Rabbit MUC1 Polyclonal Antibody | anti-MUC1 antibody
MUC1 antibody - N-terminal region
Gene Names
MUC1; EMA; MCD; PEM; PUM; KL-6; MAM6; MCKD; PEMT; CD227; H23AG; MCKD1; MUC-1; ADMCKD; ADMCKD1; CA 15-3; MUC-1/X; MUC1/ZD; MUC-1/SEC
Reactivity
Cow, Dog, Goat, Human, Pig, Rabbit,
Applications
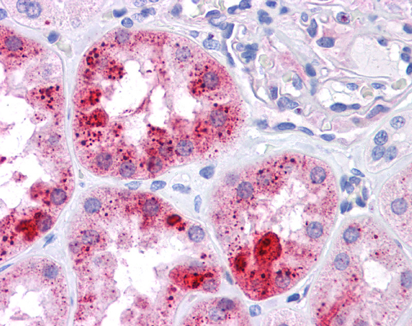
Western Blot, Immunohistochemistry
Purity
Affinity Purified
Synonyms
MUC1, Antibody; MUC1 antibody - N-terminal region; anti-MUC1 antibody
Host
Rabbit
Reactivity
Cow, Dog, Goat, Human, Pig, Rabbit,
Clonality
Polyclonal
Purity/Purification
Affinity Purified
Form/Format
Liquid. Purified antibody supplied in 1x PBS buffer with 0.09% (w/v) sodium azide and 2% sucrose.
Sequence
Synthetic peptide located within the following region: SATQRSSVPSSTEKNALSTGVSFFFLSFHISNLQFNSSLEDPSTDYYQEL
Sequence Length
273
Applicable Applications for anti-MUC1 antibody
WB (Western Blot), IHC (Immunohistochemistry)
Homology
Cow: 86%; Dog: 86%; Goat: 86%; Human: 100%; Pig: 82%; Rabbit: 86%
Immunogen
The immunogen is a synthetic peptide directed towards the N terminal region of human MUC1
Preparation and Storage
For short term use, store at 2-8 degree C up to 1 week. For long term storage, store at -20 degree C in small aliquots to prevent freeze-thaw cycles.
Related Product Information for anti-MUC1 antibody
This is a rabbit polyclonal antibody against MUC1. It was validated on Western Blot using a cell lysate as a positive control.
Target Description: MUC1 is a membrane bound, glycosylated phosphoprotein. The protein is anchored to the apical surface of many epithelia by a transmembrane domain, with the degree of glycosylation varying with cell type. It also includes a 20 aa variable number tandem repeat (VNTR) domain, with the number of repeats varying from 20 to 120 in different individuals. The protein serves a protective function by binding to pathogens and also functions in a cell signaling capacity. Overexpression, aberrant intracellular localization, and changes in glycosylation of this protein have been associated with carcinomas.This gene is a member of the mucin family and encodes a membrane bound, glycosylated phosphoprotein. The protein is anchored to the apical surface of many epithelia by a transmembrane domain, with the degree of glycosylation varying with cell type. It also includes a 20 aa variable number tandem repeat (VNTR) domain, with the number of repeats varying from 20 to 120 in different individuals. The protein serves a protective function by binding to pathogens and also functions in a cell signaling capacity. Overexpression, aberrant intracellular localization, and changes in glycosylation of this protein have been associated with carcinomas. Multiple alternatively spliced transcript variants that encode different isoforms of this gene have been reported, but the full-length nature of only some has been determined.
