Rabbit anti-Human LRP6 Polyclonal Antibody | anti-LRP6 antibody
LRP6 Antibody
Phosphate buffered saline, pH 7.4, 150mM NaCl, 0.02% sodium azide and 50% glycerol.
IHC (Immunohistochemistry)
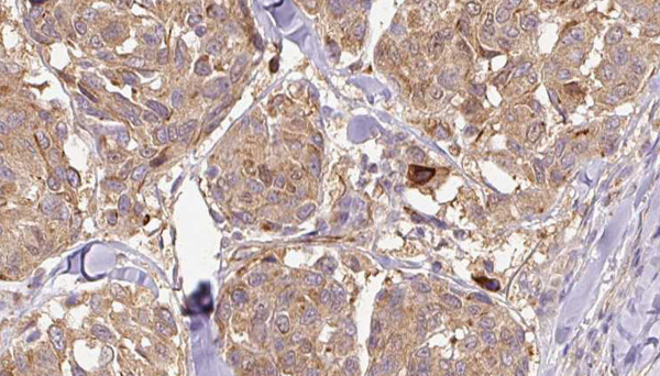
(AAA327340 at 1/100 staining Human Melanoma tissue by IHC-P. The sample was formaldehyde fixed and a heat mediated antigen retrieval step in citrate buffer was performed. The sample was then blocked and incubated with the antibody for 1.5 hours at 22 degree C. An HRP conjugated goat anti-rabbit antibody was used as the secondary.)
Subunit Structure: Homodimer; disulfide-linked. Forms phosphorylated oligomer aggregates on Wnt-signaling. Forms a WNT-signaling complex formed of a WNT protein, a FZD protein and LRP5 or LRP6. Interacts (via the extracellular domain) with WNT1; the interaction is enhanced by prior formation of the Wnt/Fzd complex. Interacts (via the beta-propeller regions 3 and 4) with WNT3A. Interacts (via the beta-propeller regions 1 and 2) with WNT9B. Interacts with FZD5; the interaction forms a coreceptor complex for Wnt signaling and is inhibited by DKK1 and DRAXIN. Interacts (via beta propeller region) with DKK1; the interaction inhibits FZD5/LRP6 complex formation. Interacts with DKK2. Interacts with C1orf187/DRAXIN; the interaction inhibits Wnt signaling (By similarity). Interacts (via the phosphorylated PPPSP motifs) with AXIN1; the interaction recruits the AXIN1/GSK3B complex to cell surface LRP6 signalsomes. Interacts with GRB10; the interaction prevents AXIN1 binding, thus negatively regulating the Wnt signaling pathway (By similarity). Interacts (via the extracellular domain) with RSPO1; the interaction activates Wnt/beta-catenin signaling. Interacts (via the extracellular domain) with RSPO3 (via the cysteine rich domain); the interaction activates Wnt/beta-catenin signaling. Interacts (via the beta-propeller regions 1 and 2) with SOST; the interaction competes with DKK1 for binding for inhibiting beta-catenin signaling. Interacts with MESD; the interaction prevents the formation of LRP6 aggregates and targets LRP6 to the plasma membrane (By similarity). Interacts (via the cytoplasmic domain) with CSNKIE; the interaction phosphorylates LRP6, binds AXIN1 and inhibits AXIN1/GSK3B-mediated phosphorylation of beta-catenin. Interacts with MACF1. Interacts with DAB2; the interaction involves LRP6 phosphorylation by CK2 and sequesters LRP6 towards clathrin-mediated endocytosis. Interacts with TMEM198. Interacts with CAPRIN2; the interaction promotes LRP6 phosphorylation at Ser-1490 (PubMed:18762581, PubMed:25331957). Found in a complex with CAPRIN2, CCNY and CDK14 during G2/M stage; CAPRIN2 functions as a scaffold for the complex by binding to CCNY via its N terminus and to CDK14 via its C terminus (PubMed:27821587). Interacts with LYPD6 (PubMed:23987510). Forms a ternary complex with DKK1 and KREM1 (PubMed:27524201). Interacts with KREM1 in a DKK1-dependent manner (PubMed:17804805).
