anti-Mouse, Rat MMP8 Polyclonal Antibody | anti-MMP8 antibody
Anti-MMP8 Antibody
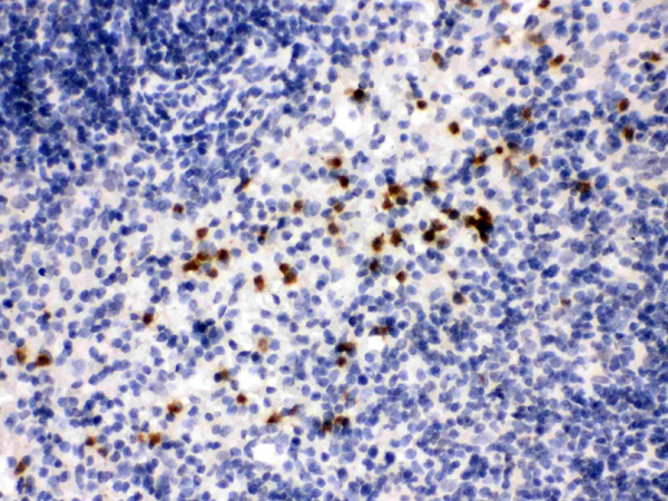
IHC (Immunohiostchemistry)
(Anti- MMP-8 Picoband antibody, AAA46472,IHC(P)IHC(P): Mouse Spleen Tissue)
WB (Western Blot)
(Anti- MMP-8 Picoband antibody, AAA46472, Western blottingAll lanes: Anti MMP-8 (AAA46472) at 0.5ug/mlLane 1: Mouse Testis Tissue Lysate at 50ugLane 2: NIH3T3 Whole Cell Lysate at 40ugLane 3: HEPA Whole Cell Lysate at 40ugLane 4: NRK Whole Cell Lysate at 40ugPredicted bind size: 53KDObserved bind size: 55KD)
Background: MMP8 (Matrix metalloproteinase 8) is a member of the family of matrix metalloproteinases. It is distinct from the collagenase of skin fibroblasts and synovial cells in substrate specificity and immunologic crossreactivity. MMP8 is mapped to 11q21-q22. MMP8 is an enzyme that degrades fibrillar collagens imparting strength to the fetal membranes, is expressed by leukocytes and chorionic cytotrophoblast cells. The enzyme exhibits 58% homology to human fibroblast collagenase and has the same domain structure. It consists of a 20-residue signal peptide, and an 80-residue propeptide that is lost on autolytic activation by cleavage of an M-L bond. MMP8 was found to possess 57% identity with the deduced protein sequence for fibroblast collagenase with 72% chemical similarity. Matrix metalloproteinases (MMPs) have fundamental roles in tumor progression, but most clinical trials with MMP inhibitors have not shown improvements in individuals with cancer. MMP8 has a paradoxical protective role in cancer and provides a genetic model to evaluate the molecular basis of gender differences in cancer susceptibility.
NCBI and Uniprot Product Information
Customer Reviews
Loading reviews...
Share Your Experience
Similar Products
Product Notes
The MMP8 mmp8 (Catalog #AAA46472) is an Antibody and is intended for research purposes only. The product is available for immediate purchase. The Anti-MMP8 Antibody reacts with Mouse, Rat and may cross-react with other species as described in the data sheet. AAA Biotech's MMP8 can be used in a range of immunoassay formats including, but not limited to, ELISA, IHC (Immunohistochemistry), WB (Western Blot). Researchers should empirically determine the suitability of the MMP8 mmp8 for an application not listed in the data sheet. Researchers commonly develop new applications and it is an integral, important part of the investigative research process. It is sometimes possible for the material contained within the vial of "MMP8, Polyclonal Antibody" to become dispersed throughout the inside of the vial, particularly around the seal of said vial, during shipment and storage. We always suggest centrifuging these vials to consolidate all of the liquid away from the lid and to the bottom of the vial prior to opening. Please be advised that certain products may require dry ice for shipping and that, if this is the case, an additional dry ice fee may also be required.Precautions
All products in the AAA Biotech catalog are strictly for research-use only, and are absolutely not suitable for use in any sort of medical, therapeutic, prophylactic, in-vivo, or diagnostic capacity. By purchasing a product from AAA Biotech, you are explicitly certifying that said products will be properly tested and used in line with industry standard. AAA Biotech and its authorized distribution partners reserve the right to refuse to fulfill any order if we have any indication that a purchaser may be intending to use a product outside of our accepted criteria.Disclaimer
Though we do strive to guarantee the information represented in this datasheet, AAA Biotech cannot be held responsible for any oversights or imprecisions. AAA Biotech reserves the right to adjust any aspect of this datasheet at any time and without notice. It is the responsibility of the customer to inform AAA Biotech of any product performance issues observed or experienced within 30 days of receipt of said product. To see additional details on this or any of our other policies, please see our Terms & Conditions page.Item has been added to Shopping Cart
If you are ready to order, navigate to Shopping Cart and get ready to checkout.
