Rabbit MCM2 Polyclonal Antibody | anti-MCM2 antibody
Anti-MCM2 antibody
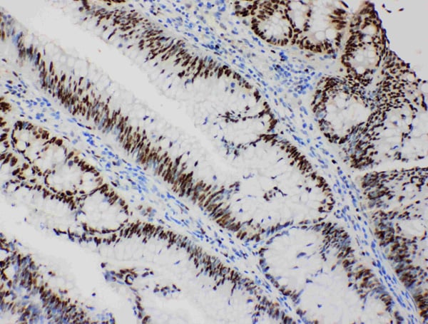
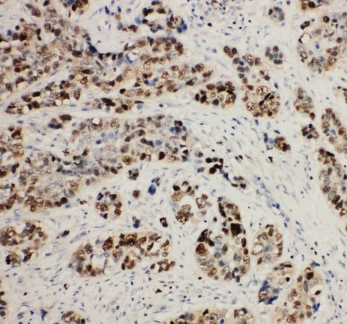
IHC (Immunohistochemisry)
(Anti-MCM2 antibody, AAA44967, IHC(P)IHC(P): Human Intestinal Cancer Tissue)
WB (Western Blot)
(Anti-MCM2 antibody, AAA44967, Western blottingLane 1: SW620 Cell LysateLane 2: PANC Cell LysateLane 3: JURKAT Cell LysateLane 4: HELA Cell Lysate)
Background: MCM2(MINICHROMOSOME MAINTENANCE, S. CEREVISIAE, HOMOLOG OF, 2),also known as MITOTIN, CDCL1 or BM28, is a human nuclear protein that plays an important role in 2 crucial steps of the cell cycle, namely, onset of DNA replication and cell division. And it is similar to members of the family of early S-phase proteins. The MCM2 gene is mapped to 3q21.3. The hexameric protein complex formed by MCM proteins is a key component of the pre-replication complex(pre-RC) and may be involved in the formation of replication forks and in the recruitment of other DNA replication related proteins. In the G0 stage, the MCM2 and MCM5 proteins were much less abundant than the MCM7 and MCM3 proteins, which suggests that the MCM proteins are not present in stoichiometric amounts and that only a proportion of these molecules actively participate in cell cycle regulation as part of MCM complexes.
NCBI and Uniprot Product Information
Customer Reviews
Loading reviews...
Share Your Experience
Similar Products
Product Notes
The MCM2 mcm2 (Catalog #AAA44967) is an Antibody produced from Rabbit and is intended for research purposes only. The product is available for immediate purchase. The Anti-MCM2 antibody reacts with Human, Mouse, Rat and may cross-react with other species as described in the data sheet. AAA Biotech's MCM2 can be used in a range of immunoassay formats including, but not limited to, ICC (Immunocytochemistry), IHC (Immunohistochemistry), WB (Western Blot). Researchers should empirically determine the suitability of the MCM2 mcm2 for an application not listed in the data sheet. Researchers commonly develop new applications and it is an integral, important part of the investigative research process. It is sometimes possible for the material contained within the vial of "MCM2, Polyclonal Antibody" to become dispersed throughout the inside of the vial, particularly around the seal of said vial, during shipment and storage. We always suggest centrifuging these vials to consolidate all of the liquid away from the lid and to the bottom of the vial prior to opening. Please be advised that certain products may require dry ice for shipping and that, if this is the case, an additional dry ice fee may also be required.Precautions
All products in the AAA Biotech catalog are strictly for research-use only, and are absolutely not suitable for use in any sort of medical, therapeutic, prophylactic, in-vivo, or diagnostic capacity. By purchasing a product from AAA Biotech, you are explicitly certifying that said products will be properly tested and used in line with industry standard. AAA Biotech and its authorized distribution partners reserve the right to refuse to fulfill any order if we have any indication that a purchaser may be intending to use a product outside of our accepted criteria.Disclaimer
Though we do strive to guarantee the information represented in this datasheet, AAA Biotech cannot be held responsible for any oversights or imprecisions. AAA Biotech reserves the right to adjust any aspect of this datasheet at any time and without notice. It is the responsibility of the customer to inform AAA Biotech of any product performance issues observed or experienced within 30 days of receipt of said product. To see additional details on this or any of our other policies, please see our Terms & Conditions page.Item has been added to Shopping Cart
If you are ready to order, navigate to Shopping Cart and get ready to checkout.
