Rabbit Multidrug resistance-associated protein 4 Polyclonal Antibody | anti-ABCC4 antibody
Anti-MRP4 Antibody
Each vial contains 5mg BSA, 0.9mg NaCl, 0.2mg Na2HPO4, 0.05mg NaN3.
IHC (Immunohistochemistry)
(Anti-MRP4 Picoband antibody, AAA46085-4.JPGIHC(P): Mouse Intestine Tissue)
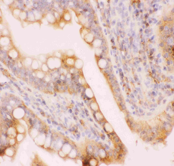
IHC (Immunohistochemisry)
(Anti-MRP4 Picoband antibody, AAA46085-3.JPGIHC(P): Human Intestinal Cancer Tissue)
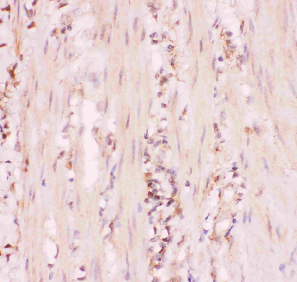
IHC (Immunohiostchemistry)
(Anti-MRP4 Picoband antibody, AAA46085-2.JPGIHC(P): Rat Intestine Tissue)
Application Data
(Anti-MRP4 Picoband antibody, AAA46085-1.jpgAll lanes: Anti MRP4 (AAA46085) at 0.5ug/mlWB: Recombinant Human MRP4 Protein 0.5ngPredicted bind size: 47KDObserved bind size: 47KD)
Background: ABCC4(Atp-binding cassette, subfamily c, member 4) also known as MRP4 or MOATB, is a protein that in humans is encoded by the ABCC4 gene. It belongs to a large family of transmembrane proteins involved in active transport of substrates out of cells. This gene is mapped to chromosome 13q32. ABCC4 acts as an independent regulator of intracellular cyclic nucleotide levels and as a mediator of cAMP-dependent signal transduction to the nucleus. The antiproliferative effect of ABCC4 inhibition was related to cAMP-dependent PKA activation and CREB phosphorylation. Pharmacologic inhibition of ABCC4 activity or knockdown of ABCC4 via RNA interference resulted in reduced migration of DCs from human skin explants and of in vitro-generated Langerhans cells. It has been found that ABCC4 contributes to migration of DCs toward draining lymph nodes and therefore has a role in the initiation of an immune response.
NCBI and Uniprot Product Information
Customer Reviews
Loading reviews...
Share Your Experience
Similar Products
Product Notes
The ABCC4 abcc4 (Catalog #AAA46085) is an Antibody produced from Rabbit and is intended for research purposes only. The product is available for immediate purchase. The Anti-MRP4 Antibody reacts with Human, Mouse, Rat. No cross reactivity with other proteins. and may cross-react with other species as described in the data sheet. AAA Biotech's Multidrug resistance-associated protein 4 can be used in a range of immunoassay formats including, but not limited to, IHC (Immunohistochemistry), WB (Western Blot). Researchers should empirically determine the suitability of the ABCC4 abcc4 for an application not listed in the data sheet. Researchers commonly develop new applications and it is an integral, important part of the investigative research process. It is sometimes possible for the material contained within the vial of "Multidrug resistance-associated protein 4, Polyclonal Antibody" to become dispersed throughout the inside of the vial, particularly around the seal of said vial, during shipment and storage. We always suggest centrifuging these vials to consolidate all of the liquid away from the lid and to the bottom of the vial prior to opening. Please be advised that certain products may require dry ice for shipping and that, if this is the case, an additional dry ice fee may also be required.Precautions
All products in the AAA Biotech catalog are strictly for research-use only, and are absolutely not suitable for use in any sort of medical, therapeutic, prophylactic, in-vivo, or diagnostic capacity. By purchasing a product from AAA Biotech, you are explicitly certifying that said products will be properly tested and used in line with industry standard. AAA Biotech and its authorized distribution partners reserve the right to refuse to fulfill any order if we have any indication that a purchaser may be intending to use a product outside of our accepted criteria.Disclaimer
Though we do strive to guarantee the information represented in this datasheet, AAA Biotech cannot be held responsible for any oversights or imprecisions. AAA Biotech reserves the right to adjust any aspect of this datasheet at any time and without notice. It is the responsibility of the customer to inform AAA Biotech of any product performance issues observed or experienced within 30 days of receipt of said product. To see additional details on this or any of our other policies, please see our Terms & Conditions page.Item has been added to Shopping Cart
If you are ready to order, navigate to Shopping Cart and get ready to checkout.
