Rabbit anti-Mouse, Rat MBP Polyclonal Antibody | anti-MBP antibody
MBP Polyclonal Antibody
Gene Names
Mbp; jve; mld; shi; Hmbpr; C76307; R75289; golli-mbp
Reactivity
Mouse, Rat
Applications
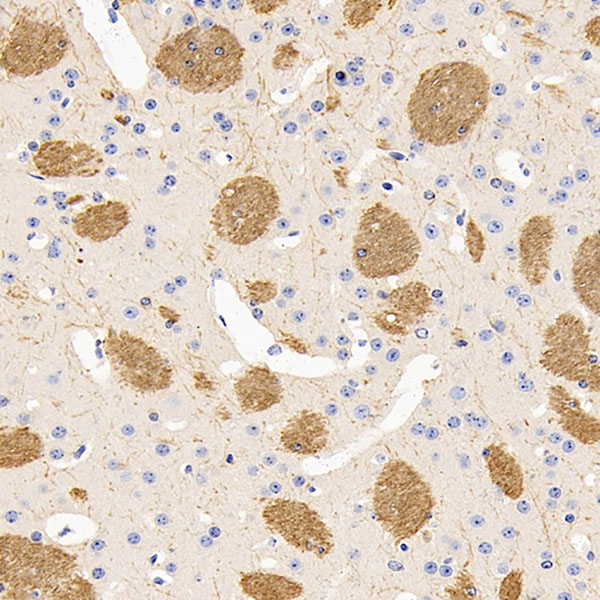
Immunohistochemistry
Purity
Affinity Purification
Synonyms
MBP, Antibody; MBP Polyclonal Antibody; GDB; Golli MBP; myelin basic protein; Hemopoietic MBP; HMBPR; HUGO; MBP; MBP_CAVPO; MGC99675; MLD; Myelin A1 protein; Myelin A1 Protein; basic; Myelin basic protein; Myelin Deficient; Myelin membrane encephalitogenic protein; OTTHUMP00000163776; OTTHUMP00000174387; OTTHUMP00000174388; SHI; Shiverer; SP; anti-MBP antibody
Host
Rabbit
Reactivity
Mouse, Rat
Clonality
Polyclonal
Isotype
IgG
Purity/Purification
Affinity Purification
Form/Format
PBS with 0.02% sodium azide, 100 mug/ml BSA and 50% glycerol.
Concentration
100 mug/mL (varies by lot)
Sequence Length
195
Applicable Applications for anti-MBP antibody
IHC (Immunohistochemistry)
Immunogen
Recombinant protein corresponding to Mouse Myelin Basic Protein
Conjugation
Unconjugated
Preparation and Storage
Store at -20 degree C. Avoid freeze/thaw cycles.
Related Product Information for anti-MBP antibody
MBP belongs to the myelin basic protein family. The classic group of MBP isoforms (isoform 4-isoform 14) are the most abundant protein components of the myelin membrane in the CNS. They have a role in both its formation and stabilization. The smaller isoforms might have an important role in remyelination of denuded axons in multiple sclerosis. The non-classic group of MBP isoforms (isoform 1-isoform 3/Golli-MBPs) may preferentially have a role in the early developing brain long before myelination, maybe as components of transcriptional complexes, and may also be involved in signaling pathways in T-cells and neural cells. MBP has six isoforms.
Product Categories/Family for anti-MBP antibody
NCBI and Uniprot Product Information
NCBI GI #
NCBI GeneID
NCBI Accession #
NCBI GenBank Nucleotide #
Molecular Weight
21,004 Da
NCBI Official Full Name
Golli-Mbp isoform 2
NCBI Official Synonym Full Names
myelin basic protein
NCBI Official Symbol
Mbp
NCBI Official Synonym Symbols
jve; mld; shi; Hmbpr; C76307; R75289; golli-mbp
NCBI Protein Information
myelin basic protein; Golli-Mbp
UniProt Protein Name
Myelin basic protein
UniProt Gene Name
Mbp
UniProt Synonym Gene Names
Shi; MBP
Customer Reviews
Loading reviews...
Share Your Experience
Similar Products
Product Notes
The MBP mbp (Catalog #AAA174518) is an Antibody produced from Rabbit and is intended for research purposes only. The product is available for immediate purchase. The MBP Polyclonal Antibody reacts with Mouse, Rat and may cross-react with other species as described in the data sheet. AAA Biotech's MBP can be used in a range of immunoassay formats including, but not limited to, IHC (Immunohistochemistry). Researchers should empirically determine the suitability of the MBP mbp for an application not listed in the data sheet. Researchers commonly develop new applications and it is an integral, important part of the investigative research process. It is sometimes possible for the material contained within the vial of "MBP, Polyclonal Antibody" to become dispersed throughout the inside of the vial, particularly around the seal of said vial, during shipment and storage. We always suggest centrifuging these vials to consolidate all of the liquid away from the lid and to the bottom of the vial prior to opening. Please be advised that certain products may require dry ice for shipping and that, if this is the case, an additional dry ice fee may also be required.Precautions
All products in the AAA Biotech catalog are strictly for research-use only, and are absolutely not suitable for use in any sort of medical, therapeutic, prophylactic, in-vivo, or diagnostic capacity. By purchasing a product from AAA Biotech, you are explicitly certifying that said products will be properly tested and used in line with industry standard. AAA Biotech and its authorized distribution partners reserve the right to refuse to fulfill any order if we have any indication that a purchaser may be intending to use a product outside of our accepted criteria.Disclaimer
Though we do strive to guarantee the information represented in this datasheet, AAA Biotech cannot be held responsible for any oversights or imprecisions. AAA Biotech reserves the right to adjust any aspect of this datasheet at any time and without notice. It is the responsibility of the customer to inform AAA Biotech of any product performance issues observed or experienced within 30 days of receipt of said product. To see additional details on this or any of our other policies, please see our Terms & Conditions page.Item has been added to Shopping Cart
If you are ready to order, navigate to Shopping Cart and get ready to checkout.
