Rabbit MDR3 Polyclonal Antibody | anti-MDR3 antibody
MDR3 Antibody
Gene Names
ABCB4; GBD1; ICP3; MDR2; MDR3; PGY3; ABC21; MDR2/3; PFIC-3
Reactivity
Human, MousePredicted: Pig, Bovine, Rabbit, Dog
Applications
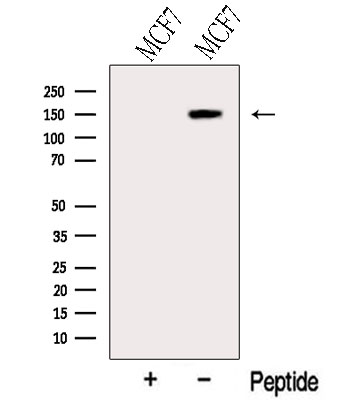
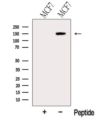
Western Blot
Purity
The antiserum was purified by peptide affinity chromatography using SulfoLink Coupling Resin (Thermo Fisher Scientific).
Synonyms
MDR3, Antibody; MDR3 Antibody; ABC 21; ABC B4; ABC21; ABCB 4; Abcb4; ABCB4 protein; ATP binding cassette sub family B MDR/TAP member 4; ATP binding cassette sub family B member 4; ATP-binding cassette sub-family B member 4; GBD1; ICP3; MDR 3; MDR2; MDR2/3; MDR3; MDR3 P glycoprotein; MDR3 P gp; MDR3_HUMAN; Multidrug resistance protein 3; Multiple drug resistance 3; P glycoprotein 3; P-glycoprotein 3; PFIC 3; PFIC3; PGY 3; PGY3; anti-MDR3 antibody
Host
Rabbit
Reactivity
Human, Mouse
Predicted: Pig, Bovine, Rabbit, Dog
Predicted: Pig, Bovine, Rabbit, Dog
Clonality
Polyclonal
Isotype
IgG
Specificity
MDR3 Antibody detects endogenous levels of MDR3.
Purity/Purification
The antiserum was purified by peptide affinity chromatography using SulfoLink Coupling Resin (Thermo Fisher Scientific).
Form/Format
Liquid; Phosphate buffered saline, pH 7.4, 150mM NaCl, 0.02% sodium azide and 50% glycerol.
Concentration
1mg/ml (varies by lot)
Sequence Length
1286
Applicable Applications for anti-MDR3 antibody
WB (Western Blot)
Immunogen
A synthesized peptide derived from human MDR3.
Tissue Specificity
Up-regulated by PPARA (PubMed:24122873). Up-regulated by compounds that cause peroxisome proliferation, such as fenofibrate (at protein level). Up-regulated by bezafibrate (PubMed:15258199). Up-regulated by compounds that cause peroxisome proliferation, such as fenofibrate, bezafibrate and gemfibrozil (PubMed:24122873).
Fragment
Fab Fragment
Conjugate
Unconjugated
Subcellular Location
Plasma Membrane
Preparation and Storage
Store at -20 degree C. Stable for 12 months from date of receipt.
Related Product Information for anti-MDR3 antibody
Description: Energy-dependent phospholipid efflux translocator that acts as a positive regulator of biliary lipid secretion. Functions as a floppase that translocates specifically phosphatidylcholine (PC) from the inner to the outer leaflet of the canalicular membrane bilayer into the canaliculi of hepatocytes. Translocation of PC makes the biliary phospholipids available for extraction into the canaliculi lumen by bile salt mixed micelles and therefore protects the biliary tree from the detergent activity of bile salts (PubMed:7957936, PubMed:8898203, PubMed:9366571, PubMed:17523162, PubMed:23468132, PubMed:24806754, PubMed:24723470, PubMed:24594635, PubMed:21820390). Plays a role in the recruitment of phosphatidylcholine (PC), phosphatidylethanolamine (PE) and sphingomyelin (SM) molecules to nonraft membranes and to fu rther enrichment of SM and cholesterol in raft membranes in hepatocytes (PubMed:23468132). Required for proper phospholipid bile formation (By similarity). Indirectly involved in cholesterol efflux activity from hepatocytes into the canalicular lumen in the presence of bile salts in an ATP-dependent manner (PubMed:24045840). Promotes biliary phospholipid secretion as canaliculi-containing vesicles from the canalicular plasma membrane (PubMed:9366571, PubMed:28012258). In cooperation with ATP8B1, functions to protect hepatocytes from the deleterious detergent activity of bile salts (PubMed:21820390). Does not confer multidrug resistance (By similarity).
