Rabbit MRPS7 Polyclonal Antibody | anti-MRPS7 antibody
MRPS7 Rabbit Polyclonal Antibody
Gene Names
MRPS7; S7mt; MRP-S; RP-S7; RPMS7; MRP-S7; bMRP27a
Reactivity
Human, Mouse, Rat
Applications
Immunofluorescence, Western Blot
Purity
Affinity purification
Synonyms
MRPS7, Antibody; MRPS7 Rabbit Polyclonal Antibody; MRPS7; MRP-S; MRP-S7; RP-S7; RPMS7; S7mt; bMRP27a; anti-MRPS7 antibody
Host
Rabbit
Reactivity
Human, Mouse, Rat
Clonality
Polyclonal
Isotype
IgG
Purity/Purification
Affinity purification
Form/Format
Buffer: PBS with 0.02% sodium azide, 50% glycerol, pH7.3.
Applicable Applications for anti-MRPS7 antibody
IF (Immunofluorescence), WB (Western Blot)
Immunogen
Recombinant fusion protein of human MRPS7 (NP_057055.2).
Preparation and Storage
Store at -20 degree C. Avoid freeze/thaw cycles.
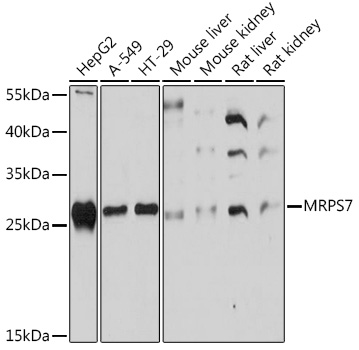
WB (Western Blot)
(Western blot analysis of extracts of various cell lines, using MRPS7 Rabbit pAb.)
Related Product Information for anti-MRPS7 antibody
Mammalian mitochondrial ribosomal proteins are encoded by nuclear genes and help in protein synthesis within the mitochondrion. Mitochondrial ribosomes (mitoribosomes) consist of a small 28S subunit and a large 39S subunit. They have an estimated 75% protein to rRNA composition compared to prokaryotic ribosomes, where this ratio is reversed. Another difference between mammalian mitoribosomes and prokaryotic ribosomes is that the latter contain a 5S rRNA. Among different species, the proteins comprising the mitoribosome differ greatly in sequence, and sometimes in biochemical properties, which prevents easy recognition by sequence homology. This gene encodes a 28S subunit protein. In the prokaryotic ribosome, the comparable protein is thought to play an essential role in organizing the 3' domain of the 16 S rRNA in the vicinity of the P- and A-sites. Pseudogenes corresponding to this gene are found on chromosomes 8p and 12p.
Product Categories/Family for anti-MRPS7 antibody
NCBI and Uniprot Product Information
NCBI GI #
NCBI GeneID
NCBI Accession #
NCBI GenBank Nucleotide #
Molecular Weight
28,134 Da
NCBI Official Full Name
28S ribosomal protein S7, mitochondrial
NCBI Official Synonym Full Names
mitochondrial ribosomal protein S7
NCBI Official Symbol
MRPS7
NCBI Official Synonym Symbols
S7mt; MRP-S; RP-S7; RPMS7; MRP-S7; bMRP27a
NCBI Protein Information
28S ribosomal protein S7, mitochondrial; bMRP-27a; 30S ribosomal protein S7 homolog
UniProt Protein Name
28S ribosomal protein S7, mitochondrial
UniProt Gene Name
MRPS7
UniProt Synonym Gene Names
MRP-S7; S7mt; bMRP27a
UniProt Entry Name
RT07_HUMAN
Customer Reviews
Loading reviews...
Share Your Experience
Similar Products
Product Notes
The MRPS7 mrps7 (Catalog #AAA314638) is an Antibody produced from Rabbit and is intended for research purposes only. The product is available for immediate purchase. The MRPS7 Rabbit Polyclonal Antibody reacts with Human, Mouse, Rat and may cross-react with other species as described in the data sheet. AAA Biotech's MRPS7 can be used in a range of immunoassay formats including, but not limited to, IF (Immunofluorescence), WB (Western Blot). Researchers should empirically determine the suitability of the MRPS7 mrps7 for an application not listed in the data sheet. Researchers commonly develop new applications and it is an integral, important part of the investigative research process. It is sometimes possible for the material contained within the vial of "MRPS7, Polyclonal Antibody" to become dispersed throughout the inside of the vial, particularly around the seal of said vial, during shipment and storage. We always suggest centrifuging these vials to consolidate all of the liquid away from the lid and to the bottom of the vial prior to opening. Please be advised that certain products may require dry ice for shipping and that, if this is the case, an additional dry ice fee may also be required.Precautions
All products in the AAA Biotech catalog are strictly for research-use only, and are absolutely not suitable for use in any sort of medical, therapeutic, prophylactic, in-vivo, or diagnostic capacity. By purchasing a product from AAA Biotech, you are explicitly certifying that said products will be properly tested and used in line with industry standard. AAA Biotech and its authorized distribution partners reserve the right to refuse to fulfill any order if we have any indication that a purchaser may be intending to use a product outside of our accepted criteria.Disclaimer
Though we do strive to guarantee the information represented in this datasheet, AAA Biotech cannot be held responsible for any oversights or imprecisions. AAA Biotech reserves the right to adjust any aspect of this datasheet at any time and without notice. It is the responsibility of the customer to inform AAA Biotech of any product performance issues observed or experienced within 30 days of receipt of said product. To see additional details on this or any of our other policies, please see our Terms & Conditions page.Item has been added to Shopping Cart
If you are ready to order, navigate to Shopping Cart and get ready to checkout.
