Rabbit MAP1LC3A Polyclonal Antibody | anti-MAP1LC3A antibody
MAP1LC3A Antibody
Phosphate buffered saline, pH 7.4, 150mM NaCl, 0.02% sodium azide and 50% glycerol.
IF (Immunofluorescence)
(AAA327120 staining U87 by IF/ICC. The sample were fixed with PFA and permeabilized in 0.1% Triton X-100, then blocked in 10% serum for 45 minutes at 25 degree C. The primary antibody was diluted at 1/200 and incubated with the sample for 1 hour at 37 degree C. An Alexa Fluor 594 conjugated goat anti-rabbit IgG (H+L) Ab, diluted at 1/600, was used as the secondary antibody.)
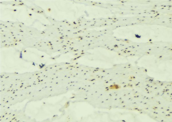
IHC (Immunohiostchemistry)
(AAA327120 at 1/100 staining Mouse muscle tissue by IHC-P. The sample was formaldehyde fixed and a heat mediated antigen retrieval step in citrate buffer was performed. The sample was then blocked and incubated with the antibody for 1.5 hours at 22 degree C. An HRP conjugated goat anti-rabbit antibody was used as the secondary.)
WB (Western Blot)
(Western blot analysis of Hela cell lysate, using MAP1LC3A Antibody. The lane on the left is treated with the antigen-specific peptide.)
Function: Ubiquitin-like modifier involved in formation of autophagosomal vacuoles (autophagosomes) (PubMed:20713600, PubMed:24290141). Whereas LC3s are involved in elongation of the phagophore membrane, the GABARAP/GATE-16 subfamily is essential for a later stage in autophagosome maturation (PubMed:20713600).
Subunit Structure: 3 different light chains, LC1, LC2 and LC3, can associate with MAP1A and MAP1B proteins (By similarity). Interacts with TP53INP1 and TP53INP2 (PubMed:19056683, PubMed:22470510). Directly interacts with SQSTM1; this interaction leads to MAP1LC3A recruitment to inclusion bodies containing polyubiquitinated protein aggregates and to inclusion body degradation by autophagy (PubMed:17580304). Interacts with ATG13 (PubMed:24290141, PubMed:23043107). Interacts with ULK1 (PubMed:23043107). Interacts with TBC1D5 (PubMed:22354992). Found in a complex with UBQLN1 and UBQLN2 (PubMed:20529957). Interacts with UBQLN4 (via STI1 1 and 2 domains). Interacts with UBQLN1 in the presence of UBQLN4 (PubMed:23459205). Interacts with TRIM5 (PubMed:25127057). Interacts with MEFV (PubMed:26347139). Interacts with RETREG1, RETREG2 and RETREG3 (PubMed:26040720).
Post-translational Modifications: The precursor molecule is cleaved by ATG4B to form the cytosolic form, LC3-I. This is activated by APG7L/ATG7, transferred to ATG3 and conjugated to phospholipid to form the membrane-bound form, LC3-II (PubMed:15187094). The Legionella effector RavZ is a deconjugating enzyme that produces an ATG8 product that would be resistant to reconjugation by the host machinery due to the cleavage of the reactive C-terminal glycine. Phosphorylation at Ser-12 by PKA inhibits conjugation to phosphatidylethanolamine (PE). Interaction with MAPK15 reduces the inhibitory phosphorylation and increases autophagy activity.
Similarity: Belongs to the ATG8 family.
NCBI and Uniprot Product Information
Predicted: 15 kDa
Customer Reviews
Loading reviews...
Share Your Experience
Similar Products
Product Notes
The MAP1LC3A map1lc3a (Catalog #AAA327120) is an Antibody produced from Rabbit and is intended for research purposes only. The product is available for immediate purchase. The MAP1LC3A Antibody reacts with Human, Mouse, Rat and may cross-react with other species as described in the data sheet. AAA Biotech's MAP1LC3A can be used in a range of immunoassay formats including, but not limited to, ELISA, ICC (Immunocytochemistry), IF (Immunofluorescence), IHC (Immunohistochemistry), WB (Western Blot). Researchers should empirically determine the suitability of the MAP1LC3A map1lc3a for an application not listed in the data sheet. Researchers commonly develop new applications and it is an integral, important part of the investigative research process. It is sometimes possible for the material contained within the vial of "MAP1LC3A, Polyclonal Antibody" to become dispersed throughout the inside of the vial, particularly around the seal of said vial, during shipment and storage. We always suggest centrifuging these vials to consolidate all of the liquid away from the lid and to the bottom of the vial prior to opening. Please be advised that certain products may require dry ice for shipping and that, if this is the case, an additional dry ice fee may also be required.Precautions
All products in the AAA Biotech catalog are strictly for research-use only, and are absolutely not suitable for use in any sort of medical, therapeutic, prophylactic, in-vivo, or diagnostic capacity. By purchasing a product from AAA Biotech, you are explicitly certifying that said products will be properly tested and used in line with industry standard. AAA Biotech and its authorized distribution partners reserve the right to refuse to fulfill any order if we have any indication that a purchaser may be intending to use a product outside of our accepted criteria.Disclaimer
Though we do strive to guarantee the information represented in this datasheet, AAA Biotech cannot be held responsible for any oversights or imprecisions. AAA Biotech reserves the right to adjust any aspect of this datasheet at any time and without notice. It is the responsibility of the customer to inform AAA Biotech of any product performance issues observed or experienced within 30 days of receipt of said product. To see additional details on this or any of our other policies, please see our Terms & Conditions page.Item has been added to Shopping Cart
If you are ready to order, navigate to Shopping Cart and get ready to checkout.
