Rabbit MYL6 Polyclonal Antibody | anti-MYL6 antibody
MYL6 antibody - N-terminal region
WB (Western Blot)
(WB Suggested Anti-MYL6 Antibody Titration: 1 ug/mlPositive Control: HepG2 cell lysateMYL6 is supported by BioGPS gene expression data to be expressed in HepG2)
WB (Western Blot)
(Host: RabbitTarget Name: MYL6Sample Type: Human 721_BAntibody Dilution: 1.0ug/mlMYL6 is supported by BioGPS gene expression data to be expressed in 721_B)
IHC (Immunohiostchemistry)
(Sample Type: Human Skeletal MuscleAnti-MYL6 antibody IHC of human skeletal muscle. Immunohistochemistry of formalin-fixed, paraffin-embedded tissue after heat-induced antigen retrieval. MYL6 Antibody concentration 5 ug/ml.)
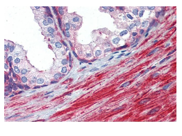
IHC (Immunohistochemistry)
(Sample Type: Human ProstateAnti-MYL6 antibody IHC of human prostate. Immunohistochemistry of formalin-fixed, paraffin-embedded tissue after heat-induced antigen retrieval. MYL6 Antibody concentration 5 ug/ml.)
Target Description: MYL6 contains 3 EF-hand domains. It is the regulatory light chain of myosin. MYL6 does not bind calcium. Myosin is a hexameric ATPase cellular motor protein. It is composed of two heavy chains, two nonphosphorylatable alkali light chains, and two phosphorylatable regulatory light chains. This gene encodes a myosin alkali light chain that is expressed in smooth muscle and non-muscle tissues. Genomic sequences representing several pseudogenes have been described and two transcript variants encoding different isoforms have been identified for this gene.
NCBI and Uniprot Product Information
Customer Reviews
Loading reviews...
Share Your Experience
Similar Products
Product Notes
The MYL6 myl6 (Catalog #AAA200730) is an Antibody produced from Rabbit and is intended for research purposes only. The product is available for immediate purchase. The MYL6 antibody - N-terminal region reacts with Cow, Dog, Guinea Pig, Horse, Human, Mouse, Rabbit, Rat, Sheep, Zebrafish and may cross-react with other species as described in the data sheet. AAA Biotech's MYL6 can be used in a range of immunoassay formats including, but not limited to, WB (Western Blot), IHC (Immunohistochemistry). Researchers should empirically determine the suitability of the MYL6 myl6 for an application not listed in the data sheet. Researchers commonly develop new applications and it is an integral, important part of the investigative research process. The amino acid sequence is listed below: Synthetic peptide located within the following region: CDFTEDQTAE FKEAFQLFDR TGDGKILYSQ CGDVMRALGQ NPTNAEVLKV. It is sometimes possible for the material contained within the vial of "MYL6, Polyclonal Antibody" to become dispersed throughout the inside of the vial, particularly around the seal of said vial, during shipment and storage. We always suggest centrifuging these vials to consolidate all of the liquid away from the lid and to the bottom of the vial prior to opening. Please be advised that certain products may require dry ice for shipping and that, if this is the case, an additional dry ice fee may also be required.Precautions
All products in the AAA Biotech catalog are strictly for research-use only, and are absolutely not suitable for use in any sort of medical, therapeutic, prophylactic, in-vivo, or diagnostic capacity. By purchasing a product from AAA Biotech, you are explicitly certifying that said products will be properly tested and used in line with industry standard. AAA Biotech and its authorized distribution partners reserve the right to refuse to fulfill any order if we have any indication that a purchaser may be intending to use a product outside of our accepted criteria.Disclaimer
Though we do strive to guarantee the information represented in this datasheet, AAA Biotech cannot be held responsible for any oversights or imprecisions. AAA Biotech reserves the right to adjust any aspect of this datasheet at any time and without notice. It is the responsibility of the customer to inform AAA Biotech of any product performance issues observed or experienced within 30 days of receipt of said product. To see additional details on this or any of our other policies, please see our Terms & Conditions page.Item has been added to Shopping Cart
If you are ready to order, navigate to Shopping Cart and get ready to checkout.
