Rabbit MYH1 Polyclonal Antibody | anti-MYH1 antibody
MYH1 antibody - N-terminal region
Predicted: Cow, Dog, Guinea Pig, Horse, Human, Mouse, Rabbit, Rat, Sheep, Zebrafish
Predicted: Cow, Dog, Guinea Pig, Horse, Human, Mouse, Rabbit, Rat, Sheep, Zebrafish
WB (Western Blot)
(Host: RabbitTarget Name: MYH1Sample Tissue: Human OVCAR-3Antibody Dilution: 1.0ug/ml)
WB (Western Blot)
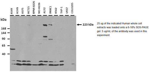
(25 ug of the indicated Human whole cell extracts was loaded onto a 6-18% SDS-PAGE gel. 5 ug/mL of the antibody was used in this experiment.)
IHC (Immunohistochemistry)
(Rabbit Anti-MYH1 AntibodyFormalin Fixed Paraffin Embedded Tissue: Human Testis TissueObserved Staining: CytoplasmPrimary Antibody Concentration: 1:100Other Working Concentrations: N/ASecondary Antibody: Donkey anti-Rabbit-Cy3Secondary Antibody Concentration: 1:200Magnification: 20XExposure Time: 0.5 - 2.0 sec)
Target Description: Myosin is a major contractile protein which converts chemical energy into mechanical energy through the hydrolysis of ATP. Myosin is a hexameric protein composed of a pair of myosin heavy chains (MYH) and two pairs of nonidentical light chains. Myosin hea
NCBI and Uniprot Product Information
Similar Products
Product Notes
The MYH1 myh1 (Catalog #AAA199089) is an Antibody produced from Rabbit and is intended for research purposes only. The product is available for immediate purchase. The MYH1 antibody - N-terminal region reacts with Tested: Human Predicted: Cow, Dog, Guinea Pig, Horse, Human, Mouse, Rabbit, Rat, Sheep, Zebrafish and may cross-react with other species as described in the data sheet. AAA Biotech's MYH1 can be used in a range of immunoassay formats including, but not limited to, WB (Western Blot). Researchers should empirically determine the suitability of the MYH1 myh1 for an application not listed in the data sheet. Researchers commonly develop new applications and it is an integral, important part of the investigative research process. The amino acid sequence is listed below: Synthetic peptide located within the following region: KTSVFVVDPK ESFVKATVQS REGGKVTAKT EAGATVTVKD DQVFPMNPPK. It is sometimes possible for the material contained within the vial of "MYH1, Polyclonal Antibody" to become dispersed throughout the inside of the vial, particularly around the seal of said vial, during shipment and storage. We always suggest centrifuging these vials to consolidate all of the liquid away from the lid and to the bottom of the vial prior to opening. Please be advised that certain products may require dry ice for shipping and that, if this is the case, an additional dry ice fee may also be required.Precautions
All products in the AAA Biotech catalog are strictly for research-use only, and are absolutely not suitable for use in any sort of medical, therapeutic, prophylactic, in-vivo, or diagnostic capacity. By purchasing a product from AAA Biotech, you are explicitly certifying that said products will be properly tested and used in line with industry standard. AAA Biotech and its authorized distribution partners reserve the right to refuse to fulfill any order if we have any indication that a purchaser may be intending to use a product outside of our accepted criteria.Disclaimer
Though we do strive to guarantee the information represented in this datasheet, AAA Biotech cannot be held responsible for any oversights or imprecisions. AAA Biotech reserves the right to adjust any aspect of this datasheet at any time and without notice. It is the responsibility of the customer to inform AAA Biotech of any product performance issues observed or experienced within 30 days of receipt of said product. To see additional details on this or any of our other policies, please see our Terms & Conditions page.Item has been added to Shopping Cart
If you are ready to order, navigate to Shopping Cart and get ready to checkout.
