Rabbit MMP2 Polyclonal Antibody | anti-MMP2 antibody
MMP2 antibody - C-terminal region
Predicted Reactivity: Cow, Dog, Guinea Pig, Horse, Human, Mouse, Rabbit, Rat, Sheep
Predicted Reactivity: Cow, Dog, Guinea Pig, Horse, Human, Mouse, Rabbit, Rat, Sheep
WB (Western Blot)
(Lanes:Lane 1: 15ug MDA-MB-231 lysateLane 2: 15ug MCF7 lysatePrimary Antibody Dilution:1:1000Secondary Antibody:Anti-rabbit-HRPSecondary Antibody Dilution:1:10,000Gene Name:MMP2Submitted by:Katarzyna Augoff, University of Wroclaw)
WB (Western Blot)
(Host: RabbitTarget Name: MMP2Sample Type: Human LungIsoform 3: 66kDaIsoform 2: 69kDaAntibody Dilution: 1.0ug/ml)
WB (Western Blot)
(Host: RabbitTarget Name: MMP2Sample Tissue: Human HCT116 Whole CellAntibody Dilution: 1ug/ml)
IHC (Immunohiostchemistry)
(Rabbit Anti-MMP2 AntibodyFormalin Fixed Paraffin Embedded Tissue: Human Urinary Bladder TissueObserved Staining: CytoplasmPrimary Antibody Concentration: 1:100Other Working Concentrations: N/ASecondary Antibody: Donkey anti-Rabbit-Cy3Secondary Antibody Concentration: 1:200Magnification: 20XExposure Time: 0.5 - 2.0 sec)
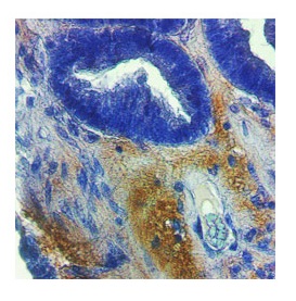
IHC (Immunohistochemistry)
(MMP1 in connective tissue in ovarian carcinoma was detected using HRP/DAB brown color stain.Recommended for IHC on human tissue.Working dilution 2-10 ug/mL)
Target Description: MMP-2 is involved in the cleavage of gelatin type I and collagen types IV, V, VII, X.
NCBI and Uniprot Product Information
Customer Reviews
Loading reviews...
Share Your Experience
Similar Products
Product Notes
The MMP2 mmp2 (Catalog #AAA201731) is an Antibody produced from Rabbit and is intended for research purposes only. The product is available for immediate purchase. The MMP2 antibody - C-terminal region reacts with Tested: Human Predicted Reactivity: Cow, Dog, Guinea Pig, Horse, Human, Mouse, Rabbit, Rat, Sheep and may cross-react with other species as described in the data sheet. AAA Biotech's MMP2 can be used in a range of immunoassay formats including, but not limited to, WB (Western Blot), IHC (Immunohistochemistry). Researchers should empirically determine the suitability of the MMP2 mmp2 for an application not listed in the data sheet. Researchers commonly develop new applications and it is an integral, important part of the investigative research process. The amino acid sequence is listed below: Synthetic peptide located within the following region: AWNAIPDNLD AVVDLQGGGH SYFFKGAYYL KLENQSLKSV KFGSIKSDWL. It is sometimes possible for the material contained within the vial of "MMP2, Polyclonal Antibody" to become dispersed throughout the inside of the vial, particularly around the seal of said vial, during shipment and storage. We always suggest centrifuging these vials to consolidate all of the liquid away from the lid and to the bottom of the vial prior to opening. Please be advised that certain products may require dry ice for shipping and that, if this is the case, an additional dry ice fee may also be required.Precautions
All products in the AAA Biotech catalog are strictly for research-use only, and are absolutely not suitable for use in any sort of medical, therapeutic, prophylactic, in-vivo, or diagnostic capacity. By purchasing a product from AAA Biotech, you are explicitly certifying that said products will be properly tested and used in line with industry standard. AAA Biotech and its authorized distribution partners reserve the right to refuse to fulfill any order if we have any indication that a purchaser may be intending to use a product outside of our accepted criteria.Disclaimer
Though we do strive to guarantee the information represented in this datasheet, AAA Biotech cannot be held responsible for any oversights or imprecisions. AAA Biotech reserves the right to adjust any aspect of this datasheet at any time and without notice. It is the responsibility of the customer to inform AAA Biotech of any product performance issues observed or experienced within 30 days of receipt of said product. To see additional details on this or any of our other policies, please see our Terms & Conditions page.Item has been added to Shopping Cart
If you are ready to order, navigate to Shopping Cart and get ready to checkout.
