Goat mCarmine Polyclonal Antibody
anti-mCarmine
Reactivity
Transfected cells, Red Fluorescent Protein
Applications
Immunohistochemistry, Immunohistochemistry, Immunofluorescence, Western Blot
Purity
Epitope affinity purified
Synonyms
mCarmine, Antibody; anti-mCarmine; far-Red antibody; anti-mCarmine antibody
Host
Goat
Reactivity
Transfected cells, Red Fluorescent Protein
Clonality
Polyclonal
Isotype
IgG
Specificity
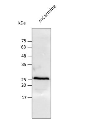
In lysates of transfected cells with the plasmid containing the fluorescent sequence, detects the recombinant protein by Western blot.
Purity/Purification
Epitope affinity purified
Form/Format
Polyclonal antibody supplied as a 100ul (3mg/ml) aliquot in PBS, 20% glycerol and 0.05% sodium azide. This antibody is epitope-affinity purified from goat antiserum.
Concentration
3mg/ml (varies by lot)
Applicable Applications for anti-mCarmine antibody
IEM (Immunoelectron Microscopy), IHC (Immunohistochemistry), IHC (Immunohistochemistry), IF (Immunofluorescence), WB (Western Blot)
Conjugation
Unconjugated
Immunogen
Affinity purified recombinant fluorescent protein (HIR78_01785 from Bacillus subtillis) and produced in E Coli.
Preparation and Storage
Store at -20 C for long-term storage. Store at 2-8 C for up to one month.
Related Product Information for anti-mCarmine antibody
Goat polyclonal antibody to mCarmine (Far Red fluorescent protein). mCarmine is a basic (constitutively fluorescent) far red fluorescent protein, monomeric engineered derivate of far-red fluorescent protein (RFP) isolated from members of the Entacmaea quadricolor. mCarmine is a ~28kDa protein that is optimally excited at a 603nm and has a maximum of emission at 675nm. This bright far-red fluorescent protein is used in research as a reporter to label and study the biology of the cell using whole body imaging.
Product Categories/Family for anti-mCarmine antibody
Customer Reviews
Loading reviews...
Share Your Experience
Similar Products
Product Notes
The mCarmine (Catalog #AAA63243) is an Antibody produced from Goat and is intended for research purposes only. The product is available for immediate purchase. The anti-mCarmine reacts with Transfected cells, Red Fluorescent Protein and may cross-react with other species as described in the data sheet. AAA Biotech's mCarmine can be used in a range of immunoassay formats including, but not limited to, IEM (Immunoelectron Microscopy), IHC (Immunohistochemistry), IHC (Immunohistochemistry), IF (Immunofluorescence), WB (Western Blot). Researchers should empirically determine the suitability of the mCarmine for an application not listed in the data sheet. Researchers commonly develop new applications and it is an integral, important part of the investigative research process. It is sometimes possible for the material contained within the vial of "mCarmine, Polyclonal Antibody" to become dispersed throughout the inside of the vial, particularly around the seal of said vial, during shipment and storage. We always suggest centrifuging these vials to consolidate all of the liquid away from the lid and to the bottom of the vial prior to opening. Please be advised that certain products may require dry ice for shipping and that, if this is the case, an additional dry ice fee may also be required.Precautions
All products in the AAA Biotech catalog are strictly for research-use only, and are absolutely not suitable for use in any sort of medical, therapeutic, prophylactic, in-vivo, or diagnostic capacity. By purchasing a product from AAA Biotech, you are explicitly certifying that said products will be properly tested and used in line with industry standard. AAA Biotech and its authorized distribution partners reserve the right to refuse to fulfill any order if we have any indication that a purchaser may be intending to use a product outside of our accepted criteria.Disclaimer
Though we do strive to guarantee the information represented in this datasheet, AAA Biotech cannot be held responsible for any oversights or imprecisions. AAA Biotech reserves the right to adjust any aspect of this datasheet at any time and without notice. It is the responsibility of the customer to inform AAA Biotech of any product performance issues observed or experienced within 30 days of receipt of said product. To see additional details on this or any of our other policies, please see our Terms & Conditions page.Item has been added to Shopping Cart
If you are ready to order, navigate to Shopping Cart and get ready to checkout.
