Rabbit anti-Human MUC1 Polyclonal Antibody | anti-MUC1 antibody
MUC1 (NT) Polyclonal Antibody
Gene Names
MUC1; EMA; MCD; PEM; PUM; KL-6; MAM6; MCKD; PEMT; CD227; H23AG; MCKD1; MUC-1; ADMCKD; ADMCKD1; CA 15-3; MUC-1/X; MUC1/ZD; MUC-1/SEC
Reactivity
Human
Applications
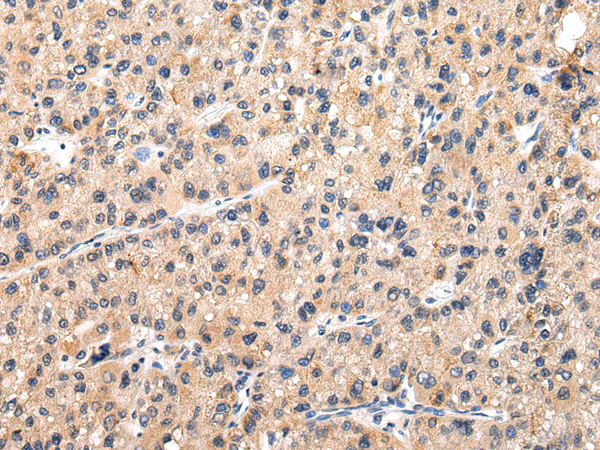
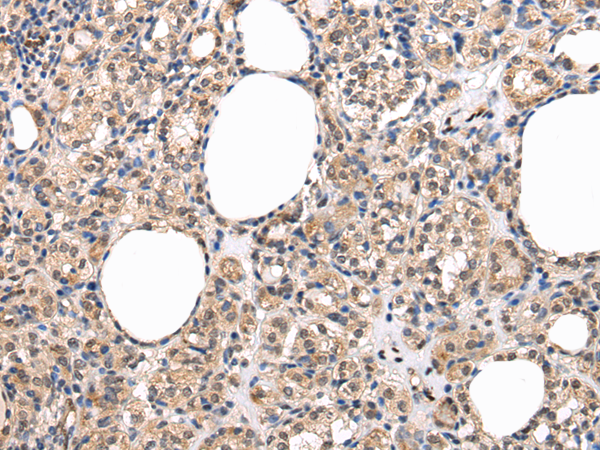
Immunohistochemistry, ELISA
Purity
Antigen Affinity Purification
Synonyms
MUC1, Antibody; MUC1 (NT) Polyclonal Antibody; EMA; MCD; PEM; PUM; KL-6; MAM6; MCKD; PEMT; CD227; H23AG; MCKD1; MUC-1; ADMCKD; ADMCKD1; CA 15-3; MUC-1/X; MUC1/ZD; MUC-1/SEC; anti-MUC1 antibody
Host
Rabbit
Reactivity
Human
Clonality
Polyclonal
Isotype
IgG
Purity/Purification
Antigen Affinity Purification
Concentration
1.4mg/ml (varies by lot)
Sequence Length
255
Applicable Applications for anti-MUC1 antibody
IHC (Immunohistochemistry), ELISA
Immunogen
Synthetic peptide of human MUC1 (NT)
Buffer
PBS with 0.05% sodium azide, 50% glycerol, pH7.3
Preparation and Storage
Store at -20 degree C. Avoid freeze/thaw cycles.
Related Product Information for anti-MUC1 antibody
This gene encodes a membrane-bound protein that is a member of the mucin family. Mucins are O-glycosylated proteins that play an essential role in forming protective mucous barriers on epithelial surfaces. These proteins also play a role in intracellular signaling. This protein is expressed on the apical surface of epithelial cells that line the mucosal surfaces of many different tissues including lung, breast stomach and pancreas. This protein is proteolytically cleaved into alpha and beta subunits that form a heterodimeric complex. The N-terminal alpha subunit functions in cell-adhesion and the C-terminal beta subunit is involved in cell signaling. Overexpression, aberrant intracellular localization, and changes in glycosylation of this protein have been associated with carcinomas. This gene is known to contain a highly polymorphic variable number tandem repeats (VNTR) domain. Alternate splicing results in multiple transcript variants.
NCBI and Uniprot Product Information
NCBI GI #
NCBI GeneID
UniProt Accession #
Molecular Weight
28,297 Da
NCBI Official Full Name
MUC1
NCBI Official Synonym Full Names
mucin 1, cell surface associated
NCBI Official Symbol
MUC1
NCBI Official Synonym Symbols
EMA; MCD; PEM; PUM; KL-6; MAM6; MCKD; PEMT; CD227; H23AG; MCKD1; MUC-1; ADMCKD; ADMCKD1; CA 15-3; MUC-1/X; MUC1/ZD; MUC-1/SEC
NCBI Protein Information
mucin-1
UniProt Protein Name
Mucin-1
UniProt Gene Name
MUC1
UniProt Synonym Gene Names
PUM; MUC-1; CA 15-3; KL-6; PUM; PEM; EMA; MUC1-NT; MUC1-alpha; MUC1-beta
UniProt Entry Name
MUC1_HUMAN
Similar Products
Product Notes
The MUC1 muc1 (Catalog #AAA173408) is an Antibody produced from Rabbit and is intended for research purposes only. The product is available for immediate purchase. The MUC1 (NT) Polyclonal Antibody reacts with Human and may cross-react with other species as described in the data sheet. AAA Biotech's MUC1 can be used in a range of immunoassay formats including, but not limited to, IHC (Immunohistochemistry), ELISA. Researchers should empirically determine the suitability of the MUC1 muc1 for an application not listed in the data sheet. Researchers commonly develop new applications and it is an integral, important part of the investigative research process. It is sometimes possible for the material contained within the vial of "MUC1, Polyclonal Antibody" to become dispersed throughout the inside of the vial, particularly around the seal of said vial, during shipment and storage. We always suggest centrifuging these vials to consolidate all of the liquid away from the lid and to the bottom of the vial prior to opening. Please be advised that certain products may require dry ice for shipping and that, if this is the case, an additional dry ice fee may also be required.Precautions
All products in the AAA Biotech catalog are strictly for research-use only, and are absolutely not suitable for use in any sort of medical, therapeutic, prophylactic, in-vivo, or diagnostic capacity. By purchasing a product from AAA Biotech, you are explicitly certifying that said products will be properly tested and used in line with industry standard. AAA Biotech and its authorized distribution partners reserve the right to refuse to fulfill any order if we have any indication that a purchaser may be intending to use a product outside of our accepted criteria.Disclaimer
Though we do strive to guarantee the information represented in this datasheet, AAA Biotech cannot be held responsible for any oversights or imprecisions. AAA Biotech reserves the right to adjust any aspect of this datasheet at any time and without notice. It is the responsibility of the customer to inform AAA Biotech of any product performance issues observed or experienced within 30 days of receipt of said product. To see additional details on this or any of our other policies, please see our Terms & Conditions page.Item has been added to Shopping Cart
If you are ready to order, navigate to Shopping Cart and get ready to checkout.
