Rabbit anti-Human MYH11 Polyclonal Antibody | anti-MYH11 antibody
MYH11 Antibody
Gene Names
MYH11; AAT4; FAA4; SMHC; SMMHC
Reactivity
Human
Applications
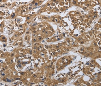
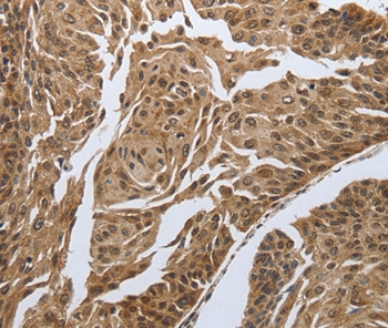
Immunohistochemistry
Purity
Antigen affinity purification.
Synonyms
MYH11, Antibody; MYH11 Antibody; AAT4; FAA4; SMHC; SMMHC; anti-MYH11 antibody
Host
Rabbit
Reactivity
Human
Clonality
Polyclonal
Specificity
The antibody detects endogenous levels of total MYH11 protein.
Purity/Purification
Antigen affinity purification.
Form/Format
Rabbit IgG in pH7.3 PBS, 0.05% NaN3, 50% Glycerol.
Concentration
0.6 mg/ml (varies by lot)
Sequence Length
1945
Applicable Applications for anti-MYH11 antibody
IHC (Immunohistochemistry)
Immunogen Type
Peptide
Immunogen Description
Synthetic peptide corresponding to a region derived from internal residues of human Myosin, heavy chain 11, smooth muscle
Target Name
MYH11
Preparation and Storage
Store at -20 degree C
Related Product Information for anti-MYH11 antibody
The protein encoded by this gene is a smooth muscle myosin belonging to the myosin heavy chain family. The gene product is a subunit of a hexameric protein that consists of two heavy chain subunits and two pairs of non-identical light chain subunits. It functions as a major contractile protein, converting chemical energy into mechanical energy through the hydrolysis of ATP. The gene encoding a human ortholog of rat NUDE1 is transcribed from the reverse strand of this gene, and its 3' end overlaps with that of the latter. The pericentric inversion of chromosome 16 [inv(16)(p13q22)] produces a chimeric transcript that encodes a protein consisting of the first 165 residues from the N terminus of core-binding factor beta in a fusion with the C-terminal portion of the smooth muscle myosin heavy chain. This chromosomal rearrangement is associated with acute myeloid leukemia of the M4Eo subtype. Alternative splicing generates isoforms that are differentially expressed, with ratios changing during muscle cell maturation. Alternatively spliced transcript variants encoding different isoforms have been identified.
Product Categories/Family for anti-MYH11 antibody
NCBI and Uniprot Product Information
NCBI GI #
NCBI GeneID
NCBI Accession #
NCBI GenBank Nucleotide #
Molecular Weight
223,577 Da
NCBI Official Full Name
myosin-11 isoform SM2B
NCBI Official Synonym Full Names
myosin, heavy chain 11, smooth muscle
NCBI Official Symbol
MYH11
NCBI Official Synonym Symbols
AAT4; FAA4; SMHC; SMMHC
NCBI Protein Information
myosin-11
UniProt Protein Name
Myosin-11
UniProt Gene Name
MYH11
UniProt Synonym Gene Names
KIAA0866
UniProt Entry Name
MYH11_HUMAN
Customer Reviews
Loading reviews...
Share Your Experience
Similar Products
Product Notes
The MYH11 myh11 (Catalog #AAA308015) is an Antibody produced from Rabbit and is intended for research purposes only. The product is available for immediate purchase. The MYH11 Antibody reacts with Human and may cross-react with other species as described in the data sheet. AAA Biotech's MYH11 can be used in a range of immunoassay formats including, but not limited to, IHC (Immunohistochemistry). Researchers should empirically determine the suitability of the MYH11 myh11 for an application not listed in the data sheet. Researchers commonly develop new applications and it is an integral, important part of the investigative research process. It is sometimes possible for the material contained within the vial of "MYH11, Polyclonal Antibody" to become dispersed throughout the inside of the vial, particularly around the seal of said vial, during shipment and storage. We always suggest centrifuging these vials to consolidate all of the liquid away from the lid and to the bottom of the vial prior to opening. Please be advised that certain products may require dry ice for shipping and that, if this is the case, an additional dry ice fee may also be required.Precautions
All products in the AAA Biotech catalog are strictly for research-use only, and are absolutely not suitable for use in any sort of medical, therapeutic, prophylactic, in-vivo, or diagnostic capacity. By purchasing a product from AAA Biotech, you are explicitly certifying that said products will be properly tested and used in line with industry standard. AAA Biotech and its authorized distribution partners reserve the right to refuse to fulfill any order if we have any indication that a purchaser may be intending to use a product outside of our accepted criteria.Disclaimer
Though we do strive to guarantee the information represented in this datasheet, AAA Biotech cannot be held responsible for any oversights or imprecisions. AAA Biotech reserves the right to adjust any aspect of this datasheet at any time and without notice. It is the responsibility of the customer to inform AAA Biotech of any product performance issues observed or experienced within 30 days of receipt of said product. To see additional details on this or any of our other policies, please see our Terms & Conditions page.Item has been added to Shopping Cart
If you are ready to order, navigate to Shopping Cart and get ready to checkout.
