Rabbit anti-Human Mini-chromosome maintenance complex-binding protein Polyclonal Antibody | anti-MCMBP antibody
Rabbit anti-human Mini-chromosome maintenance complex-binding protein polyclonal Antibody(MCMBP)
Gene Names
MCMBP; MCM-BP; C10orf119
Reactivity
Human
Applications
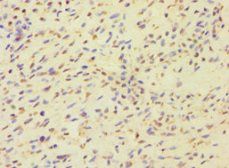
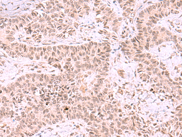
Immunohistochemistry, ELISA
Purity
Antigen Affinity Purified
Synonyms
Mini-chromosome maintenance complex-binding protein, Antibody; Rabbit anti-human Mini-chromosome maintenance complex-binding protein polyclonal Antibody(MCMBP); MCM-BP; MCM-binding protein; MCMBP; anti-MCMBP antibody
Host
Rabbit
Reactivity
Human
Clonality
Polyclonal
Isotype
IgG
Purity/Purification
Antigen Affinity Purified
Sequence Length
640
Applicable Applications for anti-MCMBP antibody
IHC (Immunohistochemistry), ELISA
Storage Buffer
PBS with 0.02% sodium azide, 50% glycerol, pH7.3.
Conjugate
Non-conjugated
Immunogen
Recombinant human Mini-chromosome maintenance complex-binding protein protein (1-240aa)
Preparation and Storage
Shipped at 4 degree C. Upon delivery aliquot and store at -20 degree C or -80 degree C. Avoid repeated freeze.
Related Product Information for anti-MCMBP antibody
Associated component of the MCM complex that acts as a regulator of DNA replication. Binds to the MCM complex during late S phase and promotes the disassembly of the MCM complex from chromatin, thereby acting as a key regulator of pre-replication complex (pre-RC) unloading from replicated DNA. Can dissociate the MCM complex without addition of ATP; probably acts by destabilizing interactions of each individual subunits of the MCM complex. Required for sister chromatid cohesion.
NCBI and Uniprot Product Information
NCBI GI #
NCBI GeneID
NCBI Accession #
NCBI GenBank Nucleotide #
Molecular Weight
52,652 Da
NCBI Official Full Name
mini-chromosome maintenance complex-binding protein isoform 2
NCBI Official Synonym Full Names
minichromosome maintenance complex binding protein
NCBI Official Symbol
MCMBP
NCBI Official Synonym Symbols
MCM-BP; C10orf119
NCBI Protein Information
mini-chromosome maintenance complex-binding protein
UniProt Protein Name
Mini-chromosome maintenance complex-binding protein
UniProt Gene Name
MCMBP
UniProt Synonym Gene Names
C10orf119; MCM-BP; MCM-binding protein
UniProt Entry Name
MCMBP_HUMAN
Customer Reviews
Loading reviews...
Share Your Experience
Similar Products
Product Notes
The MCMBP mcmbp (Catalog #AAA118264) is an Antibody produced from Rabbit and is intended for research purposes only. The product is available for immediate purchase. The Rabbit anti-human Mini-chromosome maintenance complex-binding protein polyclonal Antibody(MCMBP) reacts with Human and may cross-react with other species as described in the data sheet. AAA Biotech's Mini-chromosome maintenance complex-binding protein can be used in a range of immunoassay formats including, but not limited to, IHC (Immunohistochemistry), ELISA. Researchers should empirically determine the suitability of the MCMBP mcmbp for an application not listed in the data sheet. Researchers commonly develop new applications and it is an integral, important part of the investigative research process. It is sometimes possible for the material contained within the vial of "Mini-chromosome maintenance complex-binding protein, Polyclonal Antibody" to become dispersed throughout the inside of the vial, particularly around the seal of said vial, during shipment and storage. We always suggest centrifuging these vials to consolidate all of the liquid away from the lid and to the bottom of the vial prior to opening. Please be advised that certain products may require dry ice for shipping and that, if this is the case, an additional dry ice fee may also be required.Precautions
All products in the AAA Biotech catalog are strictly for research-use only, and are absolutely not suitable for use in any sort of medical, therapeutic, prophylactic, in-vivo, or diagnostic capacity. By purchasing a product from AAA Biotech, you are explicitly certifying that said products will be properly tested and used in line with industry standard. AAA Biotech and its authorized distribution partners reserve the right to refuse to fulfill any order if we have any indication that a purchaser may be intending to use a product outside of our accepted criteria.Disclaimer
Though we do strive to guarantee the information represented in this datasheet, AAA Biotech cannot be held responsible for any oversights or imprecisions. AAA Biotech reserves the right to adjust any aspect of this datasheet at any time and without notice. It is the responsibility of the customer to inform AAA Biotech of any product performance issues observed or experienced within 30 days of receipt of said product. To see additional details on this or any of our other policies, please see our Terms & Conditions page.Item has been added to Shopping Cart
If you are ready to order, navigate to Shopping Cart and get ready to checkout.
