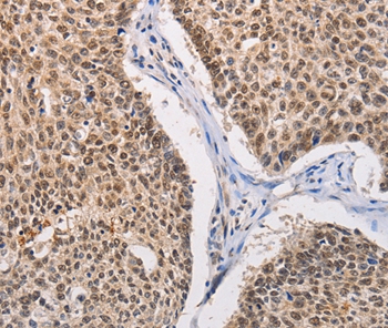
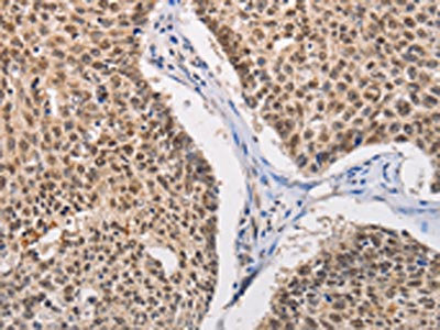
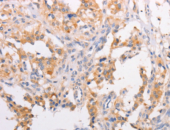
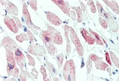
Rabbit MYLK3 Polyclonal Antibody | anti-MYLK3 antibody
MYLK3 Polyclonal Antibody
Gene Names
MYLK3; MLCK; MLCK2; caMLCK
Reactivity
Human, Mouse, Rat
Applications
Immunohistochemistry, ELISA
Purity
Antigen affinity purification
Synonyms
MYLK3, Antibody; MYLK3 Polyclonal Antibody; MLCK; MLCK2; caMLCK; anti-MYLK3 antibody
Host
Rabbit
Reactivity
Human, Mouse, Rat
Clonality
Polyclonal
Isotype
IgG
Purity/Purification
Antigen affinity purification
Concentration
2mg/mL (varies by lot)
Sequence Length
819
Applicable Applications for anti-MYLK3 antibody
IHC (Immunohistochemistry), ELISA
Immunogen
Recombinant protein of human MYLK3
Buffer
PBS with 0.05% sodium azide, 50% glycerol, pH7.3
Preparation and Storage
Store at -20 degree C (regular) and -80 degree C (long term). Avoid freeze / thaw cycles.
Related Product Information for anti-MYLK3 antibody
YLK3 (Myosin light chain kinase 3) is a 795 amino acid cardiac-specific protein that contains one protein kinase domain and belongs to the protein kinase superfamily. Like other MYLK kinases, MYLK3 is thought to play a role in smooth muscle contraction, specifically using magnesium as a cofactor to catalyze the ATP-dependent phosphorylation of Myosin light chain proteins. Additionally, MYLK3 may regulate sarcomere assembly in heart tissue, possibly mediating proper heart function.
NCBI and Uniprot Product Information
NCBI GI #
NCBI GeneID
Molecular Weight
52,723 Da
NCBI Official Full Name
Myosin light chain kinase 3
NCBI Official Synonym Full Names
myosin light chain kinase 3
NCBI Official Symbol
MYLK3
NCBI Official Synonym Symbols
MLCK; MLCK2; caMLCK
NCBI Protein Information
myosin light chain kinase 3; MLC kinase; cardiac-MLCK; cardiac-MyBP-C associated Ca/CaM kinase; cardiac-MyBP-C-associated Ca/CaM kinase; putative myosin light chain kinase 3
UniProt Protein Name
Myosin light chain kinase 3
UniProt Gene Name
MYLK3
UniProt Synonym Gene Names
MLCK; Cardiac-MLCK
UniProt Entry Name
MYLK3_HUMAN
Customer Reviews
Loading reviews...
Share Your Experience
Similar Products
Product Notes
The MYLK3 mylk3 (Catalog #AAA166557) is an Antibody produced from Rabbit and is intended for research purposes only. The product is available for immediate purchase. The MYLK3 Polyclonal Antibody reacts with Human, Mouse, Rat and may cross-react with other species as described in the data sheet. AAA Biotech's MYLK3 can be used in a range of immunoassay formats including, but not limited to, IHC (Immunohistochemistry), ELISA. Researchers should empirically determine the suitability of the MYLK3 mylk3 for an application not listed in the data sheet. Researchers commonly develop new applications and it is an integral, important part of the investigative research process. It is sometimes possible for the material contained within the vial of "MYLK3, Polyclonal Antibody" to become dispersed throughout the inside of the vial, particularly around the seal of said vial, during shipment and storage. We always suggest centrifuging these vials to consolidate all of the liquid away from the lid and to the bottom of the vial prior to opening. Please be advised that certain products may require dry ice for shipping and that, if this is the case, an additional dry ice fee may also be required.Precautions
All products in the AAA Biotech catalog are strictly for research-use only, and are absolutely not suitable for use in any sort of medical, therapeutic, prophylactic, in-vivo, or diagnostic capacity. By purchasing a product from AAA Biotech, you are explicitly certifying that said products will be properly tested and used in line with industry standard. AAA Biotech and its authorized distribution partners reserve the right to refuse to fulfill any order if we have any indication that a purchaser may be intending to use a product outside of our accepted criteria.Disclaimer
Though we do strive to guarantee the information represented in this datasheet, AAA Biotech cannot be held responsible for any oversights or imprecisions. AAA Biotech reserves the right to adjust any aspect of this datasheet at any time and without notice. It is the responsibility of the customer to inform AAA Biotech of any product performance issues observed or experienced within 30 days of receipt of said product. To see additional details on this or any of our other policies, please see our Terms & Conditions page.Item has been added to Shopping Cart
If you are ready to order, navigate to Shopping Cart and get ready to checkout.
