Rabbit MMAB Polyclonal Antibody | anti-MMAB antibody
MMAB Antibody
Gene Names
MMAB; ATR; cob; cblB; CFAP23
Reactivity
Human, MousePredicted: Pig, Zebrafish, Bovine, Horse, Sheep, Rabbit, Dog, Xenopus
Applications
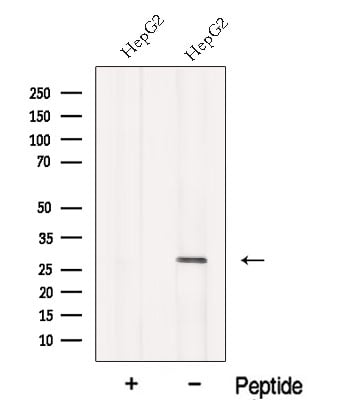
Western Blot
Purity
The antiserum was purified by peptide affinity chromatography using SulfoLink Coupling Resin (Thermo Fisher Scientific).
Synonyms
MMAB, Antibody; MMAB Antibody; aquocob(I)alamin vitamin B12s adenosyltransferase; ATP:cob(I)alamin adenosyltransferase; ATP:corrinoid adenosyltransferase; ATR; c-diamide adenosyltransferase; cblB; Cob; Cob(I)alamin adenosyltransferase; Cob(I)yrinic acid a; cob(I)yrinic acid a c diamide adenosyltransferase mitochondrial; Methylmalonic aciduria (cobalamin deficiency) cblB type; Methylmalonic aciduria type B protein; MGC20496, mitochondrial; MMAB; MMAB gene; MMAB_HUMAN; OTTHUMP00000240563; OTTHUMP00000240564; anti-MMAB antibody
Host
Rabbit
Reactivity
Human, Mouse
Predicted: Pig, Zebrafish, Bovine, Horse, Sheep, Rabbit, Dog, Xenopus
Predicted: Pig, Zebrafish, Bovine, Horse, Sheep, Rabbit, Dog, Xenopus
Clonality
Polyclonal
Isotype
IgG
Specificity
MMAB Antibody detects endogenous levels of MMAB.
Purity/Purification
The antiserum was purified by peptide affinity chromatography using SulfoLink Coupling Resin (Thermo Fisher Scientific).
Form/Format
Liquid; Phosphate buffered saline, pH 7.4, 150mM NaCl, 0.02% sodium azide and 50% glycerol.
Concentration
1mg/ml (varies by lot)
Sequence Length
250
Applicable Applications for anti-MMAB antibody
WB (Western Blot)
Immunogen
A synthesized peptide derived from human MMAB.
Tissue Specificity
Expressed in liver and skeletal muscle.
Fragment
Fab Fragment
Conjugate
Unconjugated
Subcellular Location
Mitochondrion
Preparation and Storage
Store at -20 degree C. Stable for 12 months from date of receipt.
Related Product Information for anti-MMAB antibody
Description: Adenosyltransferase involved in intracellular vitamin B12 metabolism. Generates adenosylcobalamin (AdoCbl) and directly delivers the cofactor to MUT in a transfer taht is stimulated by ATP-binding to MMAB and gated by MMAA.
Subunit Structure: Homotrimer.
Similarity: Belongs to the Cob(I)alamin adenosyltransferase family.
Subunit Structure: Homotrimer.
Similarity: Belongs to the Cob(I)alamin adenosyltransferase family.
NCBI and Uniprot Product Information
NCBI GI #
NCBI GeneID
UniProt Accession #
Molecular Weight
Observed: 27 kDa
Predicted: 28 kDa
Predicted: 28 kDa
NCBI Official Full Name
Corrinoid adenosyltransferase
NCBI Official Synonym Full Names
metabolism of cobalamin associated B
NCBI Official Symbol
MMAB
NCBI Official Synonym Symbols
ATR; cob; cblB; CFAP23
NCBI Protein Information
corrinoid adenosyltransferase
UniProt Protein Name
Cob(I)yrinic acid a,c-diamide adenosyltransferase, mitochondrial
UniProt Gene Name
MMAB
UniProt Entry Name
MMAB_HUMAN
Customer Reviews
Loading reviews...
Share Your Experience
Similar Products
Product Notes
The MMAB mmab (Catalog #AAA328686) is an Antibody produced from Rabbit and is intended for research purposes only. The product is available for immediate purchase. The MMAB Antibody reacts with Human, Mouse Predicted: Pig, Zebrafish, Bovine, Horse, Sheep, Rabbit, Dog, Xenopus and may cross-react with other species as described in the data sheet. AAA Biotech's MMAB can be used in a range of immunoassay formats including, but not limited to, WB (Western Blot). Researchers should empirically determine the suitability of the MMAB mmab for an application not listed in the data sheet. Researchers commonly develop new applications and it is an integral, important part of the investigative research process. It is sometimes possible for the material contained within the vial of "MMAB, Polyclonal Antibody" to become dispersed throughout the inside of the vial, particularly around the seal of said vial, during shipment and storage. We always suggest centrifuging these vials to consolidate all of the liquid away from the lid and to the bottom of the vial prior to opening. Please be advised that certain products may require dry ice for shipping and that, if this is the case, an additional dry ice fee may also be required.Precautions
All products in the AAA Biotech catalog are strictly for research-use only, and are absolutely not suitable for use in any sort of medical, therapeutic, prophylactic, in-vivo, or diagnostic capacity. By purchasing a product from AAA Biotech, you are explicitly certifying that said products will be properly tested and used in line with industry standard. AAA Biotech and its authorized distribution partners reserve the right to refuse to fulfill any order if we have any indication that a purchaser may be intending to use a product outside of our accepted criteria.Disclaimer
Though we do strive to guarantee the information represented in this datasheet, AAA Biotech cannot be held responsible for any oversights or imprecisions. AAA Biotech reserves the right to adjust any aspect of this datasheet at any time and without notice. It is the responsibility of the customer to inform AAA Biotech of any product performance issues observed or experienced within 30 days of receipt of said product. To see additional details on this or any of our other policies, please see our Terms & Conditions page.Item has been added to Shopping Cart
If you are ready to order, navigate to Shopping Cart and get ready to checkout.
