Rabbit anti-Human MMP7 Polyclonal Antibody | anti-MMP7 antibody
Anti-MMP7 Antibody
WB (Western Blot)
(Anti-MMP7 Picoband antibody, AAA45689-3.jpgAll lanes: Anti-MMP7(AAA45689) at 0.5ug/mlWB: A549 Whole Cell Lysate at 40ugPredicted bind size: 30KDObserved bind size: 30KD)
IHC (Immunohiostchemistry)
(Anti-MMP7 Picoband antibody, AAA45689-2.JPGIHC(P): Human Placenta Tissue)
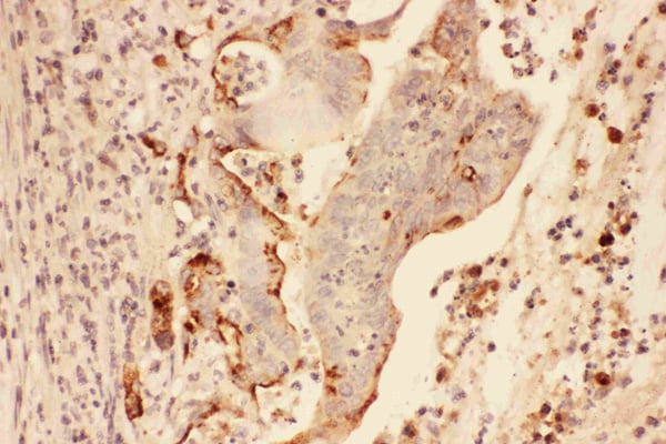
IHC (Immunohistochemistry)
(Anti-MMP7 Picoband antibody, AAA45689-1.JPGIHC(P): Human Intestinal Cancer Tissue)
Background: Matrix metalloproteinase-7 (MMP-7) previously called putative metalloproteinase I (PUMP1) or matrilysin. The MMP-7 gene has been identified through studies of collagenase-related connective-tissue-degrading metalloproteinases produced by human tumors. The MMP-7 protein has 267 amino acids and is significantly shorter than stromelysin or collagenase (477 and 469 amino acids, respectively). Matrix metalloproteinases play a crucial role in tumor invasion and metastasis. MMP-7, a member of the matrix metalloproteinase family, is structurally different from the other matrix metalloproteinases by virtue of the absence of a conserved COOH-terminal protein domain. In addition, MMP-7 mRNA is regulated in a specific and distinct manner in normal and malignant tissues. MMP-7 has been shown to correlate with nodal or distant metastasis in colorectal carcinomas, however, its implication in early invasive colorectal carcinomas has not been determined. MMP-7 is also a mediator of pulmonary fibrosis and a potential therapeutic target. The standard product used in this kit is recombinant human MMP-7, consisting of 250 amino acids with the molecular mass of 28KDa. The detected MMP-7 includes zymogen and active enzyme.
NCBI and Uniprot Product Information
Customer Reviews
Loading reviews...
Share Your Experience
Similar Products
Product Notes
The MMP7 mmp7 (Catalog #AAA45689) is an Antibody produced from Rabbit and is intended for research purposes only. The product is available for immediate purchase. The Anti-MMP7 Antibody reacts with Human and may cross-react with other species as described in the data sheet. AAA Biotech's MMP7 can be used in a range of immunoassay formats including, but not limited to, ELISA, IHC (Immunohistochemistry), WB (Western Blot). Researchers should empirically determine the suitability of the MMP7 mmp7 for an application not listed in the data sheet. Researchers commonly develop new applications and it is an integral, important part of the investigative research process. It is sometimes possible for the material contained within the vial of "MMP7, Polyclonal Antibody" to become dispersed throughout the inside of the vial, particularly around the seal of said vial, during shipment and storage. We always suggest centrifuging these vials to consolidate all of the liquid away from the lid and to the bottom of the vial prior to opening. Please be advised that certain products may require dry ice for shipping and that, if this is the case, an additional dry ice fee may also be required.Precautions
All products in the AAA Biotech catalog are strictly for research-use only, and are absolutely not suitable for use in any sort of medical, therapeutic, prophylactic, in-vivo, or diagnostic capacity. By purchasing a product from AAA Biotech, you are explicitly certifying that said products will be properly tested and used in line with industry standard. AAA Biotech and its authorized distribution partners reserve the right to refuse to fulfill any order if we have any indication that a purchaser may be intending to use a product outside of our accepted criteria.Disclaimer
Though we do strive to guarantee the information represented in this datasheet, AAA Biotech cannot be held responsible for any oversights or imprecisions. AAA Biotech reserves the right to adjust any aspect of this datasheet at any time and without notice. It is the responsibility of the customer to inform AAA Biotech of any product performance issues observed or experienced within 30 days of receipt of said product. To see additional details on this or any of our other policies, please see our Terms & Conditions page.Item has been added to Shopping Cart
If you are ready to order, navigate to Shopping Cart and get ready to checkout.
