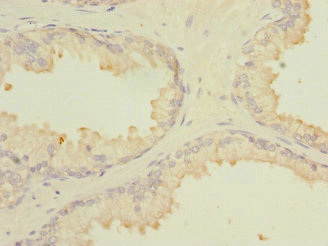
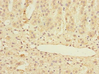
Rabbit anti-Human MARCKSL1 Polyclonal Antibody | anti-MARCKSL1 antibody
MARCKSL1 Antibody
Gene Names
MARCKSL1; F52; MLP; MRP; MLP1; MACMARCKS
Reactivity
Human
Applications
Immunohistochemistry, ELISA
Purity
Antigen Affinity Purified
Synonyms
MARCKSL1, Antibody; MARCKSL1 Antibody; MARCKS-related protein; MARCKS-like protein 1; Macrophage myristoylated alanine-rich C kinase substrate; Mac-MARCKS; MacMARCKS; MARCKSL1; MLP; MRP; anti-MARCKSL1 antibody
Host
Rabbit
Reactivity
Human
Clonality
Polyclonal
Isotype
IgG
Purity/Purification
Antigen Affinity Purified
Form/Format
Liquid
Sequence Length
195
Applicable Applications for anti-MARCKSL1 antibody
IHC (Immunohistochemistry), ELISA
Species
Human
Immunogen
Recombinant human MARCKS-related protein (1-195AA)
Conjugate
Non-conjugated
Buffer
PBS with 0.02% sodium azide, 50% glycerol, pH7.3.
Santa Cruz Alternative
Potential replacement for Santa Cruz Biotechnology antibody catalog# sc-161829 / sc-292783 / sc-130167
Preparation and Storage
Shipped at 4 degree C. Upon delivery aliquot and store at -20 degree C or -80 degree C. Avoid repeated freeze.
Related Product Information for anti-MARCKSL1 antibody
Controls cell movement by regulating actin cytoskeleton homeostasis and filopodium and lamellipodium formation. When unphosphorylated, induces cell migration. When phosphorylated by MAPK8, induces actin bundles formation and stabilization, thereby reducing actin plasticity, hence restricting cell movement, including neuronal migration. May also affect cancer cell migration. May be involved in coupling the protein kinase C and calmodulin signal transduction systems (By similarity).
NCBI and Uniprot Product Information
NCBI GI #
NCBI GeneID
NCBI Accession #
NCBI GenBank Nucleotide #
Molecular Weight
19,529 Da
NCBI Official Full Name
MARCKS-related protein
NCBI Official Synonym Full Names
MARCKS like 1
NCBI Official Symbol
MARCKSL1
NCBI Official Synonym Symbols
F52; MLP; MRP; MLP1; MACMARCKS
NCBI Protein Information
MARCKS-related protein
UniProt Protein Name
MARCKS-related protein
UniProt Gene Name
MARCKSL1
UniProt Synonym Gene Names
MLP; MRP; Mac-MARCKS; MacMARCKS
UniProt Entry Name
MRP_HUMAN
Customer Reviews
Loading reviews...
Share Your Experience
Similar Products
Product Notes
The MARCKSL1 marcksl1 (Catalog #AAA231953) is an Antibody produced from Rabbit and is intended for research purposes only. The product is available for immediate purchase. The MARCKSL1 Antibody reacts with Human and may cross-react with other species as described in the data sheet. AAA Biotech's MARCKSL1 can be used in a range of immunoassay formats including, but not limited to, IHC (Immunohistochemistry), ELISA. Researchers should empirically determine the suitability of the MARCKSL1 marcksl1 for an application not listed in the data sheet. Researchers commonly develop new applications and it is an integral, important part of the investigative research process. It is sometimes possible for the material contained within the vial of "MARCKSL1, Polyclonal Antibody" to become dispersed throughout the inside of the vial, particularly around the seal of said vial, during shipment and storage. We always suggest centrifuging these vials to consolidate all of the liquid away from the lid and to the bottom of the vial prior to opening. Please be advised that certain products may require dry ice for shipping and that, if this is the case, an additional dry ice fee may also be required.Precautions
All products in the AAA Biotech catalog are strictly for research-use only, and are absolutely not suitable for use in any sort of medical, therapeutic, prophylactic, in-vivo, or diagnostic capacity. By purchasing a product from AAA Biotech, you are explicitly certifying that said products will be properly tested and used in line with industry standard. AAA Biotech and its authorized distribution partners reserve the right to refuse to fulfill any order if we have any indication that a purchaser may be intending to use a product outside of our accepted criteria.Disclaimer
Though we do strive to guarantee the information represented in this datasheet, AAA Biotech cannot be held responsible for any oversights or imprecisions. AAA Biotech reserves the right to adjust any aspect of this datasheet at any time and without notice. It is the responsibility of the customer to inform AAA Biotech of any product performance issues observed or experienced within 30 days of receipt of said product. To see additional details on this or any of our other policies, please see our Terms & Conditions page.Item has been added to Shopping Cart
If you are ready to order, navigate to Shopping Cart and get ready to checkout.
