MAOB Polyclonal Antibody | anti-MAOB antibody
Anti-MAOB Antibody
WB (Western Blot)
(Anti- MAOB Picoband antibody, AAA46288, Western blottingAll lanes: Anti MAOB (AAA46288) at 0.5ug/mlLane 1: Rat Brain Tissue Lysate at 50ugLane 2: Mouse Brain Tissue Lysate at 50ugPredicted bind size: 59KDObserved bind size: 59KD)
IHC (Immunohistochemistry)
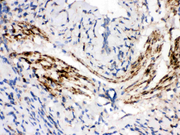
(Anti- MAOB Picoband antibody, AAA46288,IHC(P)IHC(P): Human Lung Cancer Tissue)
IHC (Immunohistochemisry)
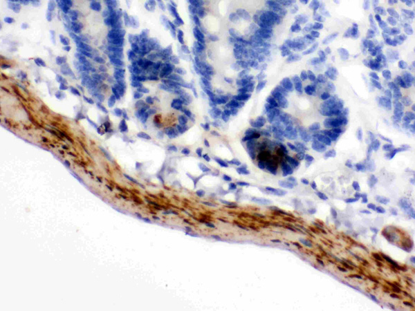
(Anti- MAOB Picoband antibody, AAA46288,IHC(P)IHC(P): Rat Intestine Tissue)
IHC (Immunohiostchemistry)
(Anti- MAOB Picoband antibody, AAA46288,IHC(P)IHC(P): Mouse Intestine Tissue)
WB (Western Blot)
(Anti- MAOB Picoband antibody, AAA46288, Western blottingAll lanes: Anti MAOB (AAA46288) at 0.5ug/mlLane 1: Rat Cardiac MuscleTissue Lysate at 50ugLane 2: Rat Kidney Tissue Lysate at 50ugLane 3: Rat Intestine Tissue Lysate at 50ugLane 4: Mouse Kidney Tissue Lysate at 50ugLane 5: Mouse Intestine Tissue Lysate at 50ugLane 6: Mouse Cardiac Muscle Tissue Lysate at 50ugLane 7: HEPG2 Whole Cell Lysate at 40ugLane 8: HELA Whole Cell Lysate at 40ugLane 9: COLO320 Whole Cell Lysate at 40ugPredicted bind size: 59KDObserved bind size: 59KD)
Background: MAOB (MONOAMINE OXIDASE B), also called MAO, BRAIN, AMINE OXIDASE (FLAVIN-CONTAINING) B, is a protein that in humans is encoded by the MAOB gene. MAOB is a member of the flavin monoamine oxidase family. And it is mapped on Xp11.3. MAOB catalyzes the oxidative deamination of biogenic and xenobiotic amines and plays an important role in the metabolism of neuroactive and vasoactive amines in the central nervous system and peripheral tissues. This protein preferentially degrades benzylamine and phenylethylamine. Like MAOA, it also degrades dopamine. MAO-B is involved in the breakdown of dopamine, a neurotransmitter implicated in reinforcing and motivating behaviors as well as movement. MAO-B inhibition is, therefore, associated with enhanced activity of dopamine, as well as with decreased production of hydrogen peroxide, a source of reactive oxygen species.
NCBI and Uniprot Product Information
Customer Reviews
Loading reviews...
Share Your Experience
Similar Products
Product Notes
The MAOB maob (Catalog #AAA46288) is an Antibody and is intended for research purposes only. The product is available for immediate purchase. The Anti-MAOB Antibody reacts with Human, Mouse, Rat and may cross-react with other species as described in the data sheet. AAA Biotech's MAOB can be used in a range of immunoassay formats including, but not limited to, IHC (Immunohistochemistry), WB (Western Blot). Researchers should empirically determine the suitability of the MAOB maob for an application not listed in the data sheet. Researchers commonly develop new applications and it is an integral, important part of the investigative research process. It is sometimes possible for the material contained within the vial of "MAOB, Polyclonal Antibody" to become dispersed throughout the inside of the vial, particularly around the seal of said vial, during shipment and storage. We always suggest centrifuging these vials to consolidate all of the liquid away from the lid and to the bottom of the vial prior to opening. Please be advised that certain products may require dry ice for shipping and that, if this is the case, an additional dry ice fee may also be required.Precautions
All products in the AAA Biotech catalog are strictly for research-use only, and are absolutely not suitable for use in any sort of medical, therapeutic, prophylactic, in-vivo, or diagnostic capacity. By purchasing a product from AAA Biotech, you are explicitly certifying that said products will be properly tested and used in line with industry standard. AAA Biotech and its authorized distribution partners reserve the right to refuse to fulfill any order if we have any indication that a purchaser may be intending to use a product outside of our accepted criteria.Disclaimer
Though we do strive to guarantee the information represented in this datasheet, AAA Biotech cannot be held responsible for any oversights or imprecisions. AAA Biotech reserves the right to adjust any aspect of this datasheet at any time and without notice. It is the responsibility of the customer to inform AAA Biotech of any product performance issues observed or experienced within 30 days of receipt of said product. To see additional details on this or any of our other policies, please see our Terms & Conditions page.Item has been added to Shopping Cart
If you are ready to order, navigate to Shopping Cart and get ready to checkout.
