Rabbit anti-Human MRC2 Polyclonal Antibody | anti-MRC2 antibody
MRC2 Antibody
Gene Names
MRC2; CD280; UPARAP; CLEC13E; ENDO180
Reactivity
Human
Applications
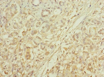
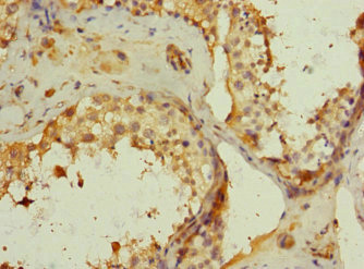
Immunohistochemistry, ELISA
Purity
Antigen Affinity Purified
Synonyms
MRC2, Antibody; MRC2 Antibody; C-type mannose receptor 2; C-type lectin domain family 13 member E; Endocytic receptor 180; Macrophage mannose receptor 2; Urokinase-type plasminogen activator receptor-associated protein; UPAR-associated protein; Urokinase receptor-associated protein; CD280; MRC2; CLEC13E; ENDO180; KIAA0709; UPARAP; anti-MRC2 antibody
Host
Rabbit
Reactivity
Human
Clonality
Polyclonal
Isotype
IgG
Purity/Purification
Antigen Affinity Purified
Form/Format
Liquid
Sequence Length
1479
Applicable Applications for anti-MRC2 antibody
IHC (Immunohistochemistry), ELISA
Species
Human
Immunogen
Recombinant human C-type mannose receptor 2 protein (120-300A)
Conjugate
Non-conjugated
Buffer
PBS with 0.02% sodium azide, 50% glycerol, pH7.3.
Santa Cruz Alternative
Potential replacement for Santa Cruz Biotechnology antibody catalog# sc-68075 / sc-68076 / sc-68371
Preparation and Storage
Shipped at 4 degree C. Upon delivery aliquot and store at -20 degree C or -80 degree C. Avoid repeated freeze.
Related Product Information for anti-MRC2 antibody
May play a role as endocytotic lectin receptor displaying calcium-dependent lectin activity. Internalizes glycosylated ligands from the extracellular space for release in an endosomal compartment via clathrin-mediated endocytosis. May be involved in plasminogen activation system controlling the extracellular level of PLAUR/PLAU, and thus may regulate protease activity at the cell surface. May contribute to cellular uptake, remodeling and degradation of extracellular collagen matrices. May play a role during cancer progression as well as in other chronic tissue destructive diseases acting on collagen turnover. May participate in remodeling of extracellular matrix cooperating with the matrix metalloproteinases (MMPs).
NCBI and Uniprot Product Information
NCBI GI #
NCBI GeneID
NCBI Accession #
NCBI GenBank Nucleotide #
Molecular Weight
166,674 Da
NCBI Official Full Name
C-type mannose receptor 2
NCBI Official Synonym Full Names
mannose receptor C type 2
NCBI Official Symbol
MRC2
NCBI Official Synonym Symbols
CD280; UPARAP; CLEC13E; ENDO180
NCBI Protein Information
C-type mannose receptor 2
UniProt Protein Name
C-type mannose receptor 2
UniProt Gene Name
MRC2
UniProt Synonym Gene Names
CLEC13E; ENDO180; KIAA0709; UPARAP; UPAR-associated protein; Urokinase receptor-associated protein
UniProt Entry Name
MRC2_HUMAN
Customer Reviews
Loading reviews...
Share Your Experience
Similar Products
Product Notes
The MRC2 mrc2 (Catalog #AAA232008) is an Antibody produced from Rabbit and is intended for research purposes only. The product is available for immediate purchase. The MRC2 Antibody reacts with Human and may cross-react with other species as described in the data sheet. AAA Biotech's MRC2 can be used in a range of immunoassay formats including, but not limited to, IHC (Immunohistochemistry), ELISA. Researchers should empirically determine the suitability of the MRC2 mrc2 for an application not listed in the data sheet. Researchers commonly develop new applications and it is an integral, important part of the investigative research process. It is sometimes possible for the material contained within the vial of "MRC2, Polyclonal Antibody" to become dispersed throughout the inside of the vial, particularly around the seal of said vial, during shipment and storage. We always suggest centrifuging these vials to consolidate all of the liquid away from the lid and to the bottom of the vial prior to opening. Please be advised that certain products may require dry ice for shipping and that, if this is the case, an additional dry ice fee may also be required.Precautions
All products in the AAA Biotech catalog are strictly for research-use only, and are absolutely not suitable for use in any sort of medical, therapeutic, prophylactic, in-vivo, or diagnostic capacity. By purchasing a product from AAA Biotech, you are explicitly certifying that said products will be properly tested and used in line with industry standard. AAA Biotech and its authorized distribution partners reserve the right to refuse to fulfill any order if we have any indication that a purchaser may be intending to use a product outside of our accepted criteria.Disclaimer
Though we do strive to guarantee the information represented in this datasheet, AAA Biotech cannot be held responsible for any oversights or imprecisions. AAA Biotech reserves the right to adjust any aspect of this datasheet at any time and without notice. It is the responsibility of the customer to inform AAA Biotech of any product performance issues observed or experienced within 30 days of receipt of said product. To see additional details on this or any of our other policies, please see our Terms & Conditions page.Item has been added to Shopping Cart
If you are ready to order, navigate to Shopping Cart and get ready to checkout.
