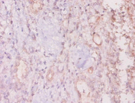
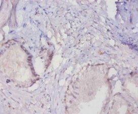
Rabbit anti-Human Mucin-16 Polyclonal Antibody | anti-MUC16 antibody
Rabbit anti-human Mucin-16 polyclonal Antibody
Gene Names
MUC16; CA125
Reactivity
Human
Applications
Immunohistochemistry, ELISA
Purity
>95%, Protein G purified
Synonyms
Mucin-16, Antibody; Rabbit anti-human Mucin-16 polyclonal Antibody; MUC-16; Ovarian cancer-related tumor marker CA125; MUC16; CA125; anti-MUC16 antibody
Host
Rabbit
Reactivity
Human
Clonality
Polyclonal
Isotype
IgG
Purity/Purification
>95%, Protein G purified
Form/Format
Liquid; Preservative: 0.03% Proclin 300; Constituents: 50% Glycerol, 0.01M PBS, PH 7.4
Sequence Length
14507
Applicable Applications for anti-MUC16 antibody
IHC (Immunohistochemistry), ELISA
Immunogen
Recombinant human Mucin-16 protein
Immunogen Species
Homo sapiens (Human)
Conjugation
Non-conjugated
Research Area
Tags & Cell Markers
Target Names
MUC16
Preparation and Storage
Upon receipt, store at -20 degree C or -80 degree C. Avoid repeated freeze.
Product Categories/Family for anti-MUC16 antibody
NCBI and Uniprot Product Information
NCBI GI #
NCBI GeneID
NCBI Accession #
NCBI GenBank Nucleotide #
NCBI Official Full Name
mucin-16
NCBI Official Synonym Full Names
mucin 16, cell surface associated
NCBI Official Symbol
MUC16
NCBI Official Synonym Symbols
CA125
NCBI Protein Information
mucin-16
UniProt Protein Name
Mucin-16
UniProt Gene Name
MUC16
UniProt Synonym Gene Names
CA125; MUC-16; CA-125
UniProt Entry Name
MUC16_HUMAN
Customer Reviews
Loading reviews...
Share Your Experience
Similar Products
Product Notes
The MUC16 muc16 (Catalog #AAA229140) is an Antibody produced from Rabbit and is intended for research purposes only. The product is available for immediate purchase. The Rabbit anti-human Mucin-16 polyclonal Antibody reacts with Human and may cross-react with other species as described in the data sheet. AAA Biotech's Mucin-16 can be used in a range of immunoassay formats including, but not limited to, IHC (Immunohistochemistry), ELISA. Researchers should empirically determine the suitability of the MUC16 muc16 for an application not listed in the data sheet. Researchers commonly develop new applications and it is an integral, important part of the investigative research process. It is sometimes possible for the material contained within the vial of "Mucin-16, Polyclonal Antibody" to become dispersed throughout the inside of the vial, particularly around the seal of said vial, during shipment and storage. We always suggest centrifuging these vials to consolidate all of the liquid away from the lid and to the bottom of the vial prior to opening. Please be advised that certain products may require dry ice for shipping and that, if this is the case, an additional dry ice fee may also be required.Precautions
All products in the AAA Biotech catalog are strictly for research-use only, and are absolutely not suitable for use in any sort of medical, therapeutic, prophylactic, in-vivo, or diagnostic capacity. By purchasing a product from AAA Biotech, you are explicitly certifying that said products will be properly tested and used in line with industry standard. AAA Biotech and its authorized distribution partners reserve the right to refuse to fulfill any order if we have any indication that a purchaser may be intending to use a product outside of our accepted criteria.Disclaimer
Though we do strive to guarantee the information represented in this datasheet, AAA Biotech cannot be held responsible for any oversights or imprecisions. AAA Biotech reserves the right to adjust any aspect of this datasheet at any time and without notice. It is the responsibility of the customer to inform AAA Biotech of any product performance issues observed or experienced within 30 days of receipt of said product. To see additional details on this or any of our other policies, please see our Terms & Conditions page.Item has been added to Shopping Cart
If you are ready to order, navigate to Shopping Cart and get ready to checkout.
