Rabbit MGAT1 Polyclonal Antibody | anti-MGAT1 antibody
MGAT1 Antibody
Predicted: Pig, Zebrafish, Bovine, Horse, Sheep, Dog
Predicted: Pig, Zebrafish, Bovine, Horse, Sheep, Dog
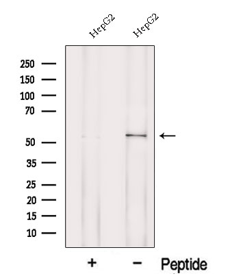
WB (Western Blot)
(Western blot analysis of extracts from HepG2 cells, using MGAT1 Antibody. The lane on the left was treated with blocking peptide.)
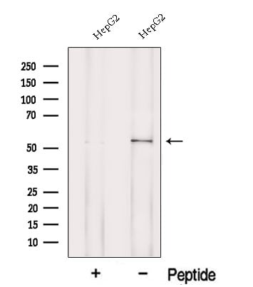
WB (Western Blot)
(Western blot analysis of extracts from Myeloma cells, using MGAT1 Antibody. The lane on the left was treated with blocking peptide.)
Subunit Structure: Interacts with DAG1 (via O-linked mannose moiety) (PubMed:27493216). Interacts (via transmembrane domain) with FKTN; the interaction is direct and is required for normal location in Golgi membranes (PubMed:17034757).
Similarity: Amino acid residues between 299-311 are important for both protein expression and enzymatic activity. The minimal catalytic domain is located between positions 299-651. Single amino acid substitutions in the stem domain from MEB patients abolished the activity of the membrane-bound form but not the soluble form. This suggests that the stem domain of the soluble form is unnecessary for activity, but that some amino acids play a crucial role in the membrane-bound form. The stem domain mediates specific interaction with beta-linked N-acetylglucosamine moieties of O-glycosylated proteins. It also interacts with its product, N-acetyl-beta-D-glucosaminyl-(1->2)-O-alpha-D-mannosylprotein. Belongs to the glycosyltransferase 13 family.
NCBI and Uniprot Product Information
Predicted: 76 kDa
Customer Reviews
Loading reviews...
Share Your Experience
Similar Products
Product Notes
The MGAT1 pomgnt1 (Catalog #AAA328684) is an Antibody produced from Rabbit and is intended for research purposes only. The product is available for immediate purchase. The MGAT1 Antibody reacts with Human, Mouse, Rat Predicted: Pig, Zebrafish, Bovine, Horse, Sheep, Dog and may cross-react with other species as described in the data sheet. AAA Biotech's MGAT1 can be used in a range of immunoassay formats including, but not limited to, WB (Western Blot). Researchers should empirically determine the suitability of the MGAT1 pomgnt1 for an application not listed in the data sheet. Researchers commonly develop new applications and it is an integral, important part of the investigative research process. It is sometimes possible for the material contained within the vial of "MGAT1, Polyclonal Antibody" to become dispersed throughout the inside of the vial, particularly around the seal of said vial, during shipment and storage. We always suggest centrifuging these vials to consolidate all of the liquid away from the lid and to the bottom of the vial prior to opening. Please be advised that certain products may require dry ice for shipping and that, if this is the case, an additional dry ice fee may also be required.Precautions
All products in the AAA Biotech catalog are strictly for research-use only, and are absolutely not suitable for use in any sort of medical, therapeutic, prophylactic, in-vivo, or diagnostic capacity. By purchasing a product from AAA Biotech, you are explicitly certifying that said products will be properly tested and used in line with industry standard. AAA Biotech and its authorized distribution partners reserve the right to refuse to fulfill any order if we have any indication that a purchaser may be intending to use a product outside of our accepted criteria.Disclaimer
Though we do strive to guarantee the information represented in this datasheet, AAA Biotech cannot be held responsible for any oversights or imprecisions. AAA Biotech reserves the right to adjust any aspect of this datasheet at any time and without notice. It is the responsibility of the customer to inform AAA Biotech of any product performance issues observed or experienced within 30 days of receipt of said product. To see additional details on this or any of our other policies, please see our Terms & Conditions page.Item has been added to Shopping Cart
If you are ready to order, navigate to Shopping Cart and get ready to checkout.
