Rabbit anti-Mouse, Rat Mannose 6 Phosphate Receptor/Igf2r Polyclonal Antibody | anti-Igf2r antibody
Anti-Mannose 6 Phosphate Receptor/Igf2r Antibody
Avoid repeated freezing and thawing.
WB (Western Blot)
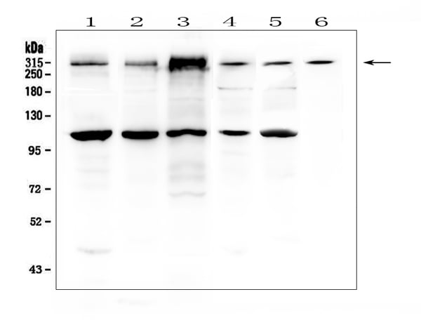
(Figure 1. Western blot analysis of Igf2r using anti-Igf2r antibody.Electrophoresis was performed on a 5-20% SDS-PAGE gel at 70V (Stacking gel)/90V (Resolving gel) for 2-3 hours. The sample well of each lane was loaded with 50ug of sample under reducing conditions.Lane 1: mouse brain tissue lysates,Lane 2: mouse lung tissue lysates,Lane 3: mouse NIH3T3 whole cell lysates,Lane 4: rat brain tissue lysates,Lane 5: rat lung tissue lysates,Lane 6: rat stomach tissue lysates,After Electrophoresis, proteins were transferred to a Nitrocellulose membrane at 150mA for 50-90 minutes. Blocked the membrane with 5% Non-fat Milk/TBS for 1.5 hour at RT. The membrane was incubated with rabbit anti-Igf2r antigen affinity purified polyclonal antibody at 0.5 ug/ml overnight at 4 degree C, then washed with TBS-0.1%Tween 3 times with 5 minutes each and probed with a goat anti-rabbit IgG-HRP secondary antibody at a dilution of 1:10000 for 1.5 hour at RT. The signal is developed using an Enhanced Chemiluminescent detection (ECL) kit with Tanon 5200 system. A specific band was detected for Igf2r at approximately 300KD. The expected band size for Igf2r is at 274KD.)
IHC (Immunohistochemistry)
(Figure 2. IHC analysis of Igf2r using anti-Igf2r antibody.Electrophoresis was performed on a 5-20% SDS-PAGE gel at 70V (Stacking gel)/90V (Resolving gel) for 2-3 hours. The sample well of each lane was loaded with 50ug of sample under reducing conditions.Lane 1: mouse brain tissue lysates,Lane 2: mouse lung tissue lysates,Lane 3: mouse NIH3T3 whole cell lysates,Lane 4: rat brain tissue lysates,Lane 5: rat lung tissue lysates,Lane 6: rat stomach tissue lysates,After Electrophoresis, proteins were transferred to a Nitrocellulose membrane at 150mA for 50-90 minutes. Blocked the membrane with 5% Non-fat Milk/TBS for 1.5 hour at RT. The membrane was incubated with rabbit anti-Igf2r antigen affinity purified polyclonal antibody at 0.5 ug/ml overnight at 4 degree C, then washed with TBS-0.1%Tween 3 times with 5 minutes each and probed with a goat anti-rabbit IgG-HRP secondary antibody at a dilution of 1:10000 for 1.5 hour at RT. The signal is developed using an Enhanced Chemiluminescent detection (ECL) kit with Tanon 5200 system. A specific band was detected for Igf2r at approximately 300KD. The expected band size for Igf2r is at 274KD.)
Background: Insulin-like growth factor 2 receptor, also called IGF2R or I-MPR is a protein that in humans is encoded by the IGF2R gene. This gene is mapped to 6q25.3. This gene encodes a receptor for both insulin-like growth factor 2 and mannose 6-phosphate, although the binding sites for either are located on different segments of the receptor. This receptor functions in the intracellular trafficking of lysosomal enzymes, the activation of transforming growth factor beta, and the degradation of insulin-like growth factor 2. While the related mouse gene shows exclusive expression from the maternal allele, imprinting of the human gene appears to be polymorphic, with only a minority of individuals showing expression from the maternal allele.
NCBI and Uniprot Product Information
Customer Reviews
Loading reviews...
Share Your Experience
Similar Products
IGF2R Recombinant Protein
IGF2R Antibody
Product Notes
The Igf2r igf2r (Catalog #AAA124913) is an Antibody produced from Rabbit and is intended for research purposes only. The product is available for immediate purchase. The Anti-Mannose 6 Phosphate Receptor/Igf2r Antibody reacts with Mouse, Rat and may cross-react with other species as described in the data sheet. AAA Biotech's Mannose 6 Phosphate Receptor/Igf2r can be used in a range of immunoassay formats including, but not limited to, IHC (Immunohistochemistry), WB (Western Blot). Researchers should empirically determine the suitability of the Igf2r igf2r for an application not listed in the data sheet. Researchers commonly develop new applications and it is an integral, important part of the investigative research process. It is sometimes possible for the material contained within the vial of "Mannose 6 Phosphate Receptor/Igf2r, Polyclonal Antibody" to become dispersed throughout the inside of the vial, particularly around the seal of said vial, during shipment and storage. We always suggest centrifuging these vials to consolidate all of the liquid away from the lid and to the bottom of the vial prior to opening. Please be advised that certain products may require dry ice for shipping and that, if this is the case, an additional dry ice fee may also be required.Precautions
All products in the AAA Biotech catalog are strictly for research-use only, and are absolutely not suitable for use in any sort of medical, therapeutic, prophylactic, in-vivo, or diagnostic capacity. By purchasing a product from AAA Biotech, you are explicitly certifying that said products will be properly tested and used in line with industry standard. AAA Biotech and its authorized distribution partners reserve the right to refuse to fulfill any order if we have any indication that a purchaser may be intending to use a product outside of our accepted criteria.Disclaimer
Though we do strive to guarantee the information represented in this datasheet, AAA Biotech cannot be held responsible for any oversights or imprecisions. AAA Biotech reserves the right to adjust any aspect of this datasheet at any time and without notice. It is the responsibility of the customer to inform AAA Biotech of any product performance issues observed or experienced within 30 days of receipt of said product. To see additional details on this or any of our other policies, please see our Terms & Conditions page.Item has been added to Shopping Cart
If you are ready to order, navigate to Shopping Cart and get ready to checkout.
