Rabbit MRPS15 Polyclonal Antibody | anti-MRPS15 antibody
MRPS15 antibody - N-terminal region
WB (Western Blot)
(WB Suggested Anti-MRPS15 Antibody Titration: 0.2-1 ug/mlELISA Titer: 1:12500Positive Control: 721_B cell lysateMRPS15 is supported by BioGPS gene expression data to be expressed in 721_B)
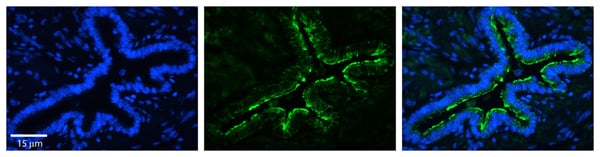
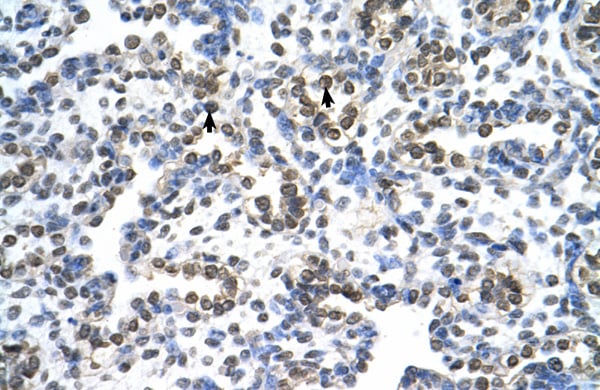
IHC (Immunohiostchemistry)
(Rabbit Anti-MRPS15 AntibodyFormalin Fixed Paraffin Embedded Tissue: Human Bronchial Epithelial TissueObserved Staining: Plasma MembranePrimary Antibody Concentration: 1:100Secondary Antibody: Donkey anti-Rabbit-Cy3Secondary Antibody Concentration: 1:200Magnification: 20XExposure Time: 0.5 - 2.0 sec)
Target Description: Mammalian mitochondrial ribosomal proteins are encoded by nuclear genes and help in protein synthesis within the mitochondrion. Mitochondrial ribosomes (mitoribosomes) consist of a small 28S subunit and a large 39S subunit. MRPS15 is a 28S subunit protein that belongs to the ribosomal protein S15P family.Mammalian mitochondrial ribosomal proteins are encoded by nuclear genes and help in protein synthesis within the mitochondrion. Mitochondrial ribosomes (mitoribosomes) consist of a small 28S subunit and a large 39S subunit. They have an estimated 75% protein to rRNA composition compared to prokaryotic ribosomes, where this ratio is reversed. Another difference between mammalian mitoribosomes and prokaryotic ribosomes is that the latter contain a 5S rRNA. Among different species, the proteins comprising the mitoribosome differ greatly in sequence, and sometimes in biochemical properties, which prevents easy recognition by sequence homology. This gene encodes a 28S subunit protein that belongs to the ribosomal protein S15P family. The encoded protein is more than two times the size of its E. coli counterpart, with the 12S rRNA binding sites conserved. Between human and mouse, the encoded protein is the least conserved among small subunit ribosomal proteins. Pseudogenes corresponding to this gene are found on chromosomes 15q and 19q.
NCBI and Uniprot Product Information
Customer Reviews
Loading reviews...
Share Your Experience
Similar Products
Product Notes
The MRPS15 mrps15 (Catalog #AAA197558) is an Antibody produced from Rabbit and is intended for research purposes only. The product is available for immediate purchase. The MRPS15 antibody - N-terminal region reacts with Cow, Dog, Guinea Pig, Horse, Human, Mouse, Rabbit, Rat and may cross-react with other species as described in the data sheet. AAA Biotech's MRPS15 can be used in a range of immunoassay formats including, but not limited to, WB (Western Blot), IHC (Immunohistochemistry). Researchers should empirically determine the suitability of the MRPS15 mrps15 for an application not listed in the data sheet. Researchers commonly develop new applications and it is an integral, important part of the investigative research process. The amino acid sequence is listed below: Synthetic peptide located within the following region: RGYVVRKPAQ SRLDDDPPPS TLLKDYQNVP GIEKVDDVVK RLLSLEMANK. It is sometimes possible for the material contained within the vial of "MRPS15, Polyclonal Antibody" to become dispersed throughout the inside of the vial, particularly around the seal of said vial, during shipment and storage. We always suggest centrifuging these vials to consolidate all of the liquid away from the lid and to the bottom of the vial prior to opening. Please be advised that certain products may require dry ice for shipping and that, if this is the case, an additional dry ice fee may also be required.Precautions
All products in the AAA Biotech catalog are strictly for research-use only, and are absolutely not suitable for use in any sort of medical, therapeutic, prophylactic, in-vivo, or diagnostic capacity. By purchasing a product from AAA Biotech, you are explicitly certifying that said products will be properly tested and used in line with industry standard. AAA Biotech and its authorized distribution partners reserve the right to refuse to fulfill any order if we have any indication that a purchaser may be intending to use a product outside of our accepted criteria.Disclaimer
Though we do strive to guarantee the information represented in this datasheet, AAA Biotech cannot be held responsible for any oversights or imprecisions. AAA Biotech reserves the right to adjust any aspect of this datasheet at any time and without notice. It is the responsibility of the customer to inform AAA Biotech of any product performance issues observed or experienced within 30 days of receipt of said product. To see additional details on this or any of our other policies, please see our Terms & Conditions page.Item has been added to Shopping Cart
If you are ready to order, navigate to Shopping Cart and get ready to checkout.
