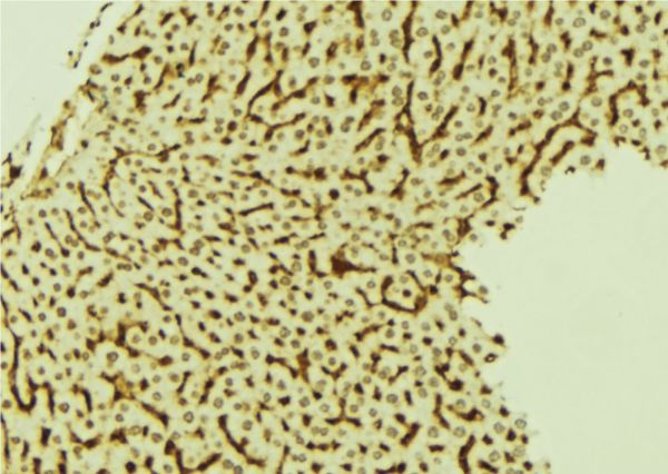
IHC (Immunohistochemisry)
(AAA323678 at 1/100 staining Mouse liver tissue by IHC-P. The sample was formaldehyde fixed and a heat mediated antigen retrieval step in citrate buffer was performed. The sample was then blocked and incubated with the antibody for 1.5 hours at 22 degree C. An HRP conjugated goat anti-rabbit antibody was used as the secondary.)
IF (Immunofluorescence)
(AAA323678 staining A549 by IF/ICC. The sample were fixed with PFA and permeabilized in 0.1% Triton X-100, then blocked in 10% serum for 45 minutes at 25 degree C. The primary antibody was diluted at 1/200 and incubated with the sample for 1 hour at 37 degree C. An Alexa Fluor 594 conjugated goat anti-rabbit IgG (H+L) Ab, diluted at 1/600, was used as the secondary antibody.)
Subunit Structure: Heterodimer of an 85-kDa membrane-bound carboxyl subunit and a non-covalently attached 515-kDa N-terminal subunit. Intracellular domain interacts with MAFB (By similarity). Found in a complex with PID1/PCLI1, LRP1 and CUBNI. Interacts with SNX17, PID1/PCLI1, PDGF and CUBN. The intracellular domain interacts with SHC1, GULP1 and DAB1. Interacts with LRPAP1. Can weakly interact (via NPXY motif) with DAB2 (via PID domain); the interaction is enhanced by tyrosine phosphorylation of the NPXY motif. Interacts with bacterial exotoxins.
Post-translational Modifications: Cleaved into a 85 kDa membrane-spanning subunit (LRP-85) and a 515 kDa large extracellular domain (LRP-515) that remains non-covalently associated. Gamma-secretase-dependent cleavage of LRP-85 releases the intracellular domain from the membrane. The N-terminus is blocked. Phosphorylated on serine and threonine residues. Phosphorylated on tyrosine residues upon stimulation with PDGF. Tyrosine phosphorylation promotes interaction with SHC1.
Similarity: Belongs to the LDLR family.
NCBI and Uniprot Product Information
Predicted: 505 kDa
Customer Reviews
Loading reviews...
Share Your Experience
Similar Products
Product Notes
The LRP1 lrp1 (Catalog #AAA323678) is an Antibody produced from Rabbit and is intended for research purposes only. The product is available for immediate purchase. The LRP1 Antibody reacts with Human, Mouse, Rat and may cross-react with other species as described in the data sheet. AAA Biotech's LRP1 can be used in a range of immunoassay formats including, but not limited to, ELISA, ICC (Immunocytochemistry), IF (Immunofluorescence), IHC (Immunohistochemistry), WB (Western Blot). Researchers should empirically determine the suitability of the LRP1 lrp1 for an application not listed in the data sheet. Researchers commonly develop new applications and it is an integral, important part of the investigative research process. It is sometimes possible for the material contained within the vial of "LRP1, Polyclonal Antibody" to become dispersed throughout the inside of the vial, particularly around the seal of said vial, during shipment and storage. We always suggest centrifuging these vials to consolidate all of the liquid away from the lid and to the bottom of the vial prior to opening. Please be advised that certain products may require dry ice for shipping and that, if this is the case, an additional dry ice fee may also be required.Precautions
All products in the AAA Biotech catalog are strictly for research-use only, and are absolutely not suitable for use in any sort of medical, therapeutic, prophylactic, in-vivo, or diagnostic capacity. By purchasing a product from AAA Biotech, you are explicitly certifying that said products will be properly tested and used in line with industry standard. AAA Biotech and its authorized distribution partners reserve the right to refuse to fulfill any order if we have any indication that a purchaser may be intending to use a product outside of our accepted criteria.Disclaimer
Though we do strive to guarantee the information represented in this datasheet, AAA Biotech cannot be held responsible for any oversights or imprecisions. AAA Biotech reserves the right to adjust any aspect of this datasheet at any time and without notice. It is the responsibility of the customer to inform AAA Biotech of any product performance issues observed or experienced within 30 days of receipt of said product. To see additional details on this or any of our other policies, please see our Terms & Conditions page.Item has been added to Shopping Cart
If you are ready to order, navigate to Shopping Cart and get ready to checkout.
