Rabbit anti-Human MAGEA6 Polyclonal Antibody | anti-MAGEA6 antibody
MAGEA6 Antibody
Gene Names
MAGEA6; CT1.6; MAGE6; MAGE3B; MAGE-3b
Reactivity
Human
Applications
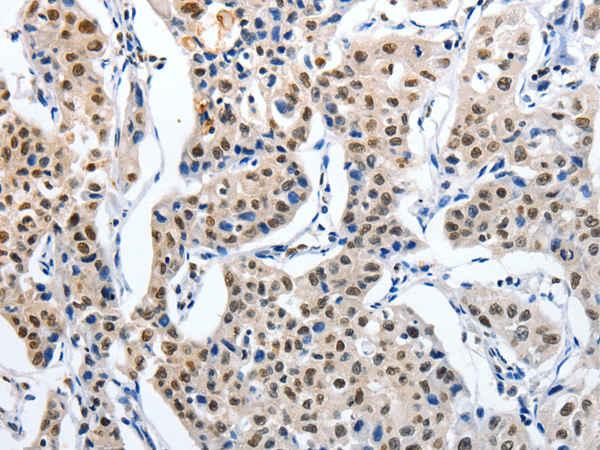
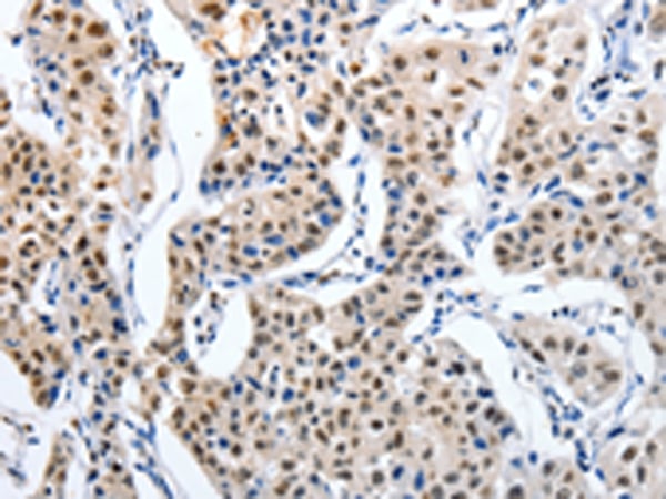
Immunohistochemistry
Purity
Antigen Affinity Purification
Synonyms
MAGEA6, Antibody; MAGEA6 Antibody; CT1.6; MAGE6; MAGE3B; MAGE-3b; anti-MAGEA6 antibody
Host
Rabbit
Reactivity
Human
Clonality
Polyclonal
Specificity
The antibody detects endogenous levels of total MAGEA6 protein.
Purity/Purification
Antigen Affinity Purification
Form/Format
Rabbit IgG in pH7.4 PBS, 0.05% NaN3, 40% Glycerol.
Concentration
3.3 mg/ml (varies by lot)
Sequence Length
314
Applicable Applications for anti-MAGEA6 antibody
IHC (Immunohistochemistry)
Immunogen
Synthetic peptide of human MAGEA6
Immunogen Type
Peptide
Preparation and Storage
Store at -20 degree C
Related Product Information for anti-MAGEA6 antibody
This gene is a member of the MAGEA gene family. The members of this family encode proteins with 50 to 80% sequence identity to each other. The promoters and first exons of the MAGEA genes show considerable variability, suggesting that the existence of this gene family enables the same function to be expressed under different transcriptional controls. The MAGEA genes are clustered at chromosomal location Xq28. They have been implicated in some hereditary disorders, such as dyskeratosis congenita. Alternative splicing results in multiple transcript variants.
Product Categories/Family for anti-MAGEA6 antibody
NCBI and Uniprot Product Information
NCBI GI #
NCBI GeneID
NCBI Accession #
NCBI GenBank Nucleotide #
Molecular Weight
34,891 Da
NCBI Official Full Name
melanoma-associated antigen 6
NCBI Official Synonym Full Names
MAGE family member A6
NCBI Official Symbol
MAGEA6
NCBI Official Synonym Symbols
CT1.6; MAGE6; MAGE3B; MAGE-3b
NCBI Protein Information
melanoma-associated antigen 6
UniProt Protein Name
Melanoma-associated antigen 6
UniProt Gene Name
MAGEA6
UniProt Synonym Gene Names
MAGE6; CT1.6
UniProt Entry Name
MAGA6_HUMAN
Customer Reviews
Loading reviews...
Share Your Experience
Similar Products
Product Notes
The MAGEA6 magea6 (Catalog #AAA308673) is an Antibody produced from Rabbit and is intended for research purposes only. The product is available for immediate purchase. The MAGEA6 Antibody reacts with Human and may cross-react with other species as described in the data sheet. AAA Biotech's MAGEA6 can be used in a range of immunoassay formats including, but not limited to, IHC (Immunohistochemistry). Researchers should empirically determine the suitability of the MAGEA6 magea6 for an application not listed in the data sheet. Researchers commonly develop new applications and it is an integral, important part of the investigative research process. It is sometimes possible for the material contained within the vial of "MAGEA6, Polyclonal Antibody" to become dispersed throughout the inside of the vial, particularly around the seal of said vial, during shipment and storage. We always suggest centrifuging these vials to consolidate all of the liquid away from the lid and to the bottom of the vial prior to opening. Please be advised that certain products may require dry ice for shipping and that, if this is the case, an additional dry ice fee may also be required.Precautions
All products in the AAA Biotech catalog are strictly for research-use only, and are absolutely not suitable for use in any sort of medical, therapeutic, prophylactic, in-vivo, or diagnostic capacity. By purchasing a product from AAA Biotech, you are explicitly certifying that said products will be properly tested and used in line with industry standard. AAA Biotech and its authorized distribution partners reserve the right to refuse to fulfill any order if we have any indication that a purchaser may be intending to use a product outside of our accepted criteria.Disclaimer
Though we do strive to guarantee the information represented in this datasheet, AAA Biotech cannot be held responsible for any oversights or imprecisions. AAA Biotech reserves the right to adjust any aspect of this datasheet at any time and without notice. It is the responsibility of the customer to inform AAA Biotech of any product performance issues observed or experienced within 30 days of receipt of said product. To see additional details on this or any of our other policies, please see our Terms & Conditions page.Item has been added to Shopping Cart
If you are ready to order, navigate to Shopping Cart and get ready to checkout.
