Rabbit anti-Human LY86 Polyclonal Antibody | anti-LY86 antibody
LY86 Antibody
Gene Names
LY86; MD1; MD-1; MMD-1; dJ80N2.1
Reactivity
Human
Applications
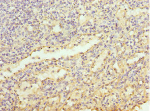
Immunohistochemistry, ELISA
Purity
Antigen Affinity Purified
Synonyms
LY86, Antibody; LY86 Antibody; Lymphocyte antigen 86; Ly-86; Protein MD-1; LY86; MD1; anti-LY86 antibody
Host
Rabbit
Reactivity
Human
Clonality
Polyclonal
Isotype
IgG
Purity/Purification
Antigen Affinity Purified
Form/Format
Liquid
Sequence Length
162
Applicable Applications for anti-LY86 antibody
IHC (Immunohistochemistry), ELISA
Species
Human
Immunogen
Recombinant human Lymphocyte antigen 86 protein (21-162AA)
Conjugate
Non-conjugated
Buffer
PBS with 0.02% sodium azide, 50% glycerol, pH7.3.
Santa Cruz Alternative
Potential replacement for Santa Cruz Biotechnology antibody catalog# sc-20612 / sc-20614
Preparation and Storage
Shipped at 4 degree C. Upon delivery aliquot and store at -20 degree C or -80 degree C. Avoid repeated freeze.
Related Product Information for anti-LY86 antibody
May cooperate with CD180 and TLR4 to mediate the innate immune response to bacterial lipopolysaccharide (LPS) and cytokine production. Important for efficient CD180 cell surface expression (By similarity).
NCBI and Uniprot Product Information
NCBI GI #
NCBI GeneID
NCBI Accession #
NCBI GenBank Nucleotide #
Molecular Weight
17,906 Da
NCBI Official Full Name
lymphocyte antigen 86
NCBI Official Synonym Full Names
lymphocyte antigen 86
NCBI Official Symbol
LY86
NCBI Official Synonym Symbols
MD1; MD-1; MMD-1; dJ80N2.1
NCBI Protein Information
lymphocyte antigen 86
UniProt Protein Name
Lymphocyte antigen 86
UniProt Gene Name
LY86
UniProt Synonym Gene Names
MD1; Ly-86
UniProt Entry Name
LY86_HUMAN
Customer Reviews
Loading reviews...
Share Your Experience
Similar Products
Product Notes
The LY86 ly86 (Catalog #AAA231939) is an Antibody produced from Rabbit and is intended for research purposes only. The product is available for immediate purchase. The LY86 Antibody reacts with Human and may cross-react with other species as described in the data sheet. AAA Biotech's LY86 can be used in a range of immunoassay formats including, but not limited to, IHC (Immunohistochemistry), ELISA. Researchers should empirically determine the suitability of the LY86 ly86 for an application not listed in the data sheet. Researchers commonly develop new applications and it is an integral, important part of the investigative research process. It is sometimes possible for the material contained within the vial of "LY86, Polyclonal Antibody" to become dispersed throughout the inside of the vial, particularly around the seal of said vial, during shipment and storage. We always suggest centrifuging these vials to consolidate all of the liquid away from the lid and to the bottom of the vial prior to opening. Please be advised that certain products may require dry ice for shipping and that, if this is the case, an additional dry ice fee may also be required.Precautions
All products in the AAA Biotech catalog are strictly for research-use only, and are absolutely not suitable for use in any sort of medical, therapeutic, prophylactic, in-vivo, or diagnostic capacity. By purchasing a product from AAA Biotech, you are explicitly certifying that said products will be properly tested and used in line with industry standard. AAA Biotech and its authorized distribution partners reserve the right to refuse to fulfill any order if we have any indication that a purchaser may be intending to use a product outside of our accepted criteria.Disclaimer
Though we do strive to guarantee the information represented in this datasheet, AAA Biotech cannot be held responsible for any oversights or imprecisions. AAA Biotech reserves the right to adjust any aspect of this datasheet at any time and without notice. It is the responsibility of the customer to inform AAA Biotech of any product performance issues observed or experienced within 30 days of receipt of said product. To see additional details on this or any of our other policies, please see our Terms & Conditions page.Item has been added to Shopping Cart
If you are ready to order, navigate to Shopping Cart and get ready to checkout.
