Rabbit anti-Human, Mouse MICAL1 Polyclonal Antibody | anti-MICAL1 antibody
MICAL1 Antibody
Phosphate buffered saline, pH 7.4, 150mM NaCl, 0.02% sodium azide and 50% glycerol.
IHC (Immunohistochemistry)
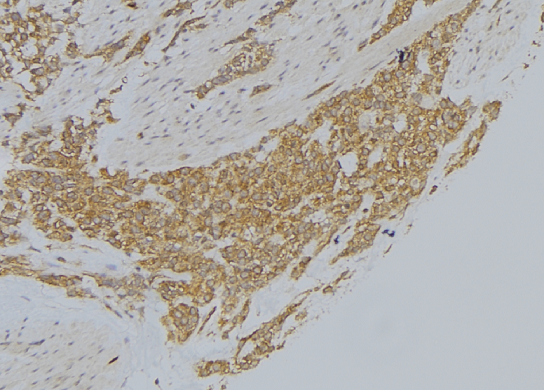
(AAA322988 at 1/100 staining Human lung tissue by IHC-P. The sample was formaldehyde fixed and a heat mediated antigen retrieval step in citrate buffer was performed. The sample was then blocked and incubated with the antibody for 1.5 hours at 22 degree C. An HRP conjugated goat anti-rabbit antibody was used as the secondary.)
Subunit Structure: Interacts with STK38 and STK38L (By similarity). Interacts with RAB1B, RAB8A, RAB10, RAB13 and RAB15 (in their GTP-bound forms); binding to RAB1B is of low affinity compared to other Rab proteins; at least in case of RAB8A and RAB10 can bind 2 molecules of the Rab proteins simultaneously; ternary complex formation of RAB8A, RAB13 and MICAL1 is possible. Associates with the SH3 domain of NEDD9. Interacts with VIM and PLXNA3. Interacts with RAB1B.
Similarity: The bivalent Mical/EHBP Rab binding (bMERB) domain, mediates binding to predominantly Rab8, Rab10, Rab10, Rab13 and Rab15 (in their GTP-bound forms).The C-terminal coiled coil part contains the plexin-interacting region. Belongs to the Mical family.
NCBI and Uniprot Product Information
Predicted: 118 kDa
Customer Reviews
Loading reviews...
Share Your Experience
Similar Products
Product Notes
The MICAL1 mical1 (Catalog #AAA322988) is an Antibody produced from Rabbit and is intended for research purposes only. The product is available for immediate purchase. The MICAL1 Antibody reacts with Human, Mouse and may cross-react with other species as described in the data sheet. AAA Biotech's MICAL1 can be used in a range of immunoassay formats including, but not limited to, IHC (Immunohistochemistry), WB (Western Blot). Researchers should empirically determine the suitability of the MICAL1 mical1 for an application not listed in the data sheet. Researchers commonly develop new applications and it is an integral, important part of the investigative research process. It is sometimes possible for the material contained within the vial of "MICAL1, Polyclonal Antibody" to become dispersed throughout the inside of the vial, particularly around the seal of said vial, during shipment and storage. We always suggest centrifuging these vials to consolidate all of the liquid away from the lid and to the bottom of the vial prior to opening. Please be advised that certain products may require dry ice for shipping and that, if this is the case, an additional dry ice fee may also be required.Precautions
All products in the AAA Biotech catalog are strictly for research-use only, and are absolutely not suitable for use in any sort of medical, therapeutic, prophylactic, in-vivo, or diagnostic capacity. By purchasing a product from AAA Biotech, you are explicitly certifying that said products will be properly tested and used in line with industry standard. AAA Biotech and its authorized distribution partners reserve the right to refuse to fulfill any order if we have any indication that a purchaser may be intending to use a product outside of our accepted criteria.Disclaimer
Though we do strive to guarantee the information represented in this datasheet, AAA Biotech cannot be held responsible for any oversights or imprecisions. AAA Biotech reserves the right to adjust any aspect of this datasheet at any time and without notice. It is the responsibility of the customer to inform AAA Biotech of any product performance issues observed or experienced within 30 days of receipt of said product. To see additional details on this or any of our other policies, please see our Terms & Conditions page.Item has been added to Shopping Cart
If you are ready to order, navigate to Shopping Cart and get ready to checkout.
