Rabbit MEF2A Polyclonal Antibody | anti-MEF2A antibody
Phospho-MEF2A (Ser479) Antibody
Predicted: Pig, Bovine, Horse, Sheep, Rabbit, Dog, Chicken, Xenopus
Predicted: Pig, Bovine, Horse, Sheep, Rabbit, Dog, Chicken, Xenopus
WB (Western Blot)
(Western blot analysis of Phospho-MEF2A (Ser479) in lysates of HeLa , using Phospho-MEF2A (Ser479) Antibody.)
IHC (Immunohistochemistry)
(At 1/100 staining human gastric cancer tissue sections by IHC-P. The tissue was formaldehyde fixed and a heat mediated antigen retrieval step in citrate buffer was performed. The tissue was then blocked and incubated with the antibody for 1.5 hours at 22 degree C. An HRP conjugated goat anti-rabbit antibody was used as the secondary)
IHC (Immunohistochemisry)
(At 1/100 staining rat brain tissue sections by IHC-P. The tissue was formaldehyde fixed and a heat mediated antigen retrieval step in citrate buffer was performed. The tissue was then blocked and incubated with the antibody for 1.5 hours at 22 degree C. An HRP conjugated goat anti-rabbit antibody was used as the secondary)
IHC (Immunohiostchemistry)
(At 1/100 staining rat heart tissue sections by IHC-P. The tissue was formaldehyde fixed and a heat mediated antigen retrieval step in citrate buffer was performed. The tissue was then blocked and incubated with the antibody for 1.5 hours at 22 degree C. An HRP conjugated goat anti-rabbit antibody was used as the secondary)
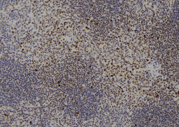
IHC (Immunohistochemistry)
(At 1/100 staining mouse spleen tissue sections by IHC-P. The tissue was formaldehyde fixed and a heat mediated antigen retrieval step in citrate buffer was performed. The tissue was then blocked and incubated with the antibody for 1.5 hours at 22 degree C. An HRP conjugated goat anti-rabbit antibody was used as the secondary)
Post Translational Modifications: Constitutive phosphorylation on Ser-408 promotes Lys-403 sumoylation thus preventing acetylation at this site. Dephosphorylation on Ser-408 by PPP3CA upon neuron depolarization promotes a switch from sumoylation to acetylation on residue Lys-403 leading to inhibition of dendrite claw differentiation. Phosphorylation on Thr-312 and Thr-319 are the main sites involved in p38 MAPK signaling and activate transcription. Phosphorylated on these sites by MAPK14/p38alpha and MAPK11/p38beta, but not by MAPK13/p38delta nor by MAPK12/p38gamma. Phosphorylation on Ser-408 by CDK5 induced by neurotoxicity inhibits MEF2A transcriptional activation leading to apoptosis of cortical neurons. Phosphorylation on Thr-312, Thr-319 and Ser-355 can be induced by EGF. Sumoylation on Lys-403 is enhanced by PIAS1 and represses transcriptional activity. Phosphorylation on Ser-408 is required for sumoylation. Has no effect on nuclear location nor on DNA binding. Sumoylated with SUMO1 and, to a lesser extent with SUMO2 and SUMO3. PIASx facilitates sumoylation in postsynaptic dendrites in the cerebellar cortex and promotes their morphogenesis (By similarity). Acetylation on Lys-403 activates transcriptional activity. Acetylated by p300 on several sites in diffentiating myocytes. Acetylation on Lys-4 increases DNA binding and transactivation (By similarity). Hyperacetylation by p300 leads to enhanced cardiac myocyte growth and heart failure. Proteolytically cleaved in cerebellar granule neurons on several sites by caspase 3 and caspase 7 following neurotoxicity. Preferentially cleaves the CDK5-mediated hyperphosphorylated form which leads to neuron apoptosis and transcriptional inactivation.
Subunit Structure: Binds DNA as a homo- or heterodimer. Dimerizes with MEF2D. Interacts with HDAC7 (By similarity). Interacts with PIAS1; the interaction enhances sumoylation. Interacts with HDAC4, HDAC9 and SLC2A4RG. Interacts (via the N-terminal) with MAPK7; the interaction results in the phosphorylation and transcriptional activity of MEF2A.
Similarity: Belongs to the MEF2 family.
NCBI and Uniprot Product Information
Predicted: 55 kDa
Customer Reviews
Loading reviews...
Share Your Experience
Similar Products
Product Notes
The MEF2A mef2a (Catalog #AAA328482) is an Antibody produced from Rabbit and is intended for research purposes only. The product is available for immediate purchase. The Phospho-MEF2A (Ser479) Antibody reacts with Human, Mouse, Rat Predicted: Pig, Bovine, Horse, Sheep, Rabbit, Dog, Chicken, Xenopus and may cross-react with other species as described in the data sheet. AAA Biotech's MEF2A can be used in a range of immunoassay formats including, but not limited to, ELISA (Peptide ELISA), IHC (Immunohistochemistry), WB (Western Blot). Researchers should empirically determine the suitability of the MEF2A mef2a for an application not listed in the data sheet. Researchers commonly develop new applications and it is an integral, important part of the investigative research process. It is sometimes possible for the material contained within the vial of "MEF2A, Polyclonal Antibody" to become dispersed throughout the inside of the vial, particularly around the seal of said vial, during shipment and storage. We always suggest centrifuging these vials to consolidate all of the liquid away from the lid and to the bottom of the vial prior to opening. Please be advised that certain products may require dry ice for shipping and that, if this is the case, an additional dry ice fee may also be required.Precautions
All products in the AAA Biotech catalog are strictly for research-use only, and are absolutely not suitable for use in any sort of medical, therapeutic, prophylactic, in-vivo, or diagnostic capacity. By purchasing a product from AAA Biotech, you are explicitly certifying that said products will be properly tested and used in line with industry standard. AAA Biotech and its authorized distribution partners reserve the right to refuse to fulfill any order if we have any indication that a purchaser may be intending to use a product outside of our accepted criteria.Disclaimer
Though we do strive to guarantee the information represented in this datasheet, AAA Biotech cannot be held responsible for any oversights or imprecisions. AAA Biotech reserves the right to adjust any aspect of this datasheet at any time and without notice. It is the responsibility of the customer to inform AAA Biotech of any product performance issues observed or experienced within 30 days of receipt of said product. To see additional details on this or any of our other policies, please see our Terms & Conditions page.Item has been added to Shopping Cart
If you are ready to order, navigate to Shopping Cart and get ready to checkout.
