Rabbit anti-Human LY9 Polyclonal Antibody | anti-LY9 antibody
LY9 Antibody
Gene Names
LY9; hly9; mLY9; CD229; SLAMF3
Reactivity
Human
Applications
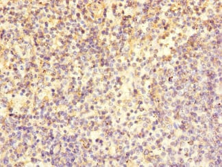
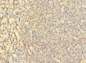
Immunohistochemistry, ELISA
Purity
Antigen Affinity Purified
Synonyms
LY9, Antibody; LY9 Antibody; T-lymphocyte surface antigen Ly-9; Cell surface molecule Ly-9; Lymphocyte antigen 9; SLAM family member 3; SLAMF3; Signaling lymphocytic activation molecule 3; CD229; LY9; CDABP0070; anti-LY9 antibody
Host
Rabbit
Reactivity
Human
Clonality
Polyclonal
Isotype
IgG
Purity/Purification
Antigen Affinity Purified
Form/Format
Liquid
Sequence Length
193
Applicable Applications for anti-LY9 antibody
IHC (Immunohistochemistry), ELISA
Species
Human
Immunogen
Recombinant human T-lymphocyte surface antigen Ly-9 protein (160-360AA)
Conjugate
Non-conjugated
Buffer
PBS with 0.02% sodium azide, 50% glycerol, pH7.3.
Santa Cruz Alternative
Potential replacement for Santa Cruz Biotechnology antibody catalog# sc-33236
Preparation and Storage
Shipped at 4 degree C. Upon delivery aliquot and store at -20 degree C or -80 degree C. Avoid repeated freeze.
Related Product Information for anti-LY9 antibody
Self-ligand receptor of the signaling lymphocytic activation molecule (SLAM) family. SLAM receptors triggered by homo- or heterotypic cell-cell interactions are modulating the activation and differentiation of a wide variety of immune cells and thus are involved in the regulation and interconnection of both innate and adaptive immune response. Activities are controlled by presence or absence of small cytoplasmic adapter proteins, SH2D1A/SAP and/or SH2D1B/EAT-2. May participate in adhesion reactions between T lymphocytes and accessory cells by homophilic interaction. Promotes T-cell differentiation into a helper T-cell Th17 phenotype leading to increased IL-17 secretion; the costimulatory activity requires SH2D1A (PubMed:22184727). Promotes recruitment of RORC to the IL-17 promoter (PubMed:22989874). May be involved in the maintenance of peripheral cell tolerance by serving as a negative regulator of the immune response. May disable autoantibody responses and inhibit IFN-gamma secretion by CD4(+) T-cells. May negatively regulate the size of thymic innate CD8(+) T-cells and the development of invariant natural killer T (iNKT) cells (By similarity).
NCBI and Uniprot Product Information
NCBI GI #
NCBI GeneID
NCBI Accession #
NCBI GenBank Nucleotide #
Molecular Weight
71,961 Da
NCBI Official Full Name
T-lymphocyte surface antigen Ly-9 isoform b
NCBI Official Synonym Full Names
lymphocyte antigen 9
NCBI Official Symbol
LY9
NCBI Official Synonym Symbols
hly9; mLY9; CD229; SLAMF3
NCBI Protein Information
T-lymphocyte surface antigen Ly-9
UniProt Protein Name
T-lymphocyte surface antigen Ly-9
UniProt Gene Name
LY9
UniProt Synonym Gene Names
SLAMF3
UniProt Entry Name
LY9_HUMAN
Customer Reviews
Loading reviews...
Share Your Experience
Similar Products
Product Notes
The LY9 ly9 (Catalog #AAA231578) is an Antibody produced from Rabbit and is intended for research purposes only. The product is available for immediate purchase. The LY9 Antibody reacts with Human and may cross-react with other species as described in the data sheet. AAA Biotech's LY9 can be used in a range of immunoassay formats including, but not limited to, IHC (Immunohistochemistry), ELISA. Researchers should empirically determine the suitability of the LY9 ly9 for an application not listed in the data sheet. Researchers commonly develop new applications and it is an integral, important part of the investigative research process. It is sometimes possible for the material contained within the vial of "LY9, Polyclonal Antibody" to become dispersed throughout the inside of the vial, particularly around the seal of said vial, during shipment and storage. We always suggest centrifuging these vials to consolidate all of the liquid away from the lid and to the bottom of the vial prior to opening. Please be advised that certain products may require dry ice for shipping and that, if this is the case, an additional dry ice fee may also be required.Precautions
All products in the AAA Biotech catalog are strictly for research-use only, and are absolutely not suitable for use in any sort of medical, therapeutic, prophylactic, in-vivo, or diagnostic capacity. By purchasing a product from AAA Biotech, you are explicitly certifying that said products will be properly tested and used in line with industry standard. AAA Biotech and its authorized distribution partners reserve the right to refuse to fulfill any order if we have any indication that a purchaser may be intending to use a product outside of our accepted criteria.Disclaimer
Though we do strive to guarantee the information represented in this datasheet, AAA Biotech cannot be held responsible for any oversights or imprecisions. AAA Biotech reserves the right to adjust any aspect of this datasheet at any time and without notice. It is the responsibility of the customer to inform AAA Biotech of any product performance issues observed or experienced within 30 days of receipt of said product. To see additional details on this or any of our other policies, please see our Terms & Conditions page.Item has been added to Shopping Cart
If you are ready to order, navigate to Shopping Cart and get ready to checkout.
