Rabbit MAT1A Polyclonal Antibody | anti-MAT1A antibody
MAT1A Polyclonal Antibody
Gene Names
MAT1A; MAT; SAMS; MATA1; SAMS1
Reactivity
Human, Mouse, Rat
Applications
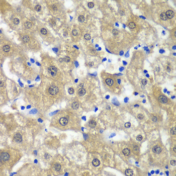
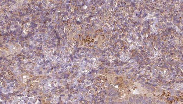
Immunohistochemistry, Western Blot
Purity
Affinity Purification
Synonyms
MAT1A , Antibody; MAT1A Polyclonal Antibody; MAT; SAMS; MATA1; SAMS1; anti-MAT1A antibody
Host
Rabbit
Reactivity
Human, Mouse, Rat
Clonality
Polyclonal
Isotype
IgG
Purity/Purification
Affinity Purification
Applicable Applications for anti-MAT1A antibody
IHC (Immunohistochemistry), WB (Western Blot)
Immunogen
Recombinant protein of human MAT1A
Buffer
PBS with 0.02% sodium azide, 50% glycerol, pH7.3
Santa Cruz Alternative
Potential replacement for Santa Cruz Biotechnology antibody catalog# sc-28029 / sc-133772
Preparation and Storage
Store at -20 degree C (regular) or -80 degree C (long term). Avoid freeze / thaw cycles. Buffer: PBS with 0.02% sodium azide, 50% glycerol, pH7.3.
Related Product Information for anti-MAT1A antibody
This gene catalyzes a two-step reaction that involves the transfer of the adenosyl moiety of ATP to methionine to form S-adenosylmethionine and tripolyphosphate, which is subsequently cleaved to PPi and Pi. S-adenosylmethionine is the source of methyl groups for most biological methylations. The encoded protein is found as a homotetramer (MAT I) or a homodimer (MAT III) whereas a third form, MAT II (gamma), is encoded by the MAT2A gene. Mutations in this gene are associated with methionine adenosyltransferase deficiency.
NCBI and Uniprot Product Information
NCBI GI #
NCBI GeneID
Molecular Weight
Calculated MW: 43kDa
NCBI Official Full Name
MAT1A, partial
NCBI Official Synonym Full Names
methionine adenosyltransferase 1A
NCBI Official Symbol
MAT1A
NCBI Official Synonym Symbols
MAT; SAMS; MATA1; SAMS1
NCBI Protein Information
S-adenosylmethionine synthase isoform type-1
UniProt Protein Name
S-adenosylmethionine synthase isoform type-1
UniProt Gene Name
MAT1A
UniProt Synonym Gene Names
AMS1; MATA1; AdoMet synthase 1; MAT 1; MAT-I/III
UniProt Entry Name
METK1_HUMAN
Customer Reviews
Loading reviews...
Share Your Experience
Similar Products
Product Notes
The MAT1A mat1a (Catalog #AAA171775) is an Antibody produced from Rabbit and is intended for research purposes only. The product is available for immediate purchase. The MAT1A Polyclonal Antibody reacts with Human, Mouse, Rat and may cross-react with other species as described in the data sheet. AAA Biotech's MAT1A can be used in a range of immunoassay formats including, but not limited to, IHC (Immunohistochemistry), WB (Western Blot). Researchers should empirically determine the suitability of the MAT1A mat1a for an application not listed in the data sheet. Researchers commonly develop new applications and it is an integral, important part of the investigative research process. It is sometimes possible for the material contained within the vial of "MAT1A , Polyclonal Antibody" to become dispersed throughout the inside of the vial, particularly around the seal of said vial, during shipment and storage. We always suggest centrifuging these vials to consolidate all of the liquid away from the lid and to the bottom of the vial prior to opening. Please be advised that certain products may require dry ice for shipping and that, if this is the case, an additional dry ice fee may also be required.Precautions
All products in the AAA Biotech catalog are strictly for research-use only, and are absolutely not suitable for use in any sort of medical, therapeutic, prophylactic, in-vivo, or diagnostic capacity. By purchasing a product from AAA Biotech, you are explicitly certifying that said products will be properly tested and used in line with industry standard. AAA Biotech and its authorized distribution partners reserve the right to refuse to fulfill any order if we have any indication that a purchaser may be intending to use a product outside of our accepted criteria.Disclaimer
Though we do strive to guarantee the information represented in this datasheet, AAA Biotech cannot be held responsible for any oversights or imprecisions. AAA Biotech reserves the right to adjust any aspect of this datasheet at any time and without notice. It is the responsibility of the customer to inform AAA Biotech of any product performance issues observed or experienced within 30 days of receipt of said product. To see additional details on this or any of our other policies, please see our Terms & Conditions page.Item has been added to Shopping Cart
If you are ready to order, navigate to Shopping Cart and get ready to checkout.
