Rabbit MAPRE1 Polyclonal Antibody | anti-MAPRE1 antibody
MAPRE1 Polyclonal Antibody
Gene Names
MAPRE1; EB1
Reactivity
Human, Mouse, Rat
Applications
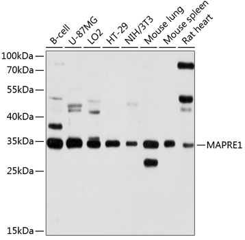
Immunofluorescence, Western Blot
Purity
Affinity purification
Synonyms
MAPRE1, Antibody; MAPRE1 Polyclonal Antibody; MAPRE1; EB1; microtubule-associated protein RP/EB family member 1; anti-MAPRE1 antibody
Host
Rabbit
Reactivity
Human, Mouse, Rat
Clonality
Polyclonal
Isotype
IgG
Purity/Purification
Affinity purification
Form/Format
PBS with 50% glycerol, pH7.4
Applicable Applications for anti-MAPRE1 antibody
IF (Immunofluorescence), WB (Western Blot)
Immunogen
Recombinant fusion protein of human MAPRE1 (NP_036457.1).
Conjugation
Unconjugated
Preparation and Storage
Store at -20 degree C. Avoid freeze/thaw cycles.
Related Product Information for anti-MAPRE1 antibody
The protein encoded by this gene was first identified by its binding to the APC protein which is often mutated in familial and sporadic forms of colorectal cancer. This protein localizes to microtubules, especially the growing ends, in interphase cells. During mitosis, the protein is associated with the centrosomes and spindle microtubules. The protein also associates with components of the dynactin complex and the intermediate chain of cytoplasmic dynein. Because of these associations, it is thought that this protein is involved in the regulation of microtubule structures and chromosome stability. This gene is a member of the RP/EB family.
Product Categories/Family for anti-MAPRE1 antibody
NCBI and Uniprot Product Information
NCBI GI #
NCBI GeneID
NCBI Accession #
NCBI GenBank Nucleotide #
Molecular Weight
29,999 Da
NCBI Official Full Name
microtubule-associated protein RP/EB family member 1
NCBI Official Synonym Full Names
microtubule-associated protein, RP/EB family, member 1
NCBI Official Symbol
MAPRE1
NCBI Official Synonym Symbols
EB1
NCBI Protein Information
microtubule-associated protein RP/EB family member 1; APC-binding protein EB1; adenomatous polyposis coli-binding protein EB1; end-binding protein 1
UniProt Protein Name
Microtubule-associated protein RP/EB family member 1
UniProt Gene Name
MAPRE1
UniProt Synonym Gene Names
EB1
UniProt Entry Name
MARE1_HUMAN
Customer Reviews
Loading reviews...
Share Your Experience
Similar Products
Product Notes
The MAPRE1 mapre1 (Catalog #AAA311322) is an Antibody produced from Rabbit and is intended for research purposes only. The product is available for immediate purchase. The MAPRE1 Polyclonal Antibody reacts with Human, Mouse, Rat and may cross-react with other species as described in the data sheet. AAA Biotech's MAPRE1 can be used in a range of immunoassay formats including, but not limited to, IF (Immunofluorescence), WB (Western Blot). Researchers should empirically determine the suitability of the MAPRE1 mapre1 for an application not listed in the data sheet. Researchers commonly develop new applications and it is an integral, important part of the investigative research process. It is sometimes possible for the material contained within the vial of "MAPRE1, Polyclonal Antibody" to become dispersed throughout the inside of the vial, particularly around the seal of said vial, during shipment and storage. We always suggest centrifuging these vials to consolidate all of the liquid away from the lid and to the bottom of the vial prior to opening. Please be advised that certain products may require dry ice for shipping and that, if this is the case, an additional dry ice fee may also be required.Precautions
All products in the AAA Biotech catalog are strictly for research-use only, and are absolutely not suitable for use in any sort of medical, therapeutic, prophylactic, in-vivo, or diagnostic capacity. By purchasing a product from AAA Biotech, you are explicitly certifying that said products will be properly tested and used in line with industry standard. AAA Biotech and its authorized distribution partners reserve the right to refuse to fulfill any order if we have any indication that a purchaser may be intending to use a product outside of our accepted criteria.Disclaimer
Though we do strive to guarantee the information represented in this datasheet, AAA Biotech cannot be held responsible for any oversights or imprecisions. AAA Biotech reserves the right to adjust any aspect of this datasheet at any time and without notice. It is the responsibility of the customer to inform AAA Biotech of any product performance issues observed or experienced within 30 days of receipt of said product. To see additional details on this or any of our other policies, please see our Terms & Conditions page.Item has been added to Shopping Cart
If you are ready to order, navigate to Shopping Cart and get ready to checkout.
