Rabbit anti-Human, Mouse MSMB Polyclonal Antibody | anti-MSMB antibody
MSMB Polyclonal Antibody
Gene Names
MSMB; MSP; PSP; IGBF; MSPB; PN44; PRPS; HPC13; PSP57; PSP94; PSP-94
Reactivity
Human, Mouse
Applications
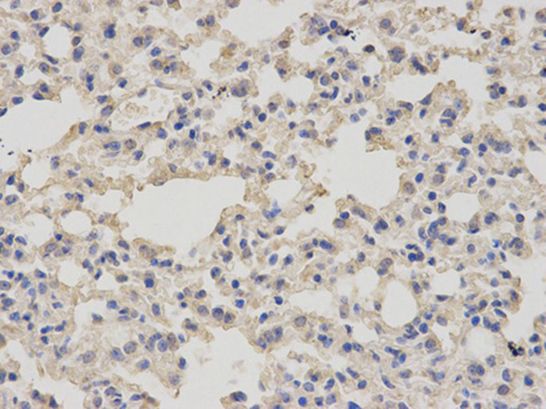
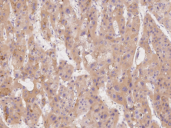
Immunohistochemistry
Purity
Affinity purification
Synonyms
MSMB, Antibody; MSMB Polyclonal Antibody; MSMB; HPC13; IGBF; MSP; MSPB; PN44; PRPS; PSP; PSP-94; PSP57; PSP94; anti-MSMB antibody
Host
Rabbit
Reactivity
Human, Mouse
Clonality
Polyclonal
Isotype
IgG
Purity/Purification
Affinity purification
Form/Format
PBS with 0.02% sodium azide, 50% glycerol, pH7.3
Concentration
1mg/mL (varies by lot)
Applicable Applications for anti-MSMB antibody
IHC (Immunohistochemistry)
Immunogen
Recombinant fusion protein of human MSMB (NP_0024341)
Conjugation
Unconjugated
Preparation and Storage
Store at -20 degree C. Avoid freeze/thaw cycles.
Related Product Information for anti-MSMB antibody
The protein encoded by this gene is a member of the immunoglobulin binding factor family. It is synthesized by the epithelial cells of the prostate gland and secreted into the seminal plasma. This protein has inhibin-like activity. It may have a role as an autocrine paracrine factor in uterine, breast and other female reproductive tissues. The expression of the encoded protein is found to be decreased in prostate cancer. Two alternatively spliced transcript variants encoding different isoforms are described for this gene. The use of alternate polyadenylation sites has been found for this gene.
Product Categories/Family for anti-MSMB antibody
NCBI and Uniprot Product Information
NCBI GI #
NCBI GeneID
Molecular Weight
12,865 Da
NCBI Official Full Name
microseminoprotein, beta-, isoform CRA_c
NCBI Official Synonym Full Names
microseminoprotein, beta-
NCBI Official Symbol
MSMB
NCBI Official Synonym Symbols
MSP; PSP; IGBF; MSPB; PN44; PRPS; HPC13; PSP57; PSP94; PSP-94
NCBI Protein Information
beta-microseminoprotein; seminal plasma beta-inhibin; immunoglobulin binding factor; prostate secreted seminal plasma protein; prostate secretory protein of 94 amino acids
UniProt Protein Name
Beta-microseminoprotein
UniProt Gene Name
MSMB
UniProt Synonym Gene Names
PRSP; IGBF; PSP-94; PSP94
UniProt Entry Name
MSMB_HUMAN
Similar Products
Product Notes
The MSMB msmb (Catalog #AAA177084) is an Antibody produced from Rabbit and is intended for research purposes only. The product is available for immediate purchase. The MSMB Polyclonal Antibody reacts with Human, Mouse and may cross-react with other species as described in the data sheet. AAA Biotech's MSMB can be used in a range of immunoassay formats including, but not limited to, IHC (Immunohistochemistry). Researchers should empirically determine the suitability of the MSMB msmb for an application not listed in the data sheet. Researchers commonly develop new applications and it is an integral, important part of the investigative research process. It is sometimes possible for the material contained within the vial of "MSMB, Polyclonal Antibody" to become dispersed throughout the inside of the vial, particularly around the seal of said vial, during shipment and storage. We always suggest centrifuging these vials to consolidate all of the liquid away from the lid and to the bottom of the vial prior to opening. Please be advised that certain products may require dry ice for shipping and that, if this is the case, an additional dry ice fee may also be required.Precautions
All products in the AAA Biotech catalog are strictly for research-use only, and are absolutely not suitable for use in any sort of medical, therapeutic, prophylactic, in-vivo, or diagnostic capacity. By purchasing a product from AAA Biotech, you are explicitly certifying that said products will be properly tested and used in line with industry standard. AAA Biotech and its authorized distribution partners reserve the right to refuse to fulfill any order if we have any indication that a purchaser may be intending to use a product outside of our accepted criteria.Disclaimer
Though we do strive to guarantee the information represented in this datasheet, AAA Biotech cannot be held responsible for any oversights or imprecisions. AAA Biotech reserves the right to adjust any aspect of this datasheet at any time and without notice. It is the responsibility of the customer to inform AAA Biotech of any product performance issues observed or experienced within 30 days of receipt of said product. To see additional details on this or any of our other policies, please see our Terms & Conditions page.Item has been added to Shopping Cart
If you are ready to order, navigate to Shopping Cart and get ready to checkout.
