Rabbit anti-Human MAGEE1 Polyclonal Antibody | anti-MAGEE1 antibody
MAGEE1 Antibody
Gene Names
MAGEE1; HCA1; DAMAGE
Reactivity
Human
Applications
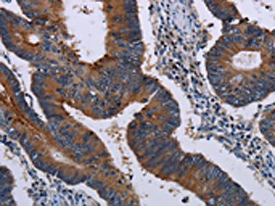
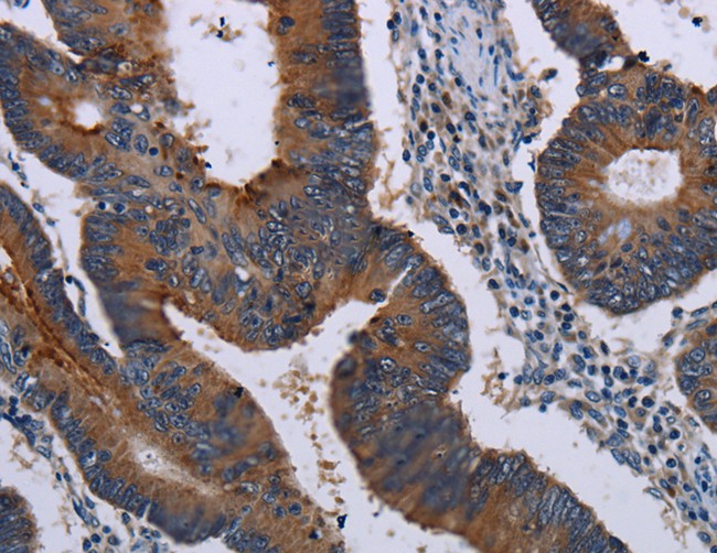
Immunohistochemistry
Purity
Antigen affinity purification.
Synonyms
MAGEE1, Antibody; MAGEE1 Antibody; HCA1; DAMAGE; anti-MAGEE1 antibody
Host
Rabbit
Reactivity
Human
Clonality
Polyclonal
Specificity
The antibody detects endogenous levels of total MAGEE1 protein.
Purity/Purification
Antigen affinity purification.
Form/Format
Rabbit IgG in pH7.3 PBS, 0.05% NaN3, 50% Glycerol.
Concentration
1.8 mg/ml (varies by lot)
Sequence Length
957
Applicable Applications for anti-MAGEE1 antibody
IHC (Immunohistochemistry)
Immunogen Type
Peptide
Immunogen Description
Synthetic peptide corresponding to residues near the C terminal of human melanoma antigen family E, 1
Target Name
MAGEE1
Preparation and Storage
Store at -20 degree C
Related Product Information for anti-MAGEE1 antibody
This gene encodes an alpha-dystrobrevin-associated MAGE (melanoma-associated antigen) protein, which is a member of the MAGE family. The protein contains a nuclear localization signal in the N-terminus, 30 12-amino acid repeats beginning at nt 60 with the consensus sequence ASEGPSTSVLPT, and two MAGE domains in the C-terminus. It may play a signaling role in brain, muscle, and peripheral nerve. This gene is located on X chromosome in a region containing loci linked to mental retardation.
Product Categories/Family for anti-MAGEE1 antibody
NCBI and Uniprot Product Information
NCBI GI #
NCBI GeneID
NCBI Accession #
NCBI GenBank Nucleotide #
Molecular Weight
103,254 Da
NCBI Official Full Name
melanoma-associated antigen E1
NCBI Official Synonym Full Names
melanoma antigen family E1
NCBI Official Symbol
MAGEE1
NCBI Official Synonym Symbols
HCA1; DAMAGE
NCBI Protein Information
melanoma-associated antigen E1
UniProt Protein Name
Melanoma-associated antigen E1
UniProt Gene Name
MAGEE1
UniProt Synonym Gene Names
HCA1; KIAA1587; DAMAGE
UniProt Entry Name
MAGE1_HUMAN
Customer Reviews
Loading reviews...
Share Your Experience
Similar Products
Product Notes
The MAGEE1 magee1 (Catalog #AAA306462) is an Antibody produced from Rabbit and is intended for research purposes only. The product is available for immediate purchase. The MAGEE1 Antibody reacts with Human and may cross-react with other species as described in the data sheet. AAA Biotech's MAGEE1 can be used in a range of immunoassay formats including, but not limited to, IHC (Immunohistochemistry). Researchers should empirically determine the suitability of the MAGEE1 magee1 for an application not listed in the data sheet. Researchers commonly develop new applications and it is an integral, important part of the investigative research process. It is sometimes possible for the material contained within the vial of "MAGEE1, Polyclonal Antibody" to become dispersed throughout the inside of the vial, particularly around the seal of said vial, during shipment and storage. We always suggest centrifuging these vials to consolidate all of the liquid away from the lid and to the bottom of the vial prior to opening. Please be advised that certain products may require dry ice for shipping and that, if this is the case, an additional dry ice fee may also be required.Precautions
All products in the AAA Biotech catalog are strictly for research-use only, and are absolutely not suitable for use in any sort of medical, therapeutic, prophylactic, in-vivo, or diagnostic capacity. By purchasing a product from AAA Biotech, you are explicitly certifying that said products will be properly tested and used in line with industry standard. AAA Biotech and its authorized distribution partners reserve the right to refuse to fulfill any order if we have any indication that a purchaser may be intending to use a product outside of our accepted criteria.Disclaimer
Though we do strive to guarantee the information represented in this datasheet, AAA Biotech cannot be held responsible for any oversights or imprecisions. AAA Biotech reserves the right to adjust any aspect of this datasheet at any time and without notice. It is the responsibility of the customer to inform AAA Biotech of any product performance issues observed or experienced within 30 days of receipt of said product. To see additional details on this or any of our other policies, please see our Terms & Conditions page.Item has been added to Shopping Cart
If you are ready to order, navigate to Shopping Cart and get ready to checkout.
