Rabbit MGP Polyclonal Antibody | anti-MGP antibody
Anti-MGP Antibody
No cross reactivity with other proteins.
No cross reactivity with other proteins.
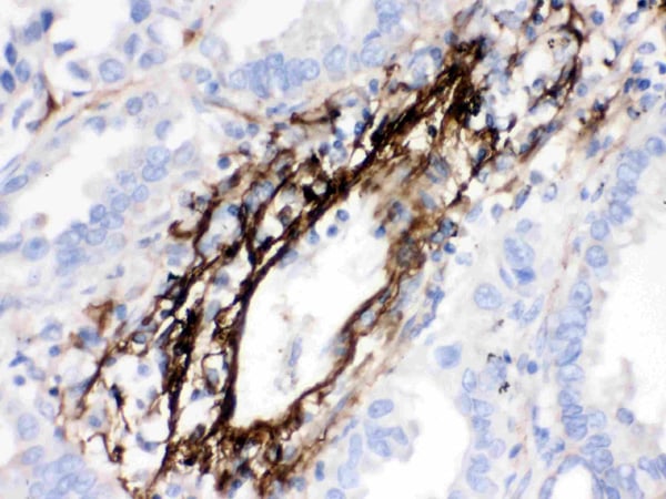
IHC (Immunohiostchemistry)
(MGP was detected in paraffin-embedded sections of human lung cancer tissues using rabbit anti- MGP Antigen Affinity purified polyclonal antibody at 1ug/mL. The immunohistochemical section was developed using SABC method.)
WB (Western Blot)
(Western blot analysis of MGP expression in JURKAT whole cell lysates (lane 1). MGP at 12KD was detected using rabbit anti- MGP Antigen Affinity purified polyclonal antibody at 0.5 ug/mL. The blot was developed using chemiluminescence (ECL) method.)
Background: Matrix Gla protein (MGP) is an 84-residue vitamin K-dependent protein initially isolated from bovine bone. In addition, MGP is a 10-kD protein produced and secreted by vascular smooth muscle cells and chondrocytes and significantly accumulated in bone, cartilage, and dentin. It is also expressed at high levels in heart, kidney, and lung and is upregulated by vitamin D in bone cells. MGP has a high affinity binding to calcium ions, similar to other Gla-containing proteins. The protein acts as an inhibitor of vascular mineralization and plays a role in bone organization. And this gene is mapped to 12p12.3.
2. Luo G, Ducy P, McKee MD, Pinero GJ, Loyer E, Behringer RR, Karsenty G (March 1997). "Spontaneous calcification of arteries and cartilage in mice lacking matrix GLA protein". Nature 386 (6620): 78-81.
3. Yao Y, Jumabay M, Ly A, Radparvar M, Cubberly MR, Boström KI (2013). "A role for the endothelium in vascular calcification". Circ. Res. 113 (5): 495-504.
NCBI and Uniprot Product Information
Customer Reviews
Loading reviews...
Share Your Experience
Similar Products
Product Notes
The MGP mgp (Catalog #AAA46622) is an Antibody produced from Rabbit and is intended for research purposes only. The product is available for immediate purchase. The Anti-MGP Antibody reacts with Human No cross reactivity with other proteins. and may cross-react with other species as described in the data sheet. AAA Biotech's MGP can be used in a range of immunoassay formats including, but not limited to, IHC (Immunohistochemistry), WB (Western Blot). Researchers should empirically determine the suitability of the MGP mgp for an application not listed in the data sheet. Researchers commonly develop new applications and it is an integral, important part of the investigative research process. It is sometimes possible for the material contained within the vial of "MGP, Polyclonal Antibody" to become dispersed throughout the inside of the vial, particularly around the seal of said vial, during shipment and storage. We always suggest centrifuging these vials to consolidate all of the liquid away from the lid and to the bottom of the vial prior to opening. Please be advised that certain products may require dry ice for shipping and that, if this is the case, an additional dry ice fee may also be required.Precautions
All products in the AAA Biotech catalog are strictly for research-use only, and are absolutely not suitable for use in any sort of medical, therapeutic, prophylactic, in-vivo, or diagnostic capacity. By purchasing a product from AAA Biotech, you are explicitly certifying that said products will be properly tested and used in line with industry standard. AAA Biotech and its authorized distribution partners reserve the right to refuse to fulfill any order if we have any indication that a purchaser may be intending to use a product outside of our accepted criteria.Disclaimer
Though we do strive to guarantee the information represented in this datasheet, AAA Biotech cannot be held responsible for any oversights or imprecisions. AAA Biotech reserves the right to adjust any aspect of this datasheet at any time and without notice. It is the responsibility of the customer to inform AAA Biotech of any product performance issues observed or experienced within 30 days of receipt of said product. To see additional details on this or any of our other policies, please see our Terms & Conditions page.Item has been added to Shopping Cart
If you are ready to order, navigate to Shopping Cart and get ready to checkout.
