Rabbit anti-Human MMP23B Polyclonal Antibody | anti-MMP23B antibody
MMP23B Antibody
Gene Names
MMP23B; MIFR; MMP22; MIFR-1; MMP23A
Reactivity
Human
Applications
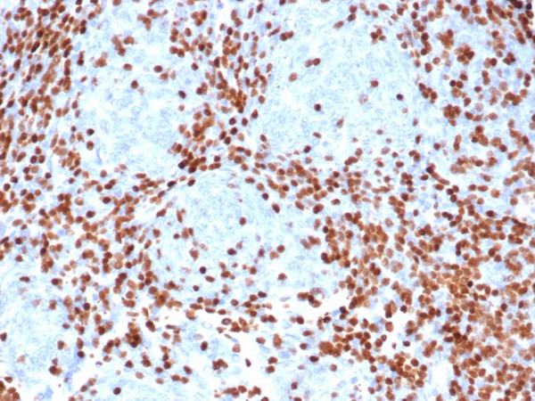
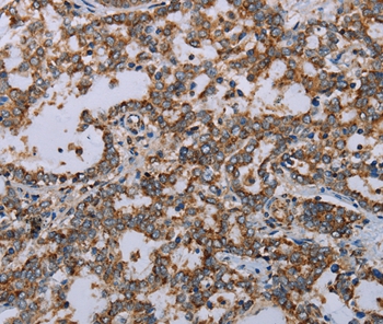
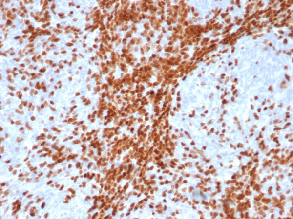
Immunohistochemistry
Purity
Antigen affinity purification.
Synonyms
MMP23B, Antibody; MMP23B Antibody; MIFR; MMP22; MIFR-1; MMP23A; anti-MMP23B antibody
Host
Rabbit
Reactivity
Human
Clonality
Polyclonal
Specificity
The antibody detects endogenous levels of total MMP23B protein.
Purity/Purification
Antigen affinity purification.
Form/Format
Rabbit IgG in pH7.3 PBS, 0.05% NaN3, 50% Glycerol.
Concentration
1.1 mg/ml (varies by lot)
Sequence Length
390
Applicable Applications for anti-MMP23B antibody
IHC (Immunohistochemistry)
Immunogen Type
Peptide
Immunogen Description
Synthetic peptide corresponding to a region derived from internal residues of human matrix metallopeptidase 23B
Target Name
MMP23B
Preparation and Storage
Store at -20 degree C
Related Product Information for anti-MMP23B antibody
This gene (MMP23B) encodes a member of the matrix metalloproteinase (MMP) family, and it is part of a duplicated region of chromosome 1p36.3. Proteins of the matrix metalloproteinase (MMP) family are involved in the breakdown of extracellular matrix in normal physiological processes, such as embryonic development, reproduction, and tissue remodeling, as well as in disease processes, such as arthritis and metastasis. This gene belongs to the more telomeric copy of the duplicated region.
Product Categories/Family for anti-MMP23B antibody
NCBI and Uniprot Product Information
NCBI GI #
NCBI GeneID
NCBI Accession #
NCBI GenBank Nucleotide #
UniProt Accession #
Molecular Weight
46,305 Da
NCBI Official Full Name
matrix metalloproteinase-23
NCBI Official Synonym Full Names
matrix metallopeptidase 23B
NCBI Official Symbol
MMP23B
NCBI Official Synonym Symbols
MIFR; MMP22; MIFR-1; MMP23A
NCBI Protein Information
matrix metalloproteinase-23
UniProt Protein Name
Matrix metalloproteinase-23
UniProt Gene Name
MMP23A
UniProt Synonym Gene Names
MMP21; MMP-23; MMP-21; MMP-22
UniProt Entry Name
MMP23_HUMAN
Customer Reviews
Loading reviews...
Share Your Experience
Similar Products
Product Notes
The MMP23B mmp23a (Catalog #AAA302109) is an Antibody produced from Rabbit and is intended for research purposes only. The product is available for immediate purchase. The MMP23B Antibody reacts with Human and may cross-react with other species as described in the data sheet. AAA Biotech's MMP23B can be used in a range of immunoassay formats including, but not limited to, IHC (Immunohistochemistry). Researchers should empirically determine the suitability of the MMP23B mmp23a for an application not listed in the data sheet. Researchers commonly develop new applications and it is an integral, important part of the investigative research process. It is sometimes possible for the material contained within the vial of "MMP23B, Polyclonal Antibody" to become dispersed throughout the inside of the vial, particularly around the seal of said vial, during shipment and storage. We always suggest centrifuging these vials to consolidate all of the liquid away from the lid and to the bottom of the vial prior to opening. Please be advised that certain products may require dry ice for shipping and that, if this is the case, an additional dry ice fee may also be required.Precautions
All products in the AAA Biotech catalog are strictly for research-use only, and are absolutely not suitable for use in any sort of medical, therapeutic, prophylactic, in-vivo, or diagnostic capacity. By purchasing a product from AAA Biotech, you are explicitly certifying that said products will be properly tested and used in line with industry standard. AAA Biotech and its authorized distribution partners reserve the right to refuse to fulfill any order if we have any indication that a purchaser may be intending to use a product outside of our accepted criteria.Disclaimer
Though we do strive to guarantee the information represented in this datasheet, AAA Biotech cannot be held responsible for any oversights or imprecisions. AAA Biotech reserves the right to adjust any aspect of this datasheet at any time and without notice. It is the responsibility of the customer to inform AAA Biotech of any product performance issues observed or experienced within 30 days of receipt of said product. To see additional details on this or any of our other policies, please see our Terms & Conditions page.Item has been added to Shopping Cart
If you are ready to order, navigate to Shopping Cart and get ready to checkout.
