Rabbit anti-Human MUC5AC Polyclonal Antibody | anti-MUC5AC antibody
MUC5AC Polyclonal Antibody
Gene Names
MUC5AC; TBM; leB; MUC5
Reactivity
Human
Applications
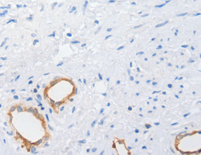
Immunohistochemistry, ELISA
Purity
Affinity purification
Synonyms
MUC5AC, Antibody; MUC5AC Polyclonal Antibody; TBM, leB, MUC5; anti-MUC5AC antibody
Host
Rabbit
Reactivity
Human
Clonality
Polyclonal
Isotype
IgG
Purity/Purification
Affinity purification
Concentration
0.8mg/mL (varies by lot)
Sequence Length
5654
Applicable Applications for anti-MUC5AC antibody
IHC (Immunohistochemistry), ELISA
Preparation and Storage
Store at -20 degree C. Avoid freeze/thaw cycles.
Related Product Information for anti-MUC5AC antibody
Background: Mucin-5AC is a protein that in humans is encoded by the MUC5AC gene. This gene has been linked to mucus hypersecretion in the pulmonary tracts and associated to chronic obstructive pulmonary disease (COPD). Gel-forming glycoprotein of gastric and respiratoy tract epithelia that protects the mucosa from infection and chemical damage by binding to inhaled microrganisms and particles that are subsequently removed by the mucocilary system. Highly expressed in surface mucosal cells of respiratory tract and stomach epithelia. Overexpressed in a number of carcinomas. Also expressed in Barrett's esophagus epithelium and in the proximal duodenum.
Product Categories/Family for anti-MUC5AC antibody
References
Experimental Pseudomonas aeruginosa mediated rhino sinusitis in mink. S. Kirkebya, A.S. Hammerb, N. Høibyc, C.M. Salomonsend (2016)
NCBI and Uniprot Product Information
NCBI GI #
NCBI GeneID
NCBI Accession #
NCBI GenBank Nucleotide #
UniProt Accession #
NCBI Official Full Name
mucin-5AC
NCBI Official Synonym Full Names
mucin 5AC, oligomeric mucus/gel-forming
NCBI Official Symbol
MUC5AC
NCBI Official Synonym Symbols
TBM; leB; MUC5
NCBI Protein Information
mucin-5AC; gastric mucin; lewis B blood group antigen; major airway glycoprotein; mucin 5, subtypes A and C, tracheobronchial/gastric; mucin 5AC, oligomeric mucus/gel-forming pseudogene; mucin-5 subtype AC, tracheobronchial; tracheobronchial mucin
UniProt Protein Name
Mucin-5AC
UniProt Gene Name
MUC5AC
UniProt Synonym Gene Names
MUC5; MUC-5AC; LeB; TBM
UniProt Entry Name
MUC5A_HUMAN
Similar Products
Product Notes
The MUC5AC muc5ac (Catalog #AAA169181) is an Antibody produced from Rabbit and is intended for research purposes only. The product is available for immediate purchase. The MUC5AC Polyclonal Antibody reacts with Human and may cross-react with other species as described in the data sheet. AAA Biotech's MUC5AC can be used in a range of immunoassay formats including, but not limited to, IHC (Immunohistochemistry), ELISA. Researchers should empirically determine the suitability of the MUC5AC muc5ac for an application not listed in the data sheet. Researchers commonly develop new applications and it is an integral, important part of the investigative research process. It is sometimes possible for the material contained within the vial of "MUC5AC, Polyclonal Antibody" to become dispersed throughout the inside of the vial, particularly around the seal of said vial, during shipment and storage. We always suggest centrifuging these vials to consolidate all of the liquid away from the lid and to the bottom of the vial prior to opening. Please be advised that certain products may require dry ice for shipping and that, if this is the case, an additional dry ice fee may also be required.Precautions
All products in the AAA Biotech catalog are strictly for research-use only, and are absolutely not suitable for use in any sort of medical, therapeutic, prophylactic, in-vivo, or diagnostic capacity. By purchasing a product from AAA Biotech, you are explicitly certifying that said products will be properly tested and used in line with industry standard. AAA Biotech and its authorized distribution partners reserve the right to refuse to fulfill any order if we have any indication that a purchaser may be intending to use a product outside of our accepted criteria.Disclaimer
Though we do strive to guarantee the information represented in this datasheet, AAA Biotech cannot be held responsible for any oversights or imprecisions. AAA Biotech reserves the right to adjust any aspect of this datasheet at any time and without notice. It is the responsibility of the customer to inform AAA Biotech of any product performance issues observed or experienced within 30 days of receipt of said product. To see additional details on this or any of our other policies, please see our Terms & Conditions page.Item has been added to Shopping Cart
If you are ready to order, navigate to Shopping Cart and get ready to checkout.
