Rabbit MUC2 Polyclonal Antibody | anti-MUC2 antibody
MUC2 Polyclonal Antibody
Gene Names
MUC2; MLP; SMUC; MUC-2
Reactivity
Human, Mouse, Rat
Applications
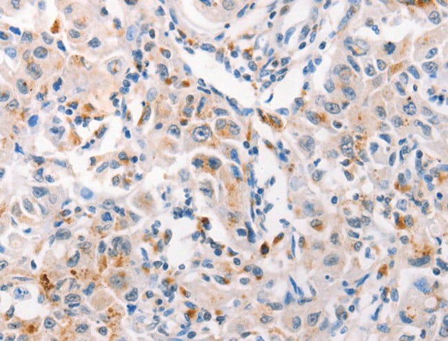
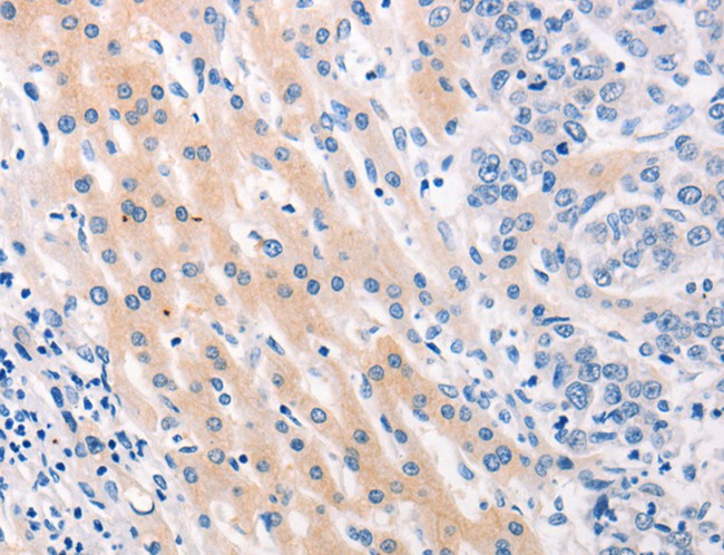
Immunohistochemistry, ELISA
Purity
Antigen affinity purification
Synonyms
MUC2, Antibody; MUC2 Polyclonal Antibody; MLP, SMUC, MUC-2; anti-MUC2 antibody
Host
Rabbit
Reactivity
Human, Mouse, Rat
Clonality
Polyclonal
Isotype
IgG
Purity/Purification
Antigen affinity purification
Concentration
2mg/mL (varies by lot)
Sequence Length
5179
Applicable Applications for anti-MUC2 antibody
IHC (Immunohistochemistry), ELISA
Immunogen
Synthetic peptide of human MUC2
Buffer
PBS with 0.05% sodium azide, 50% glycerol, pH7.3
Preparation and Storage
Store at -20 degree C (regular) and -80 degree C (long term). Avoid freeze / thaw cycles.
Related Product Information for anti-MUC2 antibody
This gene encodes a member of the mucin protein family. Mucins are high molecular weight glycoproteins produced by many epithelial tissues. The protein encoded by this gene is secreted and forms an insoluble mucous barrier that protects the gut lumen. The protein polymerizes into a gel of which 80% is composed of oligosaccharide side chains by weight. The protein features a central domain containing tandem repeats rich in threonine and proline that varies between 50 and 115 copies in different individuals. Alternatively spliced transcript variants of this gene have been described, but their full-length nature is not known.
Product Categories/Family for anti-MUC2 antibody
NCBI and Uniprot Product Information
NCBI GI #
NCBI GeneID
NCBI Accession #
NCBI GenBank Nucleotide #
Molecular Weight
540,300 Da
NCBI Official Full Name
mucin-2
NCBI Official Synonym Full Names
mucin 2, oligomeric mucus/gel-forming
NCBI Official Symbol
MUC2
NCBI Official Synonym Symbols
MLP; SMUC; MUC-2
NCBI Protein Information
mucin-2; intestinal mucin-2; mucin 2, intestinal/tracheal; mucin-like protein
UniProt Protein Name
Mucin-2
UniProt Gene Name
MUC2
UniProt Synonym Gene Names
SMUC; MUC-2
UniProt Entry Name
MUC2_HUMAN
Similar Products
Product Notes
The MUC2 muc2 (Catalog #AAA166276) is an Antibody produced from Rabbit and is intended for research purposes only. The product is available for immediate purchase. The MUC2 Polyclonal Antibody reacts with Human, Mouse, Rat and may cross-react with other species as described in the data sheet. AAA Biotech's MUC2 can be used in a range of immunoassay formats including, but not limited to, IHC (Immunohistochemistry), ELISA. Researchers should empirically determine the suitability of the MUC2 muc2 for an application not listed in the data sheet. Researchers commonly develop new applications and it is an integral, important part of the investigative research process. It is sometimes possible for the material contained within the vial of "MUC2, Polyclonal Antibody" to become dispersed throughout the inside of the vial, particularly around the seal of said vial, during shipment and storage. We always suggest centrifuging these vials to consolidate all of the liquid away from the lid and to the bottom of the vial prior to opening. Please be advised that certain products may require dry ice for shipping and that, if this is the case, an additional dry ice fee may also be required.Precautions
All products in the AAA Biotech catalog are strictly for research-use only, and are absolutely not suitable for use in any sort of medical, therapeutic, prophylactic, in-vivo, or diagnostic capacity. By purchasing a product from AAA Biotech, you are explicitly certifying that said products will be properly tested and used in line with industry standard. AAA Biotech and its authorized distribution partners reserve the right to refuse to fulfill any order if we have any indication that a purchaser may be intending to use a product outside of our accepted criteria.Disclaimer
Though we do strive to guarantee the information represented in this datasheet, AAA Biotech cannot be held responsible for any oversights or imprecisions. AAA Biotech reserves the right to adjust any aspect of this datasheet at any time and without notice. It is the responsibility of the customer to inform AAA Biotech of any product performance issues observed or experienced within 30 days of receipt of said product. To see additional details on this or any of our other policies, please see our Terms & Conditions page.Item has been added to Shopping Cart
If you are ready to order, navigate to Shopping Cart and get ready to checkout.
