Rabbit anti-Human MUC7 Polyclonal Antibody | anti-MUC7 antibody
MUC7 Polyclonal Antibody
Gene Names
MUC7; MG2
Reactivity
Human
Applications
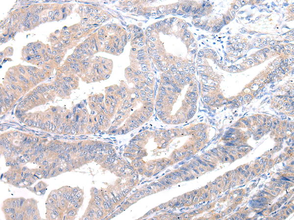
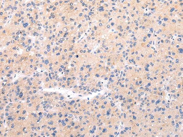
Immunohistochemistry, ELISA
Purity
Antigen Affinity Purification
Synonyms
MUC7, Antibody; MUC7 Polyclonal Antibody; MG2; anti-MUC7 antibody
Host
Rabbit
Reactivity
Human
Clonality
Polyclonal
Isotype
IgG
Purity/Purification
Antigen Affinity Purification
Concentration
1.4mg/ml (varies by lot)
Sequence Length
377
Applicable Applications for anti-MUC7 antibody
IHC (Immunohistochemistry), ELISA
Immunogen
Synthetic peptide of human MUC7
Buffer
PBS with 0.05% sodium azide, 50% glycerol, pH7.3
Santa Cruz Alternative
Potential replacement for Santa Cruz Biotechnology antibody catalog# sc-16918 / sc-50433
Preparation and Storage
Store at -20 degree C. Avoid freeze/thaw cycles.
Related Product Information for anti-MUC7 antibody
This gene encodes a small salivary mucin, which is thought to play a role in facilitating the clearance of bacteria in the oral cavity and to aid in mastication, speech, and swallowing. The central domain of this glycoprotein contains tandem repeats, each composed of 23 amino acids. This antimicrobial protein has antibacterial and antifungal activity. The most common allele contains 6 repeats, and some alleles may be associated with susceptibility to asthma. Alternatively spliced transcript variants with different 5' UTR, but encoding the same protein, have been found for this gene.
NCBI and Uniprot Product Information
NCBI GI #
NCBI GeneID
NCBI Accession #
NCBI GenBank Nucleotide #
Molecular Weight
39,159 Da
NCBI Official Full Name
mucin-7
NCBI Official Synonym Full Names
mucin 7, secreted
NCBI Official Symbol
MUC7
NCBI Official Synonym Symbols
MG2
NCBI Protein Information
mucin-7
UniProt Protein Name
Mucin-7
UniProt Gene Name
MUC7
UniProt Synonym Gene Names
MG2; MUC-7
UniProt Entry Name
MUC7_HUMAN
Similar Products
Product Notes
The MUC7 muc7 (Catalog #AAA173406) is an Antibody produced from Rabbit and is intended for research purposes only. The product is available for immediate purchase. The MUC7 Polyclonal Antibody reacts with Human and may cross-react with other species as described in the data sheet. AAA Biotech's MUC7 can be used in a range of immunoassay formats including, but not limited to, IHC (Immunohistochemistry), ELISA. Researchers should empirically determine the suitability of the MUC7 muc7 for an application not listed in the data sheet. Researchers commonly develop new applications and it is an integral, important part of the investigative research process. It is sometimes possible for the material contained within the vial of "MUC7, Polyclonal Antibody" to become dispersed throughout the inside of the vial, particularly around the seal of said vial, during shipment and storage. We always suggest centrifuging these vials to consolidate all of the liquid away from the lid and to the bottom of the vial prior to opening. Please be advised that certain products may require dry ice for shipping and that, if this is the case, an additional dry ice fee may also be required.Precautions
All products in the AAA Biotech catalog are strictly for research-use only, and are absolutely not suitable for use in any sort of medical, therapeutic, prophylactic, in-vivo, or diagnostic capacity. By purchasing a product from AAA Biotech, you are explicitly certifying that said products will be properly tested and used in line with industry standard. AAA Biotech and its authorized distribution partners reserve the right to refuse to fulfill any order if we have any indication that a purchaser may be intending to use a product outside of our accepted criteria.Disclaimer
Though we do strive to guarantee the information represented in this datasheet, AAA Biotech cannot be held responsible for any oversights or imprecisions. AAA Biotech reserves the right to adjust any aspect of this datasheet at any time and without notice. It is the responsibility of the customer to inform AAA Biotech of any product performance issues observed or experienced within 30 days of receipt of said product. To see additional details on this or any of our other policies, please see our Terms & Conditions page.Item has been added to Shopping Cart
If you are ready to order, navigate to Shopping Cart and get ready to checkout.
