Rabbit Mox1 Polyclonal Antibody | anti-Mox1 antibody
Mox1 Polyclonal Antibody
Gene Names
NOX1; MOX1; NOH1; NOH-1; GP91-2
Reactivity
Human, Mouse, Rat
Applications
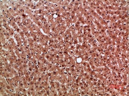
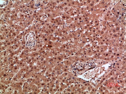
Immunohistochemistry, Western Blot
Synonyms
Mox1, Antibody; Mox1 Polyclonal Antibody; NADPH oxidase 1 (NOX-1)(EC 1.-.-.-)(Mitogenic oxidase 1)(MOX-1)(NADH/NADPH mitogenic oxidase subunit P65-MOX)(NOH-1); anti-Mox1 antibody
Host
Rabbit
Reactivity
Human, Mouse, Rat
Clonality
Polyclonal
Applicable Applications for anti-Mox1 antibody
IHC (Immunohistochemistry), WB (Western Blot)
Preparation and Storage
Maintain refrigerated at 2-8 degree C for up to 2 weeks. For long term storage store at -20 degree C in small aliquots to prevent freeze-thaw cycles.
Related Product Information for anti-Mox1 antibody
NOH-1S is a voltage-gated proton channel that mediates the H (+) currents of resting phagocytes and other tissues. It participates in the regulation of cellular pH and is blocked by zinc. NOH-1L is a pyridine nucleotide-dependent oxidoreductase that generates superoxide and might conduct H (+) ions as part of its electron transport mechanism, whereas NOH-1S does not contain an electron transport chain.
NCBI and Uniprot Product Information
NCBI GI #
NCBI GeneID
NCBI Accession #
NCBI GenBank Nucleotide #
Molecular Weight
64,871 Da
NCBI Official Full Name
NADPH oxidase 1 isoform 3
NCBI Official Synonym Full Names
NADPH oxidase 1
NCBI Official Symbol
NOX1
NCBI Official Synonym Symbols
MOX1; NOH1; NOH-1; GP91-2
NCBI Protein Information
NADPH oxidase 1; mitogenic oxidase 1; NADPH oxidase homolog-1; NADH/NADPH mitogenic oxidase subunit P65-MOX; mitogenic oxidase (pyridine nucleotide-dependent superoxide-generating)
UniProt Protein Name
NADPH oxidase 1
UniProt Gene Name
NOX1
UniProt Synonym Gene Names
MOX1; NOH1; NOX-1; MOX-1
UniProt Entry Name
NOX1_HUMAN
Customer Reviews
Loading reviews...
Share Your Experience
Similar Products
Product Notes
The Mox1 nox1 (Catalog #AAA296525) is an Antibody produced from Rabbit and is intended for research purposes only. The product is available for immediate purchase. The Mox1 Polyclonal Antibody reacts with Human, Mouse, Rat and may cross-react with other species as described in the data sheet. AAA Biotech's Mox1 can be used in a range of immunoassay formats including, but not limited to, IHC (Immunohistochemistry), WB (Western Blot). Researchers should empirically determine the suitability of the Mox1 nox1 for an application not listed in the data sheet. Researchers commonly develop new applications and it is an integral, important part of the investigative research process. It is sometimes possible for the material contained within the vial of "Mox1, Polyclonal Antibody" to become dispersed throughout the inside of the vial, particularly around the seal of said vial, during shipment and storage. We always suggest centrifuging these vials to consolidate all of the liquid away from the lid and to the bottom of the vial prior to opening. Please be advised that certain products may require dry ice for shipping and that, if this is the case, an additional dry ice fee may also be required.Precautions
All products in the AAA Biotech catalog are strictly for research-use only, and are absolutely not suitable for use in any sort of medical, therapeutic, prophylactic, in-vivo, or diagnostic capacity. By purchasing a product from AAA Biotech, you are explicitly certifying that said products will be properly tested and used in line with industry standard. AAA Biotech and its authorized distribution partners reserve the right to refuse to fulfill any order if we have any indication that a purchaser may be intending to use a product outside of our accepted criteria.Disclaimer
Though we do strive to guarantee the information represented in this datasheet, AAA Biotech cannot be held responsible for any oversights or imprecisions. AAA Biotech reserves the right to adjust any aspect of this datasheet at any time and without notice. It is the responsibility of the customer to inform AAA Biotech of any product performance issues observed or experienced within 30 days of receipt of said product. To see additional details on this or any of our other policies, please see our Terms & Conditions page.Item has been added to Shopping Cart
If you are ready to order, navigate to Shopping Cart and get ready to checkout.
