Rabbit MYF6 Polyclonal Antibody | anti-MYF6 antibody
MYF6 antibody - N-terminal region
Gene Names
MYF6; CNM3; MRF4; myf-6; bHLHc4
Reactivity
Tested Species Reactivity: HumanPredicted Species Reactivity: Human, Mouse, Rat, Cow, Dog, Goat, Guinea Pig, Horse, Rabbit, Sheep, Zebrafish
Applications
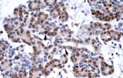
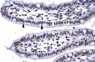
Western Blot, Immunohistochemistry
Purity
Affinity Purified
Synonyms
MYF6, Antibody; MYF6 antibody - N-terminal region; anti-MYF6 antibody
Host
Rabbit
Reactivity
Tested Species Reactivity: Human
Predicted Species Reactivity: Human, Mouse, Rat, Cow, Dog, Goat, Guinea Pig, Horse, Rabbit, Sheep, Zebrafish
Predicted Species Reactivity: Human, Mouse, Rat, Cow, Dog, Goat, Guinea Pig, Horse, Rabbit, Sheep, Zebrafish
Clonality
Polyclonal
Purity/Purification
Affinity Purified
Form/Format
Liquid. Purified antibody supplied in 1x PBS buffer with 0.09% (w/v) sodium azide and 2% sucrose.
Concentration
0.5 mg/mL (varies by lot)
Sequence
Synthetic peptide located within the following region: PGLQPPHCPGQCLIWACKTCKRKSAPTDRRKAATLRERRRLKKINEAFEA
Sequence Length
242
Applicable Applications for anti-MYF6 antibody
WB (Western Blot), IHC (Immunohistochemistry)
Homology
Cow: 100%; Dog: 100%; Goat: 100%; Guinea Pig: 100%; Horse: 100%; Human: 100%; Mouse: 100%; Rabbit: 100%; Rat: 100%; Sheep: 100%; Zebrafish: 100%
Immunogen
The immunogen is a synthetic peptide directed towards the N terminal region of human MYF6
Protein Size (# AA)
242 amino acids
Protein Interactions
ID1; CSRP3; ID2; ID3; CALM3; CALM1; ELSPBP1; TCF3;
Preparation and Storage
For short term use, store at 2-8 degree C up to 1 week. For long term storage, store at -20 degree C in small aliquots to prevent freeze-thaw cycles.
Related Product Information for anti-MYF6 antibody
This is a rabbit polyclonal antibody against MYF6. It was validated on Western Blot and immunohistochemistry
Target Description: MYF6 is a part of the myogenic basic helix-loop-helix family of transcription factors, and can activate the muscle differentiation program.
Target Description: MYF6 is a part of the myogenic basic helix-loop-helix family of transcription factors, and can activate the muscle differentiation program.
Product Categories/Family for anti-MYF6 antibody
NCBI and Uniprot Product Information
NCBI GI #
NCBI GeneID
NCBI Accession #
NCBI GenBank Nucleotide #
UniProt Accession #
Molecular Weight
27kDa
NCBI Official Full Name
myogenic factor 6
NCBI Official Synonym Full Names
myogenic factor 6
NCBI Official Symbol
MYF6
NCBI Official Synonym Symbols
CNM3; MRF4; myf-6; bHLHc4
NCBI Protein Information
myogenic factor 6
UniProt Protein Name
Myogenic factor 6
UniProt Gene Name
MYF6
UniProt Synonym Gene Names
BHLHC4; MRF4; Myf-6; bHLHc4
Customer Reviews
Loading reviews...
Share Your Experience
Similar Products
Product Notes
The MYF6 myf6 (Catalog #AAA197293) is an Antibody produced from Rabbit and is intended for research purposes only. The product is available for immediate purchase. The MYF6 antibody - N-terminal region reacts with Tested Species Reactivity: Human Predicted Species Reactivity: Human, Mouse, Rat, Cow, Dog, Goat, Guinea Pig, Horse, Rabbit, Sheep, Zebrafish and may cross-react with other species as described in the data sheet. AAA Biotech's MYF6 can be used in a range of immunoassay formats including, but not limited to, WB (Western Blot), IHC (Immunohistochemistry). Researchers should empirically determine the suitability of the MYF6 myf6 for an application not listed in the data sheet. Researchers commonly develop new applications and it is an integral, important part of the investigative research process. The amino acid sequence is listed below: Synthetic peptide located within the following region: PGLQPPHCPG QCLIWACKTC KRKSAPTDRR KAATLRERRR LKKINEAFEA. It is sometimes possible for the material contained within the vial of "MYF6, Polyclonal Antibody" to become dispersed throughout the inside of the vial, particularly around the seal of said vial, during shipment and storage. We always suggest centrifuging these vials to consolidate all of the liquid away from the lid and to the bottom of the vial prior to opening. Please be advised that certain products may require dry ice for shipping and that, if this is the case, an additional dry ice fee may also be required.Precautions
All products in the AAA Biotech catalog are strictly for research-use only, and are absolutely not suitable for use in any sort of medical, therapeutic, prophylactic, in-vivo, or diagnostic capacity. By purchasing a product from AAA Biotech, you are explicitly certifying that said products will be properly tested and used in line with industry standard. AAA Biotech and its authorized distribution partners reserve the right to refuse to fulfill any order if we have any indication that a purchaser may be intending to use a product outside of our accepted criteria.Disclaimer
Though we do strive to guarantee the information represented in this datasheet, AAA Biotech cannot be held responsible for any oversights or imprecisions. AAA Biotech reserves the right to adjust any aspect of this datasheet at any time and without notice. It is the responsibility of the customer to inform AAA Biotech of any product performance issues observed or experienced within 30 days of receipt of said product. To see additional details on this or any of our other policies, please see our Terms & Conditions page.Item has been added to Shopping Cart
If you are ready to order, navigate to Shopping Cart and get ready to checkout.
