Rabbit anti-Mouse, Rat MEKK3 Polyclonal Antibody | anti-MAP3K3 antibody
Anti-MEKK3 antibody
WB (Western Blot)
(Anti-MEKK3 antibody, AAA45365, Western blottingAll lanes: Anti MAP3K3 (AAA45365) at 0.5ug/mlLane 1: Rat Brain Tissue Lysate at 50ugLane 2: Mouse Brain Tissue Lysate at 50ugPredicted bind size: 71KDObserved bind size: 71KD)
Background: MAP3K3(Mitogen-activated protein kinase kinase kinase 3), also known as MAP/ERK KINASE KINASE 3, MEKK3 or MAPKKK3, is an enzyme that in humans is encoded by the MAP3K3 gene. MAP3K3 is contiguously distal to LYK5 on chromosome 17(Puffenberger et al., 2007). By yeast 2-hybrid analysis of a mouse T-cell cDNA library, Uhlik et al.(2003) showed that a C-terminal fragment of mouse Osm(CCM2) interacted with Mekk3, which activates p38 in response to sorbitol-induced hyperosmotic conditions. Mekk3 and Osm colocalized in the cytoplasmic compartment of cotransfected cells, and the Mekk3-Osm complex was recruited to Rac1 and cytoskeletal actin-containing membrane ruffles in response to sorbitol treatment. Protein interaction assays showed that Osm interacted directly with the Mekk3 substrate Mkk3(MAP2K3), with actin, and with both GDP- and GTP-loaded Rac1. Uhlik et al.(2003) concluded that the RAC1-OSM-MEKK3-MKK3 complex is required for regulation of p38 activity in response to osmotic shock.
NCBI and Uniprot Product Information
Customer Reviews
Loading reviews...
Share Your Experience
Similar Products
Product Notes
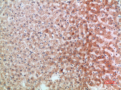
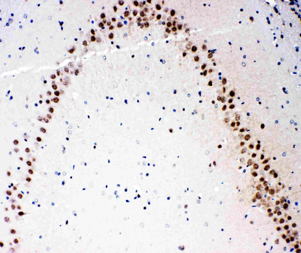
The MAP3K3 map3k3 (Catalog #AAA45365) is an Antibody produced from Rabbit and is intended for research purposes only. The product is available for immediate purchase. The Anti-MEKK3 antibody reacts with Mouse, Rat and may cross-react with other species as described in the data sheet. AAA Biotech's MEKK3 can be used in a range of immunoassay formats including, but not limited to, IHC (Immunohistochemistry), WB (Western Blot). Researchers should empirically determine the suitability of the MAP3K3 map3k3 for an application not listed in the data sheet. Researchers commonly develop new applications and it is an integral, important part of the investigative research process. It is sometimes possible for the material contained within the vial of "MEKK3, Polyclonal Antibody" to become dispersed throughout the inside of the vial, particularly around the seal of said vial, during shipment and storage. We always suggest centrifuging these vials to consolidate all of the liquid away from the lid and to the bottom of the vial prior to opening. Please be advised that certain products may require dry ice for shipping and that, if this is the case, an additional dry ice fee may also be required.Precautions
All products in the AAA Biotech catalog are strictly for research-use only, and are absolutely not suitable for use in any sort of medical, therapeutic, prophylactic, in-vivo, or diagnostic capacity. By purchasing a product from AAA Biotech, you are explicitly certifying that said products will be properly tested and used in line with industry standard. AAA Biotech and its authorized distribution partners reserve the right to refuse to fulfill any order if we have any indication that a purchaser may be intending to use a product outside of our accepted criteria.Disclaimer
Though we do strive to guarantee the information represented in this datasheet, AAA Biotech cannot be held responsible for any oversights or imprecisions. AAA Biotech reserves the right to adjust any aspect of this datasheet at any time and without notice. It is the responsibility of the customer to inform AAA Biotech of any product performance issues observed or experienced within 30 days of receipt of said product. To see additional details on this or any of our other policies, please see our Terms & Conditions page.Item has been added to Shopping Cart
If you are ready to order, navigate to Shopping Cart and get ready to checkout.
