Rabbit MAP3K7 Polyclonal Antibody | anti-MAP3K7 antibody
MAP3K7 Polyclonal Antibody
Gene Names
MAP3K7; CSCF; FMD2; TAK1; MEKK7; TGF1a
Reactivity
Human, Mouse, Rat
Applications
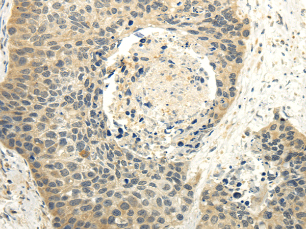
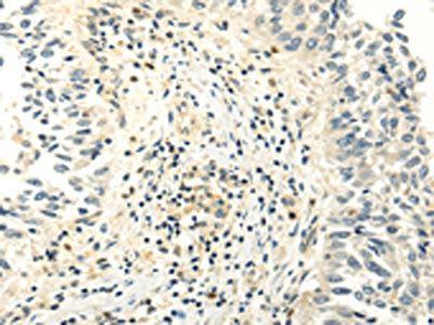
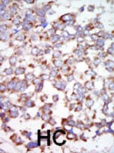
Immunohistochemistry, ELISA
Purity
Antigen Affinity Purification
Synonyms
MAP3K7, Antibody; MAP3K7 Polyclonal Antibody; TAK1; MEKK7; TGF1a; anti-MAP3K7 antibody
Host
Rabbit
Reactivity
Human, Mouse, Rat
Clonality
Polyclonal
Isotype
IgG
Purity/Purification
Antigen Affinity Purification
Concentration
1.1mg/ml (varies by lot)
Sequence Length
491
Applicable Applications for anti-MAP3K7 antibody
IHC (Immunohistochemistry), ELISA
Immunogen
Fusion protein of human MAP3K7
Buffer
PBS with 0.05% sodium azide, 50% glycerol, pH7.3
Santa Cruz Alternative
Potential replacement for Santa Cruz Biotechnology antibody catalog# sc-1839 / sc-7162
Preparation and Storage
Store at -20 degree C. Avoid freeze/thaw cycles.
Related Product Information for anti-MAP3K7 antibody
The protein encoded by this gene is a member of the serine/threonine protein kinase family. This kinase mediates the signaling transduction induced by TGF beta and morphogenetic protein (BMP), and controls a variety of cell functions including transcription regulation and apoptosis. In response to IL-1, this protein forms a kinase complex including TRAF6, MAP3K7P1/TAB1 and MAP3K7P2/TAB2; this complex is required for the activation of nuclear factor kappa B. This kinase can also activate MAPK8/JNK, MAP2K4/MKK4, and thus plays a role in the cell response to environmental stresses. Four alternatively spliced transcript variants encoding distinct isoforms have been reported.
Product Categories/Family for anti-MAP3K7 antibody
NCBI and Uniprot Product Information
NCBI GI #
NCBI GeneID
NCBI Accession #
NCBI GenBank Nucleotide #
Molecular Weight
53,740 Da
NCBI Official Full Name
mitogen-activated protein kinase kinase kinase 7 isoform D
NCBI Official Synonym Full Names
mitogen-activated protein kinase kinase kinase 7
NCBI Official Symbol
MAP3K7
NCBI Official Synonym Symbols
CSCF; FMD2; TAK1; MEKK7; TGF1a
NCBI Protein Information
mitogen-activated protein kinase kinase kinase 7
UniProt Protein Name
Mitogen-activated protein kinase kinase kinase 7
UniProt Gene Name
MAP3K7
UniProt Synonym Gene Names
TAK1; TGF-beta-activated kinase 1
UniProt Entry Name
M3K7_HUMAN
Similar Products
Product Notes
The MAP3K7 map3k7 (Catalog #AAA173043) is an Antibody produced from Rabbit and is intended for research purposes only. The product is available for immediate purchase. The MAP3K7 Polyclonal Antibody reacts with Human, Mouse, Rat and may cross-react with other species as described in the data sheet. AAA Biotech's MAP3K7 can be used in a range of immunoassay formats including, but not limited to, IHC (Immunohistochemistry), ELISA. Researchers should empirically determine the suitability of the MAP3K7 map3k7 for an application not listed in the data sheet. Researchers commonly develop new applications and it is an integral, important part of the investigative research process. It is sometimes possible for the material contained within the vial of "MAP3K7, Polyclonal Antibody" to become dispersed throughout the inside of the vial, particularly around the seal of said vial, during shipment and storage. We always suggest centrifuging these vials to consolidate all of the liquid away from the lid and to the bottom of the vial prior to opening. Please be advised that certain products may require dry ice for shipping and that, if this is the case, an additional dry ice fee may also be required.Precautions
All products in the AAA Biotech catalog are strictly for research-use only, and are absolutely not suitable for use in any sort of medical, therapeutic, prophylactic, in-vivo, or diagnostic capacity. By purchasing a product from AAA Biotech, you are explicitly certifying that said products will be properly tested and used in line with industry standard. AAA Biotech and its authorized distribution partners reserve the right to refuse to fulfill any order if we have any indication that a purchaser may be intending to use a product outside of our accepted criteria.Disclaimer
Though we do strive to guarantee the information represented in this datasheet, AAA Biotech cannot be held responsible for any oversights or imprecisions. AAA Biotech reserves the right to adjust any aspect of this datasheet at any time and without notice. It is the responsibility of the customer to inform AAA Biotech of any product performance issues observed or experienced within 30 days of receipt of said product. To see additional details on this or any of our other policies, please see our Terms & Conditions page.Item has been added to Shopping Cart
If you are ready to order, navigate to Shopping Cart and get ready to checkout.