Post Translational Modifications: Phosphorylated (PubMed:24723470). Phosphorylation on Thr-34 is required for PC efflux activity. Phosphorylation occurs on serine and threonine residues in a protein kinase A- or C-dependent manner (PubMed:24723470). May be phosphorylated on Thr-44 and Ser-49 (PubMed:24723470). Glycosylated (PubMed:17523162, PubMed:24723470, PubMed:21820390).
Subunit Structure: May interact with RACK1 (PubMed:19674157). Interacts with HAX1 (By similarity).
Similarity: Belongs to the ABC transporter superfamily. ABCB family. Multidrug resistance exporter (TC 3.A.1.201) subfamily.
Post Translational Modifications: Phosphorylated (PubMed:24723470). Phosphorylation on Thr-34 is required for PC efflux activity. Phosphorylation occurs on serine and threonine residues in a protein kinase A- or C-dependent manner (PubMed:24723470). May be phosphorylated on Thr-44 and Ser-49 (PubMed:24723470). Glycosylated (PubMed:17523162, PubMed:24723470, PubMed:21820390).
Subunit Structure: May interact with RACK1 (PubMed:19674157). Interacts with HAX1 (By similarity).
Similarity: Belongs to the ABC transporter superfamily. ABCB family. Multidrug resistance exporter (TC 3.A.1.201) subfamily.
NCBI and Uniprot Product Information
NCBI GI #
NCBI GeneID
UniProt Accession #
Molecular Weight
Observed: 142 kDa
Predicted: 142 kDa
Predicted: 142 kDa
NCBI Official Full Name
Phosphatidylcholine translocator ABCB4
NCBI Official Synonym Full Names
ATP binding cassette subfamily B member 4
NCBI Official Symbol
ABCB4
NCBI Official Synonym Symbols
GBD1; ICP3; MDR2; MDR3; PGY3; ABC21; MDR2/3; PFIC-3
NCBI Protein Information
phosphatidylcholine translocator ABCB4
UniProt Protein Name
Multidrug resistance protein 3
UniProt Gene Name
ABCB4
UniProt Synonym Gene Names
MDR3; PGY3
UniProt Entry Name
MDR3_HUMAN
Customer Reviews
Loading reviews...
Share Your Experience
Similar Products
Product Notes
The MDR3 abcb4 (Catalog #AAA328615) is an Antibody produced from Rabbit and is intended for research purposes only. The product is available for immediate purchase. The MDR3 Antibody reacts with Human, Mouse Predicted: Pig, Bovine, Rabbit, Dog and may cross-react with other species as described in the data sheet. AAA Biotech's MDR3 can be used in a range of immunoassay formats including, but not limited to, WB (Western Blot). Researchers should empirically determine the suitability of the MDR3 abcb4 for an application not listed in the data sheet. Researchers commonly develop new applications and it is an integral, important part of the investigative research process. It is sometimes possible for the material contained within the vial of "MDR3, Polyclonal Antibody" to become dispersed throughout the inside of the vial, particularly around the seal of said vial, during shipment and storage. We always suggest centrifuging these vials to consolidate all of the liquid away from the lid and to the bottom of the vial prior to opening. Please be advised that certain products may require dry ice for shipping and that, if this is the case, an additional dry ice fee may also be required.Precautions
All products in the AAA Biotech catalog are strictly for research-use only, and are absolutely not suitable for use in any sort of medical, therapeutic, prophylactic, in-vivo, or diagnostic capacity. By purchasing a product from AAA Biotech, you are explicitly certifying that said products will be properly tested and used in line with industry standard. AAA Biotech and its authorized distribution partners reserve the right to refuse to fulfill any order if we have any indication that a purchaser may be intending to use a product outside of our accepted criteria.Disclaimer
Though we do strive to guarantee the information represented in this datasheet, AAA Biotech cannot be held responsible for any oversights or imprecisions. AAA Biotech reserves the right to adjust any aspect of this datasheet at any time and without notice. It is the responsibility of the customer to inform AAA Biotech of any product performance issues observed or experienced within 30 days of receipt of said product. To see additional details on this or any of our other policies, please see our Terms & Conditions page.Item has been added to Shopping Cart
If you are ready to order, navigate to Shopping Cart and get ready to checkout.