Post-translational Modifications: Dual phosphorylation of cytoplasmic PPPSP motifs sequentially by GSK3 and CK1 is required for AXIN1-binding, and subsequent stabilization and activation of beta-catenin via preventing GSK3-mediated phosphorylation of beta-catenin. Phosphorylated, in vitro, by GRK5/6 within and outside the PPPSP motifs. Phosphorylation at Ser-1490 by CDK14 during G2/M phase leads to regulation of the Wnt signaling pathway during the cell cycle. Phosphorylation by GSK3B is induced by RPSO1 binding and inhibited by DKK1. Phosphorylated, in vitro, by casein kinase I on Thr-1479. Undergoes gamma-secretase-dependent regulated intramembrane proteolysis (RIP). The extracellular domain is first released by shedding, and then, through the action of gamma-secretase, the intracellular domain (ICD) is released into the cytoplasm where it is free to bind to GSK3B and to activate canonical Wnt signaling. Palmitoylation on the two sites near the transmembrane domain leads to release of LRP6 from the endoplasmic reticulum. Mono-ubiquitinated which retains LRP6 in the endoplasmic reticulum. Ubiquitinated by ZNRF3, leading to its degradation by the proteasome. N-glycosylation is required for cell surface location.
Similarity: The YWTD-EGF-like domains 1 and 2 are required for the interaction with Wnt-frizzled complex. The YWTD-EGF-like domains 3 and 4 are required for the interaction with DKK1.The PPPSP motifs play a central role in signal transduction by being phosphorylated, leading to activate the Wnt signaling pathway. Belongs to the LDLR family.
NCBI and Uniprot Product Information
Predicted: 181 kDa
Customer Reviews
Loading reviews...
Share Your Experience
Similar Products
Product Notes
The LRP6 lrp6 (Catalog #AAA327340) is an Antibody produced from Rabbit and is intended for research purposes only. The product is available for immediate purchase. The LRP6 Antibody reacts with Human and may cross-react with other species as described in the data sheet. AAA Biotech's LRP6 can be used in a range of immunoassay formats including, but not limited to, ELISA, IHC (Immunohistochemistry), WB (Western Blot). Researchers should empirically determine the suitability of the LRP6 lrp6 for an application not listed in the data sheet. Researchers commonly develop new applications and it is an integral, important part of the investigative research process. It is sometimes possible for the material contained within the vial of "LRP6, Polyclonal Antibody" to become dispersed throughout the inside of the vial, particularly around the seal of said vial, during shipment and storage. We always suggest centrifuging these vials to consolidate all of the liquid away from the lid and to the bottom of the vial prior to opening. Please be advised that certain products may require dry ice for shipping and that, if this is the case, an additional dry ice fee may also be required.Precautions
All products in the AAA Biotech catalog are strictly for research-use only, and are absolutely not suitable for use in any sort of medical, therapeutic, prophylactic, in-vivo, or diagnostic capacity. By purchasing a product from AAA Biotech, you are explicitly certifying that said products will be properly tested and used in line with industry standard. AAA Biotech and its authorized distribution partners reserve the right to refuse to fulfill any order if we have any indication that a purchaser may be intending to use a product outside of our accepted criteria.Disclaimer
Though we do strive to guarantee the information represented in this datasheet, AAA Biotech cannot be held responsible for any oversights or imprecisions. AAA Biotech reserves the right to adjust any aspect of this datasheet at any time and without notice. It is the responsibility of the customer to inform AAA Biotech of any product performance issues observed or experienced within 30 days of receipt of said product. To see additional details on this or any of our other policies, please see our Terms & Conditions page.Item has been added to Shopping Cart
If you are ready to order, navigate to Shopping Cart and get ready to checkout.
