Rabbit anti-Human Myelin-associated glycoprotein Polyclonal Antibody | anti-MAG antibody
Rabbit anti-human Myelin-associated glycoprotein polyclonal Antibody
Preservative: 0.03% Proclin 300
Constituents: 50% Glycerol, 0.01M PBS, PH 7.4
IHC (Immunohistochemistry)
(IHC image of AAA118036 diluted at1:600 and staining in paraffin-embedded humanbrain tissue performed on a Leica BondTMsystem. After dewaxing and hydration, antigenretrieval was mediated by high pressure in acitrate buffer (pH 6.0). Section was blocked with10% normal goat serum 30min at RT. Thenprimary antibody (1% BSA) was incubated at4°C overnight. The primary is detected by abiotinylated secondary antibody and visualizedtissue using an HRP conjugated SP system)
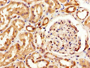
IHC (Immunohistochemistry)
(IHC image of AAA118036 diluted at1:600 and staining in paraffin-embedded humankidney tissue performed on a Leica BondTMsystem. After dewaxing and hydration, antigen retrieval was mediated by high pressure in acitrate buffer (pH 6.0). Section was blocked with10% normal goat serum 30min at RT. Then primary antibody (1% BSA) was incubated at4°C overnight. The primary is detected by abiotinylated secondary antibody and visualizedtissue using an HRP conjugated SP system.)
WB (Western Blot)
(Western BlotPositive WB detected in: SH-SY5Y whole celllysate, Rat brain tissueAll lanes:MAG antibody at 5mg/mlSecondary Goat polyclonal torabbit IgG at 1/50000 dilutionPredicted band size: 70, 64, 67 kDaObserved band size: 70, 100 kDa)
IF (Immunofluorescence)
(Immunofluorescence staining of MCF-7 cells with AAA118036 at 1:416,counter-stained with DAPI. The cells were fixed in 4% formaldehyde, permeabilized using 0.2% Triton X-100 and blocked in 10% normal Goat Serum. The cells were then incubated with the antibody overnight at 4 degree C.The secondary antibody was Alexa Fluor 488-congugated AffiniPure Goat Anti-Rabbit IgG (H+L).)
WB (Western Blot)
(Western BlotPositive WB detected in: Hela whole cell lysate, Jurkat whole cell lysate, MCF-7 whole cell lysate, K562 whole cell lysate, SH-SY5Y whole cell lysateAll lanes: MAG antibody at 4.2ug/mlSecondaryGoat polyclonal to rabbit IgG at 1/50000 dilutionPredicted band size: 70,64,67 KDaObserved band size: 70 KDa)
NCBI and Uniprot Product Information
Customer Reviews
Loading reviews...
Share Your Experience
Similar Products
Product Notes
The MAG mag (Catalog #AAA118036) is an Antibody produced from Rabbit and is intended for research purposes only. The product is available for immediate purchase. The Rabbit anti-human Myelin-associated glycoprotein polyclonal Antibody reacts with Human and may cross-react with other species as described in the data sheet. AAA Biotech's Myelin-associated glycoprotein can be used in a range of immunoassay formats including, but not limited to, IF (Immunofluorescence), IHC (Immunohistochemistry), WB (Western Blot), ELISA. Researchers should empirically determine the suitability of the MAG mag for an application not listed in the data sheet. Researchers commonly develop new applications and it is an integral, important part of the investigative research process. It is sometimes possible for the material contained within the vial of "Myelin-associated glycoprotein, Polyclonal Antibody" to become dispersed throughout the inside of the vial, particularly around the seal of said vial, during shipment and storage. We always suggest centrifuging these vials to consolidate all of the liquid away from the lid and to the bottom of the vial prior to opening. Please be advised that certain products may require dry ice for shipping and that, if this is the case, an additional dry ice fee may also be required.Precautions
All products in the AAA Biotech catalog are strictly for research-use only, and are absolutely not suitable for use in any sort of medical, therapeutic, prophylactic, in-vivo, or diagnostic capacity. By purchasing a product from AAA Biotech, you are explicitly certifying that said products will be properly tested and used in line with industry standard. AAA Biotech and its authorized distribution partners reserve the right to refuse to fulfill any order if we have any indication that a purchaser may be intending to use a product outside of our accepted criteria.Disclaimer
Though we do strive to guarantee the information represented in this datasheet, AAA Biotech cannot be held responsible for any oversights or imprecisions. AAA Biotech reserves the right to adjust any aspect of this datasheet at any time and without notice. It is the responsibility of the customer to inform AAA Biotech of any product performance issues observed or experienced within 30 days of receipt of said product. To see additional details on this or any of our other policies, please see our Terms & Conditions page.Item has been added to Shopping Cart
If you are ready to order, navigate to Shopping Cart and get ready to checkout.