Target Description: MUC1 is a membrane bound, glycosylated phosphoprotein. The protein is anchored to the apical surface of many epithelia by a transmembrane domain, with the degree of glycosylation varying with cell type. It also includes a 20 aa variable number tandem repeat (VNTR) domain, with the number of repeats varying from 20 to 120 in different individuals. The protein serves a protective function by binding to pathogens and also functions in a cell signaling capacity. Overexpression, aberrant intracellular localization, and changes in glycosylation of this protein have been associated with carcinomas.This gene is a member of the mucin family and encodes a membrane bound, glycosylated phosphoprotein. The protein is anchored to the apical surface of many epithelia by a transmembrane domain, with the degree of glycosylation varying with cell type. It also includes a 20 aa variable number tandem repeat (VNTR) domain, with the number of repeats varying from 20 to 120 in different individuals. The protein serves a protective function by binding to pathogens and also functions in a cell signaling capacity. Overexpression, aberrant intracellular localization, and changes in glycosylation of this protein have been associated with carcinomas. Multiple alternatively spliced transcript variants that encode different isoforms of this gene have been reported, but the full-length nature of only some has been determined.
Product Categories/Family for anti-MUC1 antibody
NCBI and Uniprot Product Information
NCBI GI #
NCBI GeneID
NCBI Accession #
NCBI GenBank Nucleotide #
UniProt Accession #
Molecular Weight
27kDa
NCBI Official Full Name
mucin-1 isoform 1
NCBI Official Synonym Full Names
mucin 1, cell surface associated
NCBI Official Symbol
MUC1
NCBI Official Synonym Symbols
EMA; MCD; PEM; PUM; KL-6; MAM6; MCKD; PEMT; CD227; H23AG; MCKD1; MUC-1; ADMCKD; ADMCKD1; CA 15-3; MUC-1/X; MUC1/ZD; MUC-1/SEC
NCBI Protein Information
mucin-1
UniProt Protein Name
Mucin-1
UniProt Gene Name
MUC1
UniProt Synonym Gene Names
PUM; MUC-1; CA 15-3; KL-6; PUM; PEM; EMA; MUC1-NT; MUC1-alpha; MUC1-beta
UniProt Entry Name
MUC1_HUMAN
Customer Reviews
Loading reviews...
Share Your Experience
Similar Products
Product Notes
The MUC1 muc1 (Catalog #AAA198929) is an Antibody produced from Rabbit and is intended for research purposes only. The product is available for immediate purchase. The MUC1 antibody - N-terminal region reacts with Cow, Dog, Goat, Human, Pig, Rabbit, and may cross-react with other species as described in the data sheet. AAA Biotech's MUC1 can be used in a range of immunoassay formats including, but not limited to, WB (Western Blot), IHC (Immunohistochemistry). Researchers should empirically determine the suitability of the MUC1 muc1 for an application not listed in the data sheet. Researchers commonly develop new applications and it is an integral, important part of the investigative research process. The amino acid sequence is listed below: Synthetic peptide located within the following region: SATQRSSVPS STEKNALSTG VSFFFLSFHI SNLQFNSSLE DPSTDYYQEL. It is sometimes possible for the material contained within the vial of "MUC1, Polyclonal Antibody" to become dispersed throughout the inside of the vial, particularly around the seal of said vial, during shipment and storage. We always suggest centrifuging these vials to consolidate all of the liquid away from the lid and to the bottom of the vial prior to opening. Please be advised that certain products may require dry ice for shipping and that, if this is the case, an additional dry ice fee may also be required.Precautions
All products in the AAA Biotech catalog are strictly for research-use only, and are absolutely not suitable for use in any sort of medical, therapeutic, prophylactic, in-vivo, or diagnostic capacity. By purchasing a product from AAA Biotech, you are explicitly certifying that said products will be properly tested and used in line with industry standard. AAA Biotech and its authorized distribution partners reserve the right to refuse to fulfill any order if we have any indication that a purchaser may be intending to use a product outside of our accepted criteria.Disclaimer
Though we do strive to guarantee the information represented in this datasheet, AAA Biotech cannot be held responsible for any oversights or imprecisions. AAA Biotech reserves the right to adjust any aspect of this datasheet at any time and without notice. It is the responsibility of the customer to inform AAA Biotech of any product performance issues observed or experienced within 30 days of receipt of said product. To see additional details on this or any of our other policies, please see our Terms & Conditions page.Item has been added to Shopping Cart
If you are ready to order, navigate to Shopping Cart and get ready to checkout.
